Найти в Дзене

В Сургуте мужчине удалили кусок легкого из-за проглоченной рыбной кости

Югорчанин случайно проглотил рыбную кость, из-за которой ему пришлось пережить сложную хирургическую операцию в травматологии Сургута - кость вырвалась из пищевода и воткнулась в его левое легкое, вызвав серьезное гнойное воспаление. В итоге орган пришлось частично удалить. Об этом случае сообщает директор департамента здравоохранения Роман Паськов.
62-летний мужчина обратился за помощью лишь спустя три дня после того, как проглотил кость, когда боль стала невыносимой, а температура тела поднялась заметно выше нормы.
В местной поликлинике ему провели компьютерную томографию и выяснили причину телесных страданий пациента:
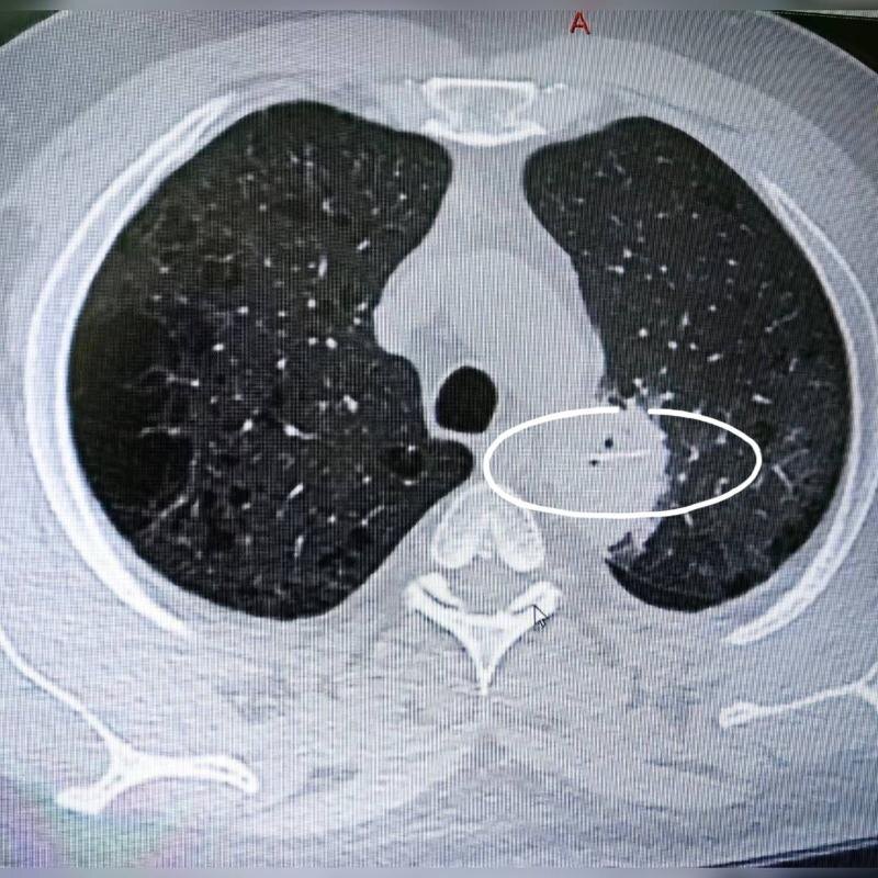
- После проведения КТ выяснилось, что кость пробила пищевод, мигрировала в грудную полость и вызвала гнойное воспаление в левом лёгком. Пациента экстренно направили в Сургут, где местные торакальные хирурги провели открытую операцию — торакотомию и частичную резекцию лёгкого.
После обнаружения рыбной кости мужчину экстренно направили в Сургутскую травма
   В Сургуте мужчине удалили кусок легкого из-за проглоченной рыбной кости
В Сургуте мужчине удалили кусок легкого из-за проглоченной рыбной кости

Югорчанин случайно проглотил рыбную кость, из-за которой ему пришлось пережить сложную хирургическую операцию в травматологии Сургута - кость вырвалась из пищевода и воткнулась в его левое легкое, вызвав серьезное гнойное воспаление. В итоге орган пришлось частично удалить. Об этом случае сообщает директор департамента здравоохранения Роман Паськов.

62-летний мужчина обратился за помощью лишь спустя три дня после того, как проглотил кость, когда боль стала невыносимой, а температура тела поднялась заметно выше нормы.

В местной поликлинике ему провели компьютерную томографию и выяснили причину телесных страданий пациента:

- После проведения КТ выяснилось, что кость пробила пищевод, мигрировала в грудную полость и вызвала гнойное воспаление в левом лёгком. Пациента экстренно направили в Сургут, где местные торакальные хирурги провели открытую операцию — торакотомию и частичную резекцию лёгкого.

После обнаружения рыбной кости мужчину экстренно направили в Сургутскую травматологию. Мужчине вскрыли грудную клетку и удалили часть легкого, чтобы избавиться от гноя и пораженных тканей. Саму кость тоже изъяли из его тела.

-2

Пациент быстро восстанавливается, но теперь ему некоторое время придется носить дренажи.

Как уточнил директор депздрава, это уникальный случай для местных врачей. Так,
Татьяна Мкртычева, хирург с более чем 40-летним стажем, впервые столкнулась с тем, чтобы кость преодолела такой путь в организме.

Врачи напоминают, что при случайном проглатывании острых предметов нельзя откладывать визит к врачу. ЛОР-специалист быстро и безболезненно удалит инородное тело. Самостоятельные попытки избавиться от кости лишь усугубят ситуацию, а в случае с детьми могут привести к крайне тяжёлым последствиям.

- На начальном этапе проблему можно было решить эндоскопически в поликлинике. Но из-за позднего обращения пришлось прибегнуть к сложному хирургическому вмешательству. Этот случай — наглядное напоминание, почему важно своевременно обращаться к врачу! - сказал заведующий хирургическим отделением Дмитрий Горлов.

Фото со страницы Романа Паськова

Читайте также:

Ссылка на статью: https://stribuna.ru/articles/society/v_surgute_muzhchine_udalili_kusok_legkogo_iz_za_proglochennoy_rybnoy_kosti/