Найти в Дзене
ЛюМэ

Про стоматологию по ОМС

АААААААААААААААААААА Вроде бы ничего нового и неожиданного не произошло, но мне впервые в жизни хочется кричать, а я даже не знаю на каком общественном транспорте можно доехать до места, где можно покричать и никого не напугать. Итак, что мы имеем: Второй день пытаюсь записать сыновей к бесплатному стоматологу. В детской областной больнице, которая у нас Научно-клинический многопрофильный центр, стоматолог один, и он со вчерашнего дня на больничном, нужно караулить, когда выйдет и нужно ловить талоны. В детской стоматологической поликлинике тоже нужно ловить талоны. По многоканальному телефону я дозвонилась в 9 утра, но мне сказали, что уже поздно и нужно каждый день звонить в 8:30. Также можно записываться самостоятельно в электронной регистратуре через госуслуги. Но оказалось, что записаться практически нельзя, все свободные места, которых обозначено было прям много (почти четыреста свободных мест на лечение!), были помечены, что запись только через врача. Ещё была кнопка "записаться

АААААААААААААААААААА

Вроде бы ничего нового и неожиданного не произошло, но мне впервые в жизни хочется кричать, а я даже не знаю на каком общественном транспорте можно доехать до места, где можно покричать и никого не напугать.

Итак, что мы имеем:

Второй день пытаюсь записать сыновей к бесплатному стоматологу.

В детской областной больнице, которая у нас Научно-клинический многопрофильный центр, стоматолог один, и он со вчерашнего дня на больничном, нужно караулить, когда выйдет и нужно ловить талоны.

В детской стоматологической поликлинике тоже нужно ловить талоны. По многоканальному телефону я дозвонилась в 9 утра, но мне сказали, что уже поздно и нужно каждый день звонить в 8:30.

Также можно записываться самостоятельно в электронной регистратуре через госуслуги. Но оказалось, что записаться практически нельзя, все свободные места, которых обозначено было прям много (почти четыреста свободных мест на лечение!), были помечены, что запись только через врача.

Ещё была кнопка "записаться в лист ожидания". Пока не стала, решила свозить сына в смотровой и попробовать "записаться через врача".

Но через электронную регистратуру записала старшего сына на консультацию к ортодонту. В прошлом году мне сказали, что помочь моему ребёнку в ближайшие годы не смогут, а бесплатно и вовсе никогда не смогут. Послушаю, что в этом году скажут. Может быть покажу им план лечения, составленный в коммерческой клинике.

Вчера старшего свозила в стоматологическую поликлинику в смотровой, чтобы попытаться хоть залечить кариес бесплатно, если уж с ортодонтией не получается бесплатно. Хоть на чём-то сэкономить. Оказалось, что нового кариеса не появилось, если верить этому врачу, который буквально 20 секунд смотрел в рот моему ребёнку и даже ничего там инструментами не делал. Но все те, пломбы, что ставили год назад, оказались в окружении кариеса. 4 пролеченных зуба нужно перелечивать. И у меня очень большие вопросы по поводу качества изначального лечения.

Мне тут в комментах земляки уже написали, что в нашей государственной детской стоматологии прекрасно лечат зубы. Но у меня складывается впечатление, что в бесплатной медицине могут лечиться либо очень больные люди со сложными заболевания, где нужны квоты и всё такое, когда не умер – ура, врачи подвиг совершили, а о дальнейшем качестве жизни уже и не заикаешься, спасибо, что жив. Либо очень здоровые люди с крепким здоровьем, которое трудно убить. И вот если у таких здоровых людей случаются незначительные поломки в организме, то их легко исправляют бесплатно, а если где-то накосячат, то у здорового всё зарастёт. У в меру больных нет сил сидеть в очередях, обивать пороги, просить, требовать, доказывать...

