Добавить в корзинуПозвонить
Найти в Дзене

Ущемленная грыжа белой линии

Ультразвуковое исследование при грыжах брюшной стенки становится всё более частой процедурой в практике врача ультразвуковой диагностики. Важным является выявление осложнений, и прежде всего - ущемлений. При ущемлении происходит сдавление тканей в области грыжевых ворот и, как следствие, нарушение кровоснабжения грыжевого содержимого, что может привести к некрозу. Ущемленная грыжа требует обязательного хирургического вмешательства, не проходит самостоятельно и не поддается консервативному лечению. Наблюдение: пациент 65 лет. Грыжа белой линии живота выявлена давно, более 20 лет назад. Жалоб не предъявлял. Эпизодически проходил контрольные обследования. За три дня до обращения в клинику работал на даче, убирал снег лопатой. На фоне физической нагрузки появилась боль. Два дня терпел, потом обратился к хирургу. Направлен на ультразвуковое исследование. Пальпаторно в месте субъективно ощущаемой болезненности определяется плотное, малоподвижное подкожно расположенное образование. Вначале ис
Изображение из свободного доступа
Изображение из свободного доступа

Ультразвуковое исследование при грыжах брюшной стенки становится всё более частой процедурой в практике врача ультразвуковой диагностики. Важным является выявление осложнений, и прежде всего - ущемлений. При ущемлении происходит сдавление тканей в области грыжевых ворот и, как следствие, нарушение кровоснабжения грыжевого содержимого, что может привести к некрозу. Ущемленная грыжа требует обязательного хирургического вмешательства, не проходит самостоятельно и не поддается консервативному лечению.

Наблюдение: пациент 65 лет. Грыжа белой линии живота выявлена давно, более 20 лет назад. Жалоб не предъявлял. Эпизодически проходил контрольные обследования. За три дня до обращения в клинику работал на даче, убирал снег лопатой. На фоне физической нагрузки появилась боль. Два дня терпел, потом обратился к хирургу. Направлен на ультразвуковое исследование.

Пальпаторно в месте субъективно ощущаемой болезненности определяется плотное, малоподвижное подкожно расположенное образование.

Вначале исследование проводилось конвексным датчиком. Выявлено грыжевое образование в надчревной области размерами 45х33х40 мм, состоящее из жировой ткани (фрагмент сальника). Было отмечено наличие нечеткости контуров грыжевого образования за счет зоны воспалительной инфильтрации в прилегающей жировой ткани.

-2

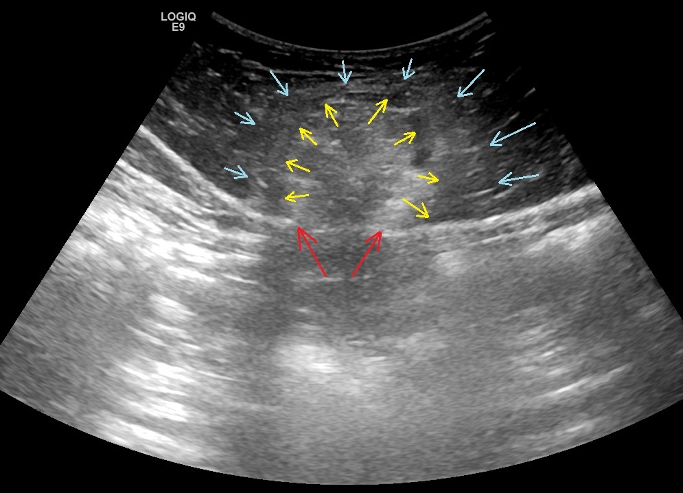
Рис. 01. Жиросодержащая грыжа передней брюшной стенки. Красными стрелками указаны грыжевые ворота. Желтые стрелки - контуры скопления жировой ткани сальника в составе грыжевого содержимого. Голубые стрелки - зона инфильтрации подкожной клетчатки.

Принципиально важным при жиросодержащих грыжах передней брюшной стенки определить вовлеченность париетальной брюшины, что позволяет отличить истинную грыжу от так называемой "предбрюшинной липомы". На следующем изображении видно, что гиперэхогенный контур париетальной брюшины на уровне грыжевых ворот прерывается, следовательно, брюшина вовлечена в грыжевое содержимое.

-3

Рис. 02. Жиросодержащая грыжа передней брюшной стенки. Ультразвуковая визуализация зоны грыжевых ворот

Видео 03. Продольное и поперечное сканирование белой линии живота. Жиросодержащая грыжа в надчревной области. Париетальная брюшина на уровне грыжевых ворот не лоцируется. Определяется воспалительная инфильтрация прилегающей подкожной жировой ткани.

Уже при сканировании конвексным датчиком было выявлено наличие тонкой прослойки жидкости в грыжевом мешке, что позволило заподозрить ущемление.

Дальнейшее исследование проводилось линейным датчиком; частота ультразвука 12 МГц. Даже на более высокой частоте применяемого ультразвука контуры грыжевого образования оставались нечеткими за счет инфильтрации жировой клетчатки как вокруг грыжи, так и в составе грыжевого содержимого. Отчетливо визуализируется зона грыжевых ворот и отсутствие париетальной брюшины на этом уровне. Прослойка жидкости в грыжевом мешке толщиной слоя до 6 мм. Отмечается сильная болезненность при дозированной компрессии датчиком.

-4

Рис. 04. Визуализация грыжи с жировым содержимым, измерение размеров образования и грыжевых ворот

Рис. 05. В зоне грыжевых ворот не видна париетальная брюшина
Рис. 05. В зоне грыжевых ворот не видна париетальная брюшина

Рис. 06. Измерение толщины слоя жидкости в грыжевом мешке
Рис. 06. Измерение толщины слоя жидкости в грыжевом мешке

Видео 07. Визуализация грыжи линейным датчиком. Жировая клетчатка инфильтрирована, вдоль контуров грыжевого содержимого определяется прослойка жидкости.

При ультразвуковом исследовании в режиме ЦДК и ЭДК кровоток в вовлеченной в грыжевое содержимое жировой ткани не выявлен.

Рис. 08. Исследование в режиме ЭДК. Кровоток не лоцируется.
Рис. 08. Исследование в режиме ЭДК. Кровоток не лоцируется.

Видео 09. Исследование в режиме ЭДК. Кровоток не лоцируется.

Проба Вальсальвы. При наличии ущемления, как правило, грыжевое содержимое не изменяет размеры при натужиивании и расслаблении.

Видео 10. Отсутствие реакции грыжевого содержимого при пробе Вальсальвы.

Окончательное заключение - Жиросодержащая грыжа белой линии живота с УЗ признаками ущемления. Пациент госпитализирован для хирургического лечения

Благодарю за внимание!