Добавить в корзинуПозвонить
Найти в Дзене
Орто-Артель

БРЕКЕТЫ DAMON.

Система Даймон - революция в мире брекетов... Из безлигатурных брекетов, в своей практике, я применяю брекеты системы Damon фирмы ORMCO. Так уж исторически сложилось. Да простят меня все прочие  производители брекетов и приверженцы других систем. Применяю уже давно. И ни разу об этом не пожалел. Сплошные плюсы. Начну с того, что для фиксации дуг не требуются лигатур. Крепление дуги в пазе брекета осуществляется за счет специального замка, являющегося частью самого брекета. Этот металлический элемент конструкции гарантирует надежную фиксацию дуги в пазе (дуга находится, как бы, в замкнутом пространстве). Совершается постоянная, и неизменная по силе, работа дуги. И, что особенно важно - слабыми, т.е. щадящими силами. Другой особенностью брекетов Damon, является очень низкое трение дуги в пазе брекетов, что, собственно, и обеспечивает возможность применения слабых сил. Коэффициент трения дуги в пазе брекетов Даймон на порядок меньше чем в традиционных брекетах!!! Чтобы было понятно, наско
Брекеты Damon.
Брекеты Damon.

Система Даймон - революция в мире брекетов...

Из безлигатурных брекетов, в своей практике, я применяю брекеты системы Damon фирмы ORMCO. Так уж исторически сложилось. Да простят меня все прочие  производители брекетов и приверженцы других систем. Применяю уже давно. И ни разу об этом не пожалел. Сплошные плюсы.

Начну с того, что для фиксации дуг не требуются лигатур. Крепление дуги в пазе брекета осуществляется за счет специального замка, являющегося частью самого брекета. Этот металлический элемент конструкции гарантирует надежную фиксацию дуги в пазе (дуга находится, как бы, в замкнутом пространстве). Совершается постоянная, и неизменная по силе, работа дуги. И, что особенно важно - слабыми, т.е. щадящими силами.

Другой особенностью брекетов Damon, является очень низкое трение дуги в пазе брекетов, что, собственно, и обеспечивает возможность применения слабых сил. Коэффициент трения дуги в пазе брекетов Даймон на порядок меньше чем в традиционных брекетах!!!

Чтобы было понятно, насколько это здорово, поясню: сила трения – это та сила, которая, своим противодействием, мешает работе дуги. И, следовательно, затрудняет перемещение зубов. Силы, развиваемые при применении системы Damon, достаточны для стимуляции клеточной активности в парадонте, но не нарушают его кровоснабжения, т.к. находятся в «биозоне» (или в «зоне оптимальных сил»).

Малые силы дуги и низкое трение дают очевидные преимущества:

Во-первых, меньше осложнений со стороны пародонта.

Во-вторых, поскольку реализация потенциала дуги становится лишь вопросом времени - не требуется частых активаций дуг и замены лигатур. Значит, сокращается также и количество посещений ортодонта. При нашей суетной жизни, да всеобщей нехватки времени - это очень большое преимущество.

И в-третьих. Главная "фишка" в том, что у брекетов Damon несколько вариантов прописей одного и того же брекета. Пропись брекета - это программа, заложенная в нем. Возможность выбора программы позволяет максимально индивидуализировать лечение каждого пациента. Это вообще блеск!!!

Скажу по собственному опыту. В огромном количестве случаев, там где при лечении традиционными брекетами нужно было зубы удалять, Даймон позволяет этого избежать. И никаких чудес, просто все вышеперечисленные плюсы данной системы, позволяют найти недостающее место в зубном ряду. И что самое удивительное, очень часто без применения дополнительных средств (см. Аппараты-помощники).

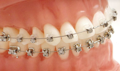
Брекеты Damon бывают нескольких видов.

Даймон-3МХ (на картинке расположены на нижнем зубном ряду) - выполнены из металла. Очень хорошо себя зарекомендовали (на сегодняшний день уже устарели и сняты с производства).

На верхних зубах Damon-3 (эстетическая версия), на нижних Damon-Q.
На верхних зубах Damon-3 (эстетическая версия), на нижних Damon-Q.

Но, с появлением на рынке брекетов Damon-Q, лично я, от них отказался.

Брекеты Damon-3 (на картинке на верхних зубах) - эстетический вариант тех же брекетов. В своё время казались ого-го... А теперь, на мой взгляд, не выдерживают конкуренции с эстетическими брекетами нового поколения Damon Clear.