За всю мою жизнь лишь однажды случалось такое, что под пломбой снова оказывался кариес. И я склонна думать, что такое происходит, когда изначально лечение проходит некачественно. Я могу ошибаться, допускаю, что это обычное дело, и с одним-двумя зубами может случиться рецидив на том же месте, но не со всеми же зубами? А ещё я думаю, что за 3-5 минут нельзя качественно вылечить кариес, а именно столько времени лечили каждый зуб моему сыну.

Вообще на приём в нашей стоматологии, если смотреть на расписание врачей, отводится 20 минут, но параллельно с теми, кто идёт по записи, врач принимает тех, кто идёт первично на осмотры. Очереди огромные.

В коммерческой клинике, где мы были, на приём отводится час. Всё проходит в комфортной обстановке и тогда, когда это удобно пациенту.

В общем, перед установкой брекетов сыну я решила не рисковать и перелечить ему зубы в коммерческой клинике. Там и гарантия на работу нормально работает, оперативно, если что, перелечат без вот этой борьбы за талоны и высиживании в очередях, несмотря на запись по времени.

Из-за нашей поездки к деду Морозу сын пропустил неделю в школе. Сразу ощутились затруднения по математике и появилась двойка по географии. Это ж надо было такому случиться, что на том единственном уроке, который пропустил сын, прошли новую тему и провели по ней контрольную в тот же день, когда сын пришёл в школу после отпуска. Моему сыну с его особенностями учёба даётся тяжелее, чем многим, он дополнительно занимается по всем основным предметам. Поэтому не хочется ещё и из-за лечения зубов двоек наполучать, а потом платить репетиторам за то, чтоб всё исправить.

Но на лечение всех детей платно ресурсов семьи не хватит. Поэтому придётся жертвовать молочными зубами младшего ребёнка и лечить их бесплатно. Попросила в регистратуре записать сына на лечение, но меня ожидаемо послали на многоканальный номер или в электронную регистратуру. На сайте, как я уже выше писала, доступных мест для записи нет, а в лист ожидания почему-то не записалось, сайт писал, что медицинский полис ребёнка не прошёл проверку.

Решила пробовать записаться через колл-центр. С утра ровно в 8:29 начала непрерывно звонить. Раз за разом. Дозвонилась в 8:34, была уверена, что талонов уже нет. Но мне сказали, что что-то есть. И не записали, потому что ребёнка оказывается нет в базе детской стоматологии. А я с этим ребёнком там не была. Я была с ним в стоматологическом кабинете детской областной больницы. База оказывается не единая. И внести сведения дистанционно в неё нельзя. Мне велели ехать в поликлинику и заводить карту на ребёнка.

Вот сегодня поеду.

Продолжение, почему мне хочется кричать, в следующей статье. Стоматологическая составляющая лишь часть событий вчерашнего дня. Не самая печальная.

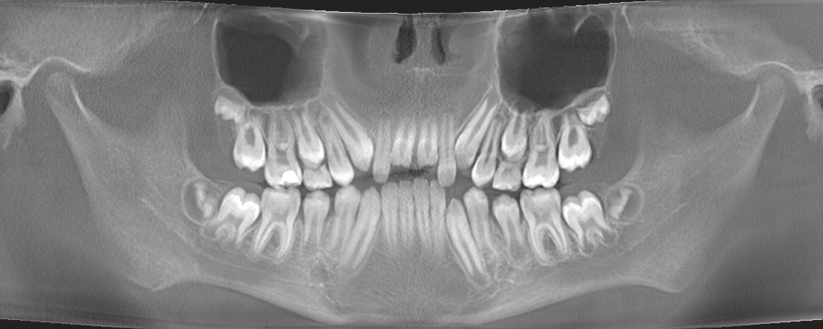
Надеюсь это не шок-контент? Это зубы старшего сына.
Надеюсь это не шок-контент? Это зубы старшего сына.
  • Про цены в коммерческой стоматологической клинике здесь:
  • Продолжение про то, почему кричать хочется: