Найти в Дзене
Hi-Tech Mail

Какие силы заставляют клетки покидать «родные» ткани: исследование физиологов

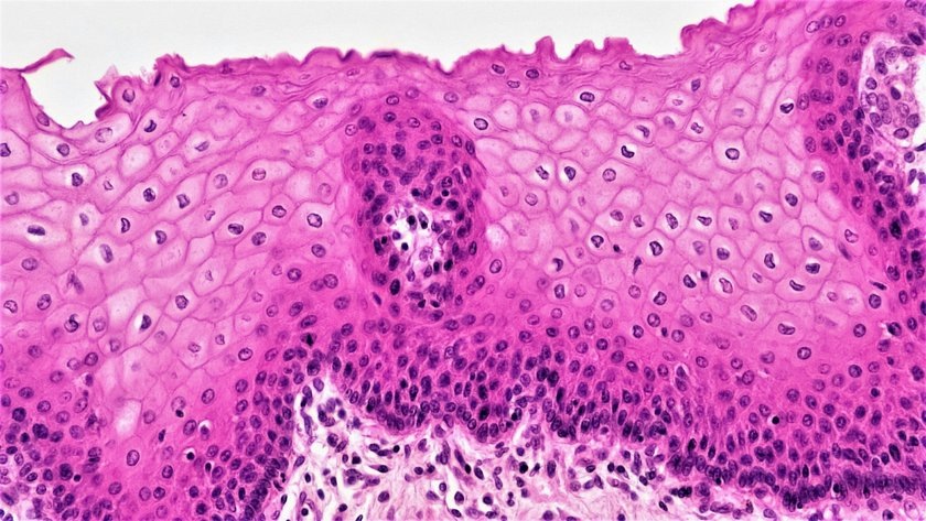
Эпителиальные ткани находятся в постоянном взаимодействии с окружающей средой. Для поддержания их функциональности требуется динамический баланс (гомеостаз) и строгое регулирование количества клеток. Это достигается с помощью программ регенеративной экструзии клеток — контрольного механизма, устраняющего выработавшие ресурс, нежелательные или заведомо вредные клетки. Исследователи из Центра физики и медицины имени Макса Планка, Института Жака Моно (Франция) и Института Нильса Бора (Дания) продемонстрировали, как физические сигналы могут влиять на судьбу экструзионных клеток, определяя их гибель или выживание. Результаты, опубликованные в журнале Nature Physics, могут проложить новые пути к пониманию свойств тканей как в нормальных, так и в патологических условиях. Эпителий динамичен и должен постоянно обновляться. Поэтому удаление клеток из ткани, называемое апоптотической экструзией, происходит регулярно. Их баланс является ключевым для гомеостаза эпителия. В дополнение к этой роли в

Эпителиальные ткани находятся в постоянном взаимодействии с окружающей средой. Для поддержания их функциональности требуется динамический баланс (гомеостаз) и строгое регулирование количества клеток. Это достигается с помощью программ регенеративной экструзии клеток — контрольного механизма, устраняющего выработавшие ресурс, нежелательные или заведомо вредные клетки.

Исследователи из Центра физики и медицины имени Макса Планка, Института Жака Моно (Франция) и Института Нильса Бора (Дания) продемонстрировали, как физические сигналы могут влиять на судьбу экструзионных клеток, определяя их гибель или выживание. Результаты, опубликованные в журнале Nature Physics, могут проложить новые пути к пониманию свойств тканей как в нормальных, так и в патологических условиях.

Эпителий динамичен и должен постоянно обновляться. Поэтому удаление клеток из ткани, называемое апоптотической экструзией, происходит регулярно. Их баланс является ключевым для гомеостаза эпителия. В дополнение к этой роли в гомеостазе тканей, экструзия клеток является основной причиной изменения формы тканей и прогрессирования опухолей.

-2

Механизмы вытеснения определяют судьбу клеток, поскольку вытеснение клеток, как мертвых, так и живых, может привести к принципиально различным биологическим последствиям. Это особенно важно для процессов развития при формировании тканей или органов и играет значительную роль в развитии таких заболеваний, как рак.

Несмотря на важность экструзии клеток в развитии и старении, а также ее патологическое значение в прогрессировании рака, сигналы, которые определяют судьбу экструдированной клетки, ранее были плохо изучены.

Механические межклеточные взаимодействия определяют судьбу выдавливаемых клеток

Клетки в монослоях эпителия оказывают воздействие на соседние клетки, что может спровоцировать их отслоение и последующую элиминацию. В то время как удаление мертвых клеток необходимо по «санитарным» соображениям, удаление живых клеток играет ключевую роль в процессах развития и часто связано с патологическими состояниями.

Команда профессора Бенуа Ладу, руководителя направления тканевой механобиологии в институте Макса Планка, в сотрудничестве с профессором Амином Дустмохаммади из Института Нильса Бора и доктором Рене-Марком Межем из Института Жака Моно выдвинули гипотезу о том, что на процесс экструзии эпителиальных клеток, влияют физические силы, действующие внутри них самих. Эти силы и определяют конечную судьбу клеток.

Ученым удалось продемонстрировать, что интенсивность и продолжительность прикладываемого усилия определяют, будут ли вытеснены мертвые или живые клетки. Эти физические сигналы определяются прочностью межклеточных контактов — так называемых Е-кадгериновых связей.

Они доказали, что экструдируемые клетки движутся в ткани либо апикально (наружу), либо базально (вглубь), опять же в зависимости от механических межклеточных взаимодействий. Удаление клеток при жизни может быть значительно чаще связано с вытеснением в базальную часть — что аналогично клеточной инвазии при опухоли.

-3

Команды Ладу, Меге и Дустмохаммади объединили физическое моделирование трехмерных клеточных структур с экспериментами с участием клеток, экспрессирующих различные уровни специфических белков. Эти белки соединяют клетки и служат в качестве механосенсоров на основе Е-кадгерина, регулирующих межклеточные взаимодействия.

Совместные усилия авторов исследования в сотрудничестве с командой доктора Филиппа Шавье (Институт Кюри) показали, что измененная передача силы через межклеточные соединения (адгезионные соединения) изменяет характер апоптоза клеток во время экструзии. Ученые также продемонстрировали, что измененная передача усилия способствует смещению режима экструзии с апикальной на базальную сторону, влияя на судьбу экструдированных клеток и тканей, на которые они воздействуют.

«Наша работа демонстрирует, что различные режимы экструзии клеток связаны с изменениями в генерации, приложении и передаче механических сил внутри ткани, что приводит к изменениям на генетическом и белковом уровнях», — говорит Ладу. «Межклеточная энергетическая коммуникация имеет решающее значение в механизмах вытеснения клеток, что проявляется при морфогенезе и инвазии раковых клеток».

«Наша работа также показывает важность передачи силы, которая регулируется способностью эпителиальных тканей взаимодействовать друг с другом через адгезивные соединения, что потенциально может помочь в понимании роли адгезивных соединений в различных типах злокачественных новообразований», — добавляют соавторы статьи доктор Лакшми Баласубраманьям и доктор Сиаваш Монфаред.

Ранее ученые сообщили как выбросы свинца понизили интеллект жителей Римской империи.