Добавить в корзинуПозвонить
Найти в Дзене

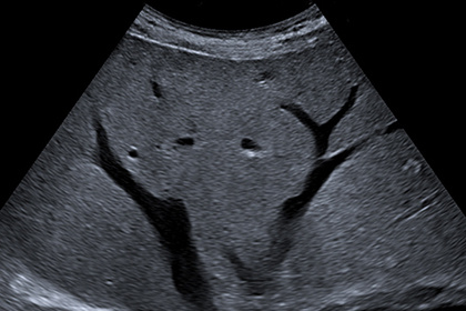
Почему на УЗИ видны огромные сосуды

Вспоминаем... В момент, когда организм испытывает долгий дискомфорт - находится в неблагополучных условиях клетки страдают и массово гибнут.  Тогда включается защитно-компенсаторный механизм, и клеточки начинают мутировать, чтобы хоть как-то выжить. Ведь из клеток состоят ткани органов. Тело же не может само лишиться органа или его части. 😀 Итак, клетки хаотично и быстро размножаются, увеличиваются в объёмах. Естественно, они не здоровы, их вибрации снижены. А значит в зоне их обитания накапливается разрушительный потенциал. Обменные процессы нарушаются, энергетический потенциал уменьшается, плотность межклеточного матрикса меняется и формируется застой крови. 😀И к этой изменённой ткани, состоящей из наших мутирующих клеток, подходит сосуд. Кровь в нём сталкивается с препятствием в окружающих тканях и застрявшей в венах кровью. Вследствие чего приводящая артерия расширяется и становится размером с палец. Представьте, что на резиновый шланг, по которому течёт вода, кто-то насту

Вспоминаем...

В момент, когда организм испытывает долгий дискомфорт - находится в неблагополучных условиях клетки страдают и массово гибнут. 

Тогда включается защитно-компенсаторный механизм, и клеточки начинают мутировать, чтобы хоть как-то выжить.

-2

Ведь из клеток состоят ткани органов. Тело же не может само лишиться органа или его части.

😀 Итак, клетки хаотично и быстро размножаются, увеличиваются в объёмах. Естественно, они не здоровы, их вибрации снижены. А значит в зоне их обитания накапливается разрушительный потенциал.

Обменные процессы нарушаются, энергетический потенциал уменьшается, плотность межклеточного матрикса меняется и формируется застой крови.

-3

😀И к этой изменённой ткани, состоящей из наших мутирующих клеток, подходит сосуд. Кровь в нём сталкивается с препятствием в окружающих тканях и застрявшей в венах кровью.

Вследствие чего приводящая артерия расширяется и становится размером с палец.

-4

Представьте, что на резиновый шланг, по которому течёт вода, кто-то наступил.

Что с ним произойдёт? - В месте затора резина начнёт увеличиваться в размерах.

Вот почему такие огромные сосуды наблюдаются по УЗИ в местах расположения миом и кист!

-5

😀 Как этого избежать, я рассказываю на бесплатном мастер-классе👉https://healthcreation.ru/y/0f7bef3

Приходите, чтобы разобраться в причинах ваших болезней, получить возможность познакомиться со своим организмом поближе и узнать способы его оздоровления💫