Добавить в корзинуПозвонить
Найти в Дзене
БлокнотРУ

«Плюс одна фобия»: на Ямале вахтовику чуть не оторвало ногу из-за взрыва колеса, которое он накачивал

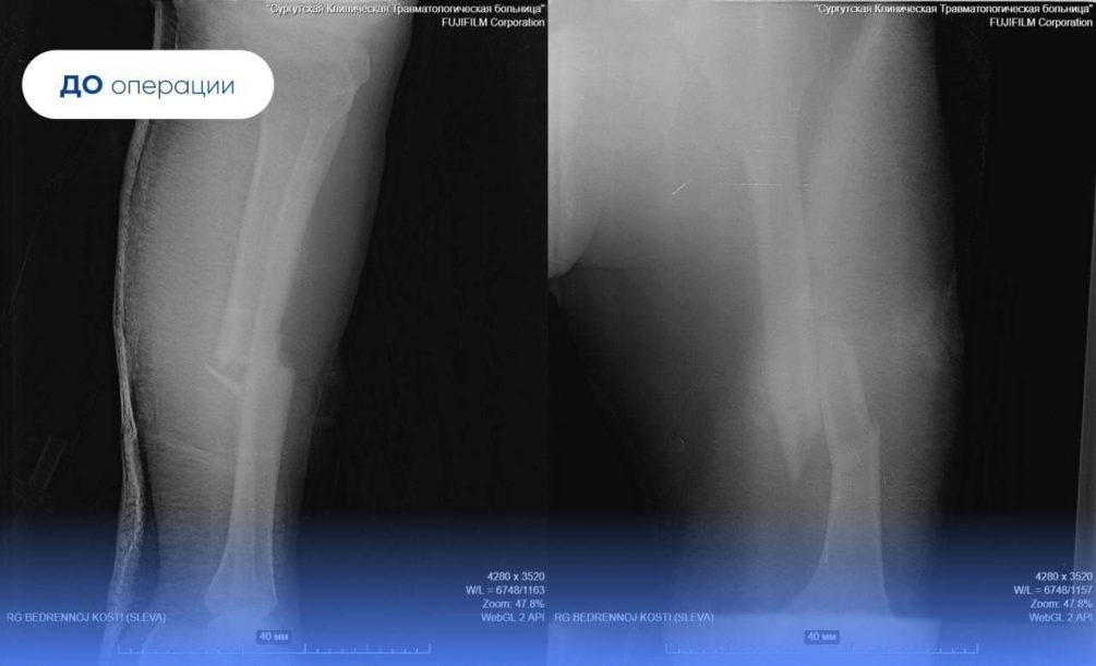
В Ямало-Ненецком автономном округе 49-летний вахтовик из Татарстана чуть не лишился ноги во время накачки колеса машины. В какой-то момент оно взорвалось. О спасении ноги вахтовика рассказали в пресс-службе Сургутской травматологической больницы. Россиянина доставили в Сургут вертолётом Центра медицины катастроф. У пострадавшего зафиксировали множественные, в том числе открытые переломы бедренной и большеберцовой костей, а также обширные раны с разрывом сосудов. Врачи отметили, что из-за этого вахтовик мог остаться без ноги. Однако травматологи-ортопеды пришли на помощь раненому и устранили эту угрозу. Медики восстановили кровоснабжение, стабилизировали переломы с помощью временного аппарата внешней фиксации. Мужчину готовили к операции в реанимационном отделении целых два дня. Как рассказал заведующий отделением травматологии и ортопедии учреждения Сергей Глиняный, медикам нужно было избежать хирургической агрессии и дополнительной нагрузки на организм пострадавшего. Они решили прове

В Ямало-Ненецком автономном округе 49-летний вахтовик из Татарстана чуть не лишился ноги во время накачки колеса машины. В какой-то момент оно взорвалось. О спасении ноги вахтовика рассказали в пресс-службе Сургутской травматологической больницы.

Россиянина доставили в Сургут вертолётом Центра медицины катастроф. У пострадавшего зафиксировали множественные, в том числе открытые переломы бедренной и большеберцовой костей, а также обширные раны с разрывом сосудов. Врачи отметили, что из-за этого вахтовик мог остаться без ноги.

Однако травматологи-ортопеды пришли на помощь раненому и устранили эту угрозу. Медики восстановили кровоснабжение, стабилизировали переломы с помощью временного аппарата внешней фиксации. Мужчину готовили к операции в реанимационном отделении целых два дня.

Как рассказал заведующий отделением травматологии и ортопедии учреждения Сергей Глиняный, медикам нужно было избежать хирургической агрессии и дополнительной нагрузки на организм пострадавшего. Они решили провести так называемый интрамедуллярный остеосинтез.

«Через один разрез примерно в пять сантиметров мы установили сразу два внутрикостных штифта — в бедренную и большеберцовую кости. Конструкции будут удерживать отломки в правильном анатомическом положении, создавая условия для скорейшего сращения», — пояснил доктор.

Операцию проводили под постоянным рентген-контролем. Она длилась ровно час. Так врачи смогли добиться цели минимально травматичным способом. Теперь вахтовик проведёт в больнице три недели, в том числе и новогодние праздники. Ему пообещали комплексное лечение, в том числе реабилитационное.

Ранее врачи Ростова-на-Дону спасли 46-летнюю женщину от смертельной усталости. Ей поставили страшный диагноз из-за курения и неправильного питания.