Найти в Дзене

КОЖА и МАСЛА. Лечебный эффект. МИФЫ и ПРАВДА. ЧАСТЬ 1. ВВЕДЕНИЕ....

Барьерная функция кожи зависит в основном от целостности рогового слоя. Во время дифференциации плазматическая мембрана внешних кератиноцитов заменяется специализированной роговой оболочкой (РОО) корнеоцитов. Насыщенные СЖК C22 и C24 присутствуют в относительно больших количествах среди насыщенных СЖК, тогда как ненасыщенные СЖК C18 являются основными компонентами ненасыщенных СЖК. Фактически, линолевая кислота является наиболее распространенной полиненасыщенной жирной кислотой [4]. 4.Ansari M.N., Nicolaides N., Fu H.C. Fatty acid composition of the living layer and stratum corneum lipids of human sole skin epidermis. Lipids. 1970;5:838–845. doi: 10.1007/BF02531977. [DOI] [PubMed] [Google Scholar] Структура рогового слоя похожа на кирпичную стену, в которой корнеоциты или «кирпичи» окружены межклеточными липидными пластинками, которые действуют как «раствор» для поддержания как целостности рогового слоя, так и барьера проницаемости кожи. Барьерная функция кожи зависит в основном
Оглавление

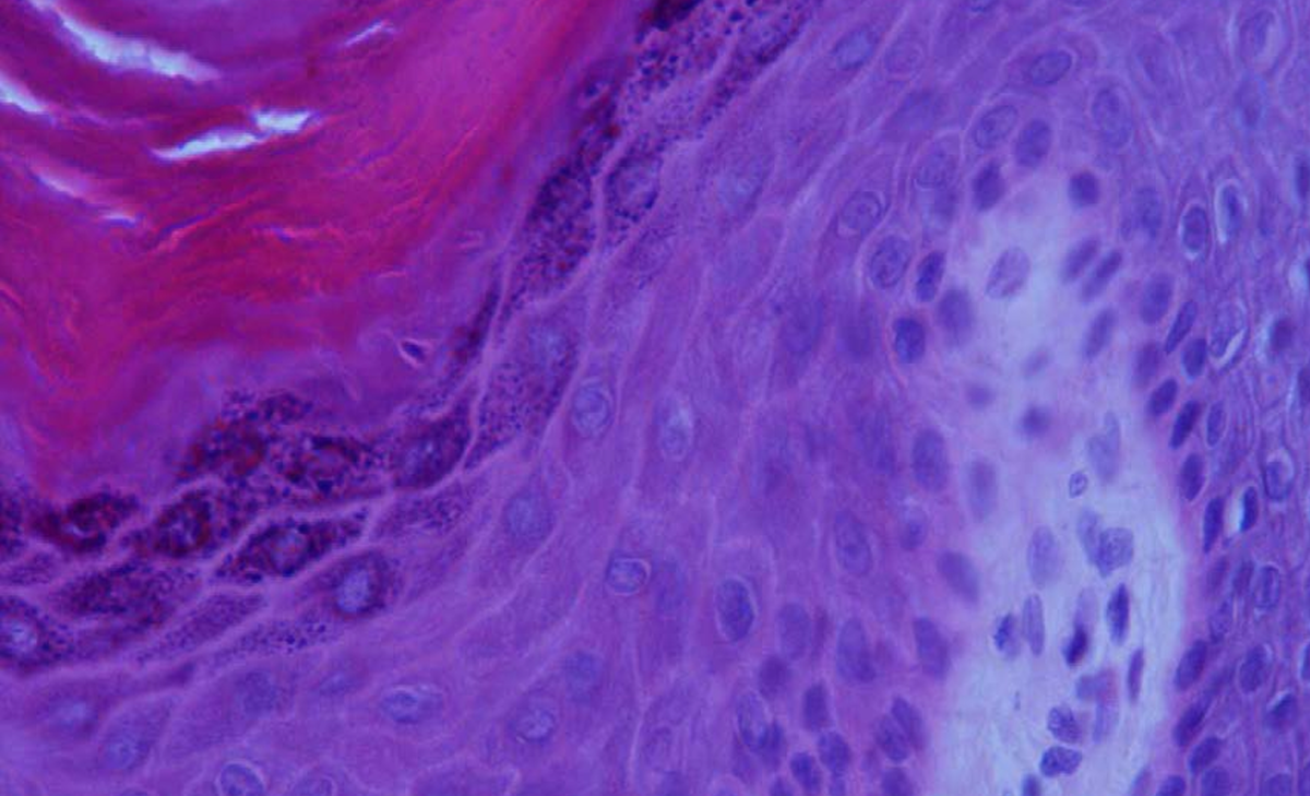
Слои кожи 6-роговой,5-блестящий,4-зернистый,3-шиповатый,2-базальный,1- БМ(базальная мембрана)
Слои кожи 6-роговой,5-блестящий,4-зернистый,3-шиповатый,2-базальный,1- БМ(базальная мембрана)

