Добавить в корзинуПозвонить
Найти в Дзене
Орто-Артель

КАКИЕ БРЕКЕТЫ "КРУЧЕ". ЧАСТЬ 2.

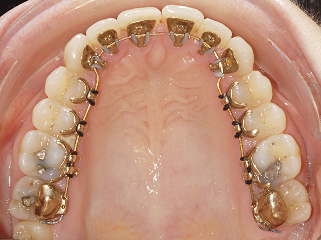
Внутренние (лингвальные) брекеты. Если Вы хотите скрыть от окружающих процесс лечения на брекетах - это то, что Вам нужно. Незаметность этих брекетов гарантирована. Это огромный плюс. Неоспоримый. Обо всех остальных достоинствах - можно дискутировать. И вот почему. Вся конструкция обращена во внутрь - в полость рта. В плане удобства - явный проигрыш, по сравнению с вестибулярными (внешними) брекетами. У меня в, основной массе, пациенты - женского пола. От 6 лет и до... (Я как дженльмен, возрастом пациенток интересуюсь поскольку-постольку. Больше их зубами.) Женщины - пациенты мнительные. Более или менее - разница только в этом. Уважаемые мои и любимые пациентки! Мнительность - слово не ругательное! Мнительность присуща женской природе. Да и мужской, в общем, тоже. Поэтому, некоторым пациенткам (из особо мнительных) - внутреннее расположение брекетов, доставляет массу приключений. То, что нибудь "уколет". То, что нибудь "царапнет". Самое интересное (личное наблюдение), что внутренние бр

Внутренние (лингвальные) брекеты.

Если Вы хотите скрыть от окружающих процесс лечения на брекетах - это то, что Вам нужно. Незаметность этих брекетов гарантирована. Это огромный плюс. Неоспоримый. Обо всех остальных достоинствах - можно дискутировать. И вот почему.

Лингвальные брекеты.
Лингвальные брекеты.

Вся конструкция обращена во внутрь - в полость рта. В плане удобства - явный проигрыш, по сравнению с вестибулярными (внешними) брекетами.

У меня в, основной массе, пациенты - женского пола. От 6 лет и до... (Я как дженльмен, возрастом пациенток интересуюсь поскольку-постольку. Больше их зубами.) Женщины - пациенты мнительные. Более или менее - разница только в этом.

Уважаемые мои и любимые пациентки! Мнительность - слово не ругательное! Мнительность присуща женской природе. Да и мужской, в общем, тоже.

Поэтому, некоторым пациенткам (из особо мнительных) - внутреннее расположение брекетов, доставляет массу приключений. То, что нибудь "уколет". То, что нибудь "царапнет". Самое интересное (личное наблюдение), что внутренние брекеты и предпочитают, как нарочно, именно шибко мнительные пациентки. Так что, скучать не приходится.

В плане гигиены - тоже проигрыш. Почистить зубы с внутренними брекетами - это надо наловчиться. Гигиена в брекетах - это вообще процесс трудоемкий. С внутренними - трудоемкий вдвойне.

Но это все минусы относительные. При должном уроне желания (мотивации) и дисциплинированности - все не так и драматично.

Главный минус - стоимость. 90% процентов желающих "поставить лингвалки", после оглашения суммы лечения, пропадают без следа. А чаще, меняют ориентиры в сторону внешних (чаще эстетических) брекетов. Но здесь съэкономить не на чем (см. Об "экономии"). Качество плюс трудоемкость - стоят денег. Качество "лингвалок" - всегда отменное. А лечение на внутренних брекетах - процесс более "трудозатратный", нежели на вестибулярных.

Вывод: Из личного опыта - если Ваше желание (или необходимость) скрыть процесс лечения "перевешивают" все вышеперечисленные минусы - лингвальные брекеты Ваш "формат"...

Продолжение статьи здесь:

Предыдущая статья (ч.1) здесь:

-2

Проект холистической стоматологии "Орто-Артель"

🏥 г. Москва, проспект Мира, д. 75, стр. 1

☎️ +7 (495) 128-11-74

➜ Наш сайт: https://www.ort-art.ru/

НАША ЦЕЛЬ НЕ ЛЕЧИТЬ, А ВЫЛЕЧИТЬ!

Рады видеть Вас в наших соцсетях:

➜ VK: https://vk.com/ortoartel

➜ Телеграмм: https://t.me/ortoart

➜ Дзен: https://dzen.ru/ortart

➜Facebook: https://www.facebook.com/ORTOARTEL/

➜Instagram: https://www.instagram.com/ortoartel/

➜YouTube: https://www.youtube.com/@ort-art

Статья взята с личного ресурса ортодонта Филатова:

Какие брекеты «круче»? Часть 2