Лично я носил брекеты, именно в такой, комплектации, как на картинке. Поэтому вполне ответственно заявляю: Ну не смотрятся брекеты Damon-3 именно как эстетические брекеты. Крышка замка все равно из металла. Поэтому, выигрыш в эстетике, по сравнению с Damon-3МХ, минимален. За то, имеют все "капризы" эстетических брекетов (хрупкость, однократность приклейки). А вот брекеты Damon Clear - это действительно эстетика с большой буквы, вполне конкурентная даже и с сапфировыми брекетами. Да и по прочности и надежности значительно превосходят своих предшественников.

А главное неудобство брекетов Даймон третьей серии, в открывании замка. Приходилось дергать крышечку. Неприятное ощущение. Да и "отрывы" брекетов были не редкость. Пища забивалась в замок, и защелку замка "заклинивало", что и обеспечивало отрыв брекета. Но неудобства этих брекетов я осознал только в сравнении. После появления на рынке модификаций Damon-Q и Damon Clear. Там совсем другая механика. А в свое время Даймон-3 казались круче некуда... Нет, не стоит на месте ортодонтический прогресс.

Даймон-Кью (Damon-Q) - более современная и совершенная версия металлических брекетов Даймон.

Брекет Damon-Q.
Брекет Damon-Q.

Они меньше своих предшественников по размеру. Их конструкция более продумана, в плане вариантов прописей (программы) брекетов. Но главная "фишка" этой модификации Дэймон в устройстве замка. Дергать уже ничего не надо. Крышечка открывается очень мягко, даже в условиях плохой гигиены полости рта. Замена дуги происходит еще быстрее. Пациент ничего и понять не успевает. А главное, ничего не чувствует.

Даймон Клиа (Damon Clear) - эстетическая версия Damon-Q. Вот это действительно эстетические брекеты.

Брекет Damon Clear.
Брекет Damon Clear.

Выполнены из керамопласта. Что это такое, толком, никто не в курсе. Но смотрятся очень солидно. И по свойствам не уступают керамическим брекетам. А по удобству снятия с зубов, после окончания лечения, даже превосходят их.

Выпускаются на все верхние зубы. А для нижних зубов - только на фронтальные (передние) - от клыка до клыка. И это не есть минус. Потому как, любые эстетические брекеты на нижних зубах - это лишние проблемы. Я например на низ эстетику ставлю крайне редко. Тем паче, что у абсолютного большинства людей, нижних зубов при улыбке и не видно. К тому же брекеты Damon Clear выпускаются для нижних зубов лишь в усредненном (стандартном) варианте прописи (программы), что так же ограничивает их использование.

Вывод, или краткое резюме о плюсах брекетов системы Даймон:

• Низкий коэффициент трения дуги в пазе брекета
• Жесткий контроль за работой дуг
• Возможность применения щадящих сил
• Снижение риска осложнений со стороны парадонта
• Снижение количества посещений и общего времени лечения
• Удобство ношения и обслуживания
• Возможность индивидуализировать лечение
• Возможность избежать удаления зубов
• Наиболее оптимальное соотношение: "цена – качество"
(результат)

Многие пациенты, делая свой выбор какие поставить брекеты, особенно в Москве, где выбор огромен, попросту теряются. И чтобы облегчить им задачу (а ведь известно, что ничто так не упрощает выбор, как его отсутствие) я уже лет пятьнадцать работаю практически одними Даймонами. О чем кстати не жалею ни я, ни мои пациенты. Между прочим, мне самому тоже довелось носить брекеты. И это были брекеты Damon.

Руководитель "Орто-Артели" Филатов Р.В. ... в брекетах (2009 год).
Руководитель "Орто-Артели" Филатов Р.В. ... в брекетах (2009 год).

Всем хороши новые брекеты Даймон. Но, тем не менее, надеемся и верим, что и Кью и Клиа, для разработчиков Даймон не последние их брекеты. Москва тоже не сразу строилась... Уже и Damon Q-2 в продаже. Может и чего еще покруче придумают? А мы будем ждать.

Продолжение здесь:

Предыдущая статья здесь:

-6

Проект холистической стоматологии "Орто-Артель"

🏥 г. Москва, проспект Мира, д. 75, стр. 1

☎️ +7 (495) 128-11-74

➜ Наш сайт: https://www.ort-art.ru/

НАША ЦЕЛЬ НЕ ЛЕЧИТЬ, А ВЫЛЕЧИТЬ!

Рады видеть Вас в наших соцсетях:

➜ VK: https://vk.com/ortoartel

➜ Телеграмм: https://t.me/ortoart

➜ Дзен: https://dzen.ru/ortart

➜Facebook: https://www.facebook.com/ORTOARTEL/

➜Instagram: https://www.instagram.com/ortoartel/

➜YouTube: https://www.youtube.com/@ort-art

Статья взята с личного ресурса ортодонта Филатова:

Система Даймон - революция в мире брекетов