Добавить в корзинуПозвонить
Найти в Дзене
Мedical Insider

Новая модель на животных проливает свет на заболевания поджелудочной железы и диабет

Муковисцидоз (МВ) — генетическое заболевание, поражающее множество систем органов. Дисфункция поджелудочной железы является одним из его наиболее серьезных и часто упускаемых из виду осложнений. Недавнее исследование, опубликованное в журналах e-Gastroenterology и eLife, представляет молодых кроликов с МВ как новую и доступную модель для изучения эндокринной патологии поджелудочной железы, связанной с этим заболеванием. Эта модель открывает новые возможности для глубокого понимания диабета, связанного с МВ (CFRD), который поражает до 50% взрослых пациентов. Муковисцидоз вызван мутациями в гене трансмембранного регулятора проводимости CF (CFTR), что приводит к нарушению транспорта хлоридов и натрия через эпителиальные клетки. Несмотря на значительные успехи в лечении легочных осложнений, таких как препарат Трикафта, осложнения со стороны поджелудочной железы, особенно эндокринная дисфункция, продолжают снижать качество жизни пациентов. Исследование, проведенное под руководством научного

Муковисцидоз (МВ) — генетическое заболевание, поражающее множество систем органов. Дисфункция поджелудочной железы является одним из его наиболее серьезных и часто упускаемых из виду осложнений. Недавнее исследование, опубликованное в журналах e-Gastroenterology и eLife, представляет молодых кроликов с МВ как новую и доступную модель для изучения эндокринной патологии поджелудочной железы, связанной с этим заболеванием. Эта модель открывает новые возможности для глубокого понимания диабета, связанного с МВ (CFRD), который поражает до 50% взрослых пациентов.

Муковисцидоз вызван мутациями в гене трансмембранного регулятора проводимости CF (CFTR), что приводит к нарушению транспорта хлоридов и натрия через эпителиальные клетки. Несмотря на значительные успехи в лечении легочных осложнений, таких как препарат Трикафта, осложнения со стороны поджелудочной железы, особенно эндокринная дисфункция, продолжают снижать качество жизни пациентов.

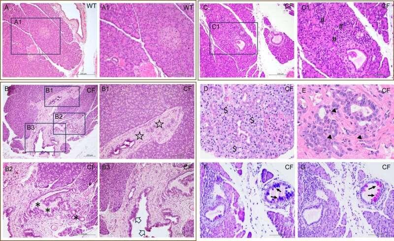
Исследование, проведенное под руководством научного сотрудника Цзе Сюй и его коллег, направлено на изучение спонтанного развития поражений поджелудочной железы и нарушений метаболизма глюкозы у кроликов с МВ. Это исследование предоставляет новое понимание патофизиологии заболевания.

Команда разработала модель CF-кролика с использованием технологии редактирования гена CRISPR/Cas9. У кроликов с МВ были выявлены характерные изменения поджелудочной железы, включая фиброз, вакуолярную дегенерацию и метаплазию эпителиальных клеток, секретирующих слизь. Размер островков поджелудочной железы, производящих инсулин, у этих животных был значительно меньше, чем у контрольной группы дикого типа, что коррелировало с более низкими уровнями циркулирующего инсулина и нарушением метаболизма глюкозы.

«Наши результаты показывают, что у кроликов с МВ повторяются ключевые аспекты заболевания поджелудочной железы, характерные для МВ», — сказал научный сотрудник Цзе Сюй, автор-корреспондент и исследователь Медицинской школы Мичиганского университета. «Это позиционирует их как ценную модель для трансляционных исследований CFRD и связанных с ними состояний».

Одним из ключевых результатов исследования стало выявление стадии неопределенной толерантности к глюкозе (INDET) у молодых кроликов с МВ, предшественника CFRD, наблюдаемого у пациентов-людей. Эта стадия характеризовалась замедленным клиренсом глюкозы и сниженной секрецией инсулина, что соответствует ранним признакам прогрессирования диабета у людей. Интересно, что кролики-самки с МВ были более склонны к INDET-подобным фенотипам, отражая половые различия в распространенности CFRD у людей.

Последствия этой работы выходят далеко за рамки фундаментальных исследований. Кролики с МВ представляют собой альтернативу существующим моделям крупных животных, таким как свиньи и хорьки, которые являются дорогостоящими и требуют специализированного ухода. Напротив, кролики экономичны, просты в обращении и широко используются в лабораторных условиях, что делает их доступными для более широкого круга исследователей.

«По мере того, как сообщество МВ смещает свое внимание на возрастные и метаболические осложнения, наша модель на кроликах становится все более актуальной», — объяснил научный сотрудник Цзе Сюй. «С увеличением продолжительности жизни благодаря модуляторам CFTR понимание и смягчение CFRD будет иметь решающее значение для повышения качества жизни пациентов».

Исследование также подчеркивает более широкое значение МВ, связанной с патологией поджелудочной железы. В то время как экзокринная дисфункция и недостаточность поджелудочной железы хорошо документированы при МВ, эндокринная дисфункция, проявляющаяся как CFRD, представляет уникальные проблемы. CFRD сочетает в себе признаки сахарного диабета как 1, так и 2 типа, при этом дефицит инсулина и резистентность способствуют его прогрессированию. Современные методы лечения сосредоточены в первую очередь на устранении симптомов, что подчеркивает настоятельную необходимость инновационных терапевтических стратегий.

Устанавливая кроликов как жизнеспособную модель для исследований CFRD, авторы стремятся облегчить разработку целенаправленных вмешательств. Терапия на ранних стадиях, например, направленная на фазу INDET, может значительно отсрочить или предотвратить развитие полноценного сахарного диабета у пациентов с МВ. Кроме того, эта модель позволяет оценивать новые методы лечения, в том числе те, которые предназначены для модуляции воспаления поджелудочной железы, фиброза и выработки инсулина.

Будущие направления исследований включают изучение долгосрочного прогрессирования заболевания поджелудочной железы у кроликов с МВ и оценку влияния модуляторов CFTR, таких как Трикафта, на эндокринные исходы.

В заключение, эта работа представляет собой значительный шаг вперед в исследованиях МВ. Используя уникальные преимущества модели CF на кроликах, ученые могут лучше понять сложную взаимосвязь между дисфункцией CFTR и заболеванием поджелудочной железы. Эти знания обещают улучшить результаты для тысяч пациентов, живущих с МВ и его осложнениями.

Литература:
Xiubin Liang et al, Endocrine pathology in young rabbits with cystic fibrosis,
eGastroenterology (2024). DOI: 10.1136/egastro-2024-100102