Добавить в корзинуПозвонить
Найти в Дзене
Орто-Артель

ЭТАПЫ ЛЕЧЕНИЯ НА БРЕКЕТАХ.

1. Установка (фиксация) брекетов на зубы. Очень важная часть лечения. Подчеркиваю, очень важная. Но часть. Не смысл лечения. И не его самоцель. А всего лишь часть. Поэтому вопрос: «Сколько стоит поставить брекеты?» звучит нелепо. Важная часть, потому, что от качества установки брекетов в немалой степени зависит эффективность их работы. А значит и успех всего лечения. То есть, насколько положительный эффект даст выравнивание зубов брекетами. «Как Вы яхту назовете – так она и поплывет…». Ну и, само собой, установке брекетов предшествует тщательное обследование (см. Диагностика) и возможная подготовка зубов (лечение, удаление, гигиена и пр.). 2. Собственно лечение. Совокупность действий, предпринимаемых ортодонтом, по «управлению» брекет-системой. А если точнее, по управлению конкретной ситуацией. С помощью брекет-системы. Именно на этом этапе происходят все «волшебные» изменения зубов, прикуса, а зачастую, и лица пациента. Происходит то, что с точки зрения обывателя называется "выравнива

1. Установка (фиксация) брекетов на зубы.

Очень важная часть лечения. Подчеркиваю, очень важная. Но часть. Не смысл лечения. И не его самоцель. А всего лишь часть.

Фиксация брекетов на зубы.
Фиксация брекетов на зубы.

Поэтому вопрос: «Сколько стоит поставить брекеты?» звучит нелепо. Важная часть, потому, что от качества установки брекетов в немалой степени зависит эффективность их работы. А значит и успех всего лечения. То есть, насколько положительный эффект даст выравнивание зубов брекетами. «Как Вы яхту назовете – так она и поплывет…». Ну и, само собой, установке брекетов предшествует тщательное обследование (см. Диагностикаи возможная подготовка зубов (лечение, удаление, гигиена и пр.).

2. Собственно лечение.

Совокупность действий, предпринимаемых ортодонтом, по «управлению» брекет-системой. А если точнее, по управлению конкретной ситуацией. С помощью брекет-системы. Именно на этом этапе происходят все «волшебные» изменения зубов, прикуса, а зачастую, и лица пациента. Происходит то, что с точки зрения обывателя называется "выравнивание брекетами" (см. Результаты)

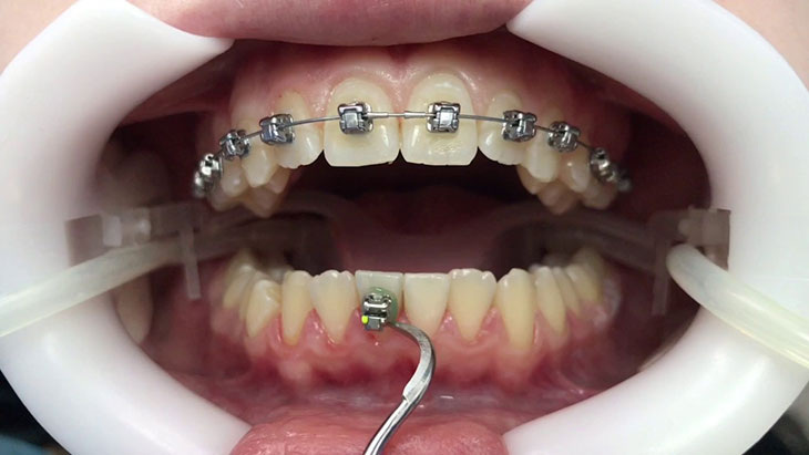
Зубы пациента в брекетах.
Зубы пациента в брекетах.

Этот этап включает в себя массу различных манипуляций. Таких, например, как:

- смена дуг, плановая переклейка брекетов

- замена или активация различных элементов брекет-системы (крючков, пружин, лигатур, эластичных тяг и пр.)

- применение дополнительных приспособлений и устройств (корректоров, микроимплантов и др.) (см. Аппараты-помощники)

- снятие брекет системы.

В принципе, и установку брекетов также можно рассматривать, как самую первую (начальную) часть лечения.

Первые две части , в совокупности составляют «активную» фазу лечения, во время которой и достигаются все запланированные результаты.

3. Закрепление полученного результата (ретенция).

Очень важный этап. Одно дело достигнуть результата. А совсем другое – сделать этот результат стабильным (неизменным, постоянным). О том, как этого достигнуть, и какими средствами, рассказано в статье "О ретенции".

Вот вкратце этапы исправления прикуса на брекетах... Хотя на такие же этапы можно разделить лечение на любых других ортодонтических аппаратах.

Продолжение здесь:

Предыдущая статья:

-3

Проект холистической стоматологии "Орто-Артель"

🏥 г. Москва, проспект Мира, д. 75, стр. 1

☎️ +7 (495) 128-11-74

➜ Наш сайт: https://www.ort-art.ru/

НАША ЦЕЛЬ НЕ ЛЕЧИТЬ, А ВЫЛЕЧИТЬ!

Рады видеть Вас в наших соцсетях:

➜ VK: https://vk.com/ortoartel

➜ Телеграмм: https://t.me/ortoart

➜ Дзен: https://dzen.ru/ortart

➜Facebook: https://www.facebook.com/ORTOARTEL/

➜Instagram: https://www.instagram.com/ortoartel/

➜YouTube: https://www.youtube.com/@ort-art

Статья взята с личного ресурса ортодонта Филатова:

Этапы лечения на брекетах