  1. Кожа, самый большой орган тела, функционирует как необходимый интерфейс между внутренней и внешней средой.
  2. Таким образом, она непрерывно защищает организм от вредных стимулов, например, микроорганизмов, ультрафиолетового (УФ) облучения, аллергенов и раздражителей.
  3. Ее уникальная роль и функция являются прямым результатом ее структуры и состава, особенно самой поверхностной части, эпидермиса.
  4. Основной клеточный компонент эпидермиса включает кератиноциты, но есть также меланоциты, клетки Меркеля, гамма-дельта Т-лимфоциты и клетки Лангерганса.
  5. Кератиноциты в базальном слое эпидермиса сохраняют свою способность пролиферировать вверх, образуя шиповатый слой и зернистый слой. За пределами зернистого слоя кератиноциты окончательно дифференцируются в корнеоциты в роговом слое.
  6. В самой внешней части эпидермиса корнеоциты (компактные кератиноциты без ядер) вместе с межклеточным ламеллярным компартментом (липиды) вносят вклад в структуру и функцию рогового слоя (SC).

Барьерная функция кожи зависит в основном от целостности рогового слоя. Во время дифференциации плазматическая мембрана внешних кератиноцитов заменяется специализированной роговой оболочкой (РОО) корнеоцитов.

-2

Насыщенные СЖК C22 и C24 присутствуют в относительно больших количествах среди насыщенных СЖК, тогда как ненасыщенные СЖК C18 являются основными компонентами ненасыщенных СЖК.

Фактически, линолевая кислота является наиболее распространенной полиненасыщенной жирной кислотой [4].

4.Ansari M.N., Nicolaides N., Fu H.C. Fatty acid composition of the living layer and stratum corneum lipids of human sole skin epidermis. Lipids. 1970;5:838–845. doi: 10.1007/BF02531977. [DOI] [PubMed] [Google Scholar]

Структура и функции рогового слоя

Структура рогового слоя похожа на кирпичную стену, в которой корнеоциты или «кирпичи» окружены межклеточными липидными пластинками, которые действуют как «раствор» для поддержания как целостности рогового слоя, так и барьера проницаемости кожи.

Барьерная функция кожи зависит в основном от целостности рогового слоя. Во время дифференциации плазматическая мембрана внешних кератиноцитов заменяется специализированной роговой оболочкой (РОО) корнеоцитов.

РОО придает корнеоцитам жесткость. Развитие РОО объясняется сшиванием нерастворимых белков (инволюкрина и лорикрина) трансглутаминазами. Некоторые липиды (предшественники церамидов, свободных жирных кислот (СЖК) и часть холестерина) синтезируются в кератиноцитах в зернистом слое (ЗС), а затем высвобождаются из пластинчатых телец (ЛТ) в интерфейс ЗС-СК, тогда как оставшиеся липиды секретируются на поверхность кожи из сальных желез (кожного сала). Барьер проницаемости обеспечивается межклеточным липидно-обогащенным матриксом, который состоит из церамидов, СЖК и холестерина. После секреции ЛТ межклеточные липиды ферментативно модифицируются, становясь высокогидрофобной и организованной пластинчатой ​​структурой. Пластинчатые мембраны СК в основном состоят из насыщенных СЖК со значительно более длинной цепью, которая варьируется от С16 до С26.

