Добавить в корзинуПозвонить
Найти в Дзене
В мире медицины

Чем опасен перелом: о жировой эмболии

До сих пор при данном жизнеугрожающем состоянии нет четких рекомендаций по ведению пациентов с тяжелой травмой, имеющих риск возникновения жировой эмболии. Она трудно поддается диагностике, не имеет четких критериев и может скрываться под разными масками. Это закупорка сосудов большого или малого круга кровообращения жировыми каплями, приводящая к выраженной дыхательной недостаточности и/или нарушению кровотока в жизненно важных органах (в зависимости от локализации эмбола). В трубчатых костях в костномозговом канале содержится большое количество жира за счет желтого костного мозга. Он состоит из жировой ткани с островками стромы. К примеру, бедренная кость человека содержит 70 мл жира. Одним из вероятных механизмов возникновения жировой эмболии считают активацию плазменной липазы, которая приводит склеиванию циркулирующих липидных капель и высвобождению жира из депо. Однако, в экспериментах путем непосредственного введения липазы в сосудистое русло вызвать эмболию так и не удалось
Оглавление
До сих пор при данном жизнеугрожающем состоянии нет четких рекомендаций по ведению пациентов с тяжелой травмой, имеющих риск возникновения жировой эмболии. Она трудно поддается диагностике, не имеет четких критериев и может скрываться под разными масками.

Что же такое жировая эмболия?

Это закупорка сосудов большого или малого круга кровообращения жировыми каплями, приводящая к выраженной дыхательной недостаточности и/или нарушению кровотока в жизненно важных органах (в зависимости от локализации эмбола).

Немного фактов

  • Наиболее часто встречается у пациентов травматологического профиля (тяжелая травма костей таза, переломы трубчатых костей, размозжение костной ткани, обширные оперативные вмешательства (например, при интрамедуллярном остеосинтезе), липосакция).

В трубчатых костях в костномозговом канале содержится большое количество жира за счет желтого костного мозга. Он состоит из жировой ткани с островками стромы.

К примеру, бедренная кость человека содержит 70 мл жира.
Измененное изображение для оформления статьи
Измененное изображение для оформления статьи
  • До сих пор отсутствуют четкие представления о механизмах возникновения, профилактики и лечении данного осложнения, в связи с чем жировая эмболия часто приводит к крайне неблагоприятному исходу (более 60% случаев).

Одним из вероятных механизмов возникновения жировой эмболии считают активацию плазменной липазы, которая приводит склеиванию циркулирующих липидных капель и высвобождению жира из депо.

Однако, в экспериментах путем непосредственного введения липазы в сосудистое русло вызвать эмболию так и не удалось (по данным ученых НИИ общей реаниматологии им. В.А. Неговского РАМН).

  • Непрямой массаж сердца при проведении сердечно-легочной реанимации часто сопровождается наличием жировых эмболов в легочных сосудах, обнаруживаемых на вскрытии (порядка 80% пострадавших без травмы).

В чем заключается трудность диагностики?

Применяемые способы лабораторной диагностики неспецифичны (например, обнаружение жировых глобул в периферической крови, моче может повышать риск окклюзии, но не гарантирует 100% ее возникновения). ЭКГ демонстрирует отклонение электрической оси вправо, неспецифичные изменения зубцов P и R по амплитуде и изменение комплекса QRS.

Не удается обнаружить жировой эмбол и на МСКТ в режиме ангиопульмонографии в сосудистом окне, однако, в легочном, как правило, визуализируются определенные изменения.

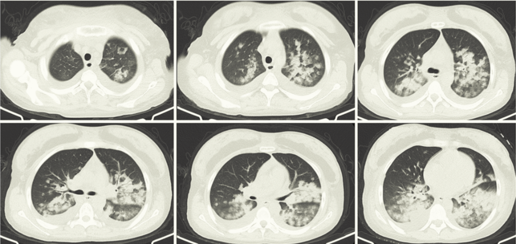
Клинический пример: пациентка через несколько часов после липосакции пожаловалась на одышку и учащение пульса.

Объективно: резкое падение сатурации (менее 80%), субфебрильная температура, кашель без мокроты. Учитывая высокий риск по жировой эмболии, была экстренно переведена в ОРИТ на неинвазивную ИВЛ с последующим бронхоальвеолярным лаважем и цитологическим изучением аспирированных клеток, где были выявлены липидные включения ("Rare case of pulmonary fat embolism and acute respiratory distress syndrome after liposuction", Gai Xiaoyan).

На серии аксиальных срезов МСКТ органов грудной полости в нативную фазу исследования определяется двустороннее снижение пневматизации легочной паренхимы в виде уплотнения по типу консолидации, а также очагов в виде "матового стекла" (морфологически соответствуют альвеолярному отеку легких), двусторонний плевральный выпот
На серии аксиальных срезов МСКТ органов грудной полости в нативную фазу исследования определяется двустороннее снижение пневматизации легочной паренхимы в виде уплотнения по типу консолидации, а также очагов в виде "матового стекла" (морфологически соответствуют альвеолярному отеку легких), двусторонний плевральный выпот

Конкретно в данном случае была своевременно начата поддерживающая терапия и ИВЛ с благоприятным исходом в итоге.

К сожалению, далеко не в каждом случае удается спасти человека, даже на своевременной терапии.

Таким образом, жировая эмболия является серьезным осложнением тяжелой травмы, требующей подробного изучения механизмов ее возникновения и разработки мер профилактики у пациентов из группы риска.

Существуют и другие виды нетромботической эмболии: амниотической жидкостью, воздушная, септическая (микробным эмболом), интересно ознакомиться? Можете писать в комментариях.

Всем дочитавшим до конца спасибо за внимание и до скорых встреч.