-3
  1. Основными СЖК в ламеллярных мембранах являются пальмитиновая кислота (С16:0) – 10% (масс./масс.), стеариновая кислота (С18:0) – 10% (масс./масс.), бегеновая кислота (С22:0) – 15% (масс./масс.), лигноцериновая кислота (С24:0) – 25% (масс./масс.) и гексакозановая кислота (С26:0) – 10% (масс./масс.) от общего содержания СЖК в СК [2].
  2. Другие СЖК, которые представлены в меньшем количестве в СК, включают олеиновую кислоту (C18:1, n-9), эйкозапентаеновую кислоту (C20:5, n-3), арахидоновую кислоту (C20:4, n-6), докозагексаеновую кислоту (C22:6, n-3), линолевую кислоту (C18:2, n-6), а также ее производные, которые являются линоленовыми кислотами [α-линоленовая кислота (C18:3, n-3), γ-линоленовая кислота (C18:3, n-6) и дигомо-γ-линоленовая кислота (C20:3, n-6)] .

Насыщенные СЖК C22 и C24 присутствуют в относительно больших количествах среди насыщенных СЖК, тогда как ненасыщенные СЖК C18 являются основными компонентами ненасыщенных СЖК.

Фактически, линолевая кислота является наиболее распространенной полиненасыщенной жирной кислотой в клетках эпидермиса.

Помимо линолевой и арахидоновой кислот, остальные FFA могут синтезироваться в кератиноцитах .

SC действует как барьер проницаемости и антимикробный барьер.

Этот антимикробный барьер объясняется слабой кислотностью pH поверхности кожи, свободными сфингоидными основаниями, генерируемыми из эпидермальных церамидов, и антимикробными пептидами в межклеточном пространстве.

-4

Гидратация SC также имеет решающее значение для целостности SC и поддержания гомеостаза кожного барьера. Компоненты натурального увлажняющего фактора (NMF) в корнеоцитах способствуют гидратации SC.

В состав NMF входят свободные аминокислоты, пирролидонкарбоновая кислота, молочная кислота, уроканиновая кислота, органические кислоты, пептиды, сахара, мочевина, цитрат, глицерин и т. д.

Филагрин, один из конечных маркеров дифференциации эпидермиса, также способствует гидратации SC.

Филаггрин расщепляется на свободные аминокислоты в роговом слое.

Эти аминокислоты далее метаболизируются в гигроскопичные производные, такие как пирролидонкарбоновая кислота из глутамина и уроканиновая кислота из гистидина.

то есть ГЛУТАМИН и ГИСТИДИН возьмем на заметку!

Это делает филагрин одним из основных факторов, влияющих на состояние гидратации рогового слоя.

Нарушенная барьерная функция в значительной степени способствует аллергической сенсибилизации как к белковым антигенам, так и к стафилококковым суперантигенам.

Более того, воспаление под барьером может изменить дифференциацию эпидермиса, что приводит к нарушению барьерной функции.

-5

Исследования показали, что цитокины, связанные с Th2 (IL-4), усугубляют нарушение барьера кожи, изменяя дифференциацию кератиноцитов и синтез липидов межклеточного компартмента SC .

Поэтому было предложено, чтобы ранние вмешательства для восстановления

r эпидермального барьера с использованием соответствующих мыл, смягчающих средств или увлажнителей может быть полезным для контроля этого хронического заболевания, а также для предотвращения его прогрессирования, также известного как атопический марш .

ПРЕДЛАГАЮТ ТАКИЕ ПРЕПАРАТЫ ДЛЯ РОСТА И ЗАЖИВДЕНИЯ ТКАНЕЙ ,А ТАКЖЕ ОБЛАДАЮЩИЕ "ПРОТИВООПУХОЛЕВОЙ АКТИВНОСТЬЮ"

-6

Закрытие ран у мышей с ожирением (ob/ob) можно улучшить с помощью системного лечения противоопухолевым фактором некроза альфа (ФНО-α) путем инактивации макрофагов .

Рефнот инструкция по применению, отзывы, аналоги, цены и наличие в аптеках. Цена от 11000 до 11000 руб.

Сколько стоит Ингарон? Средняя цена в аптеках находится на уровне 240 рублей. Иммуномодулирующее средство ИНГАРОН. Ингарон капли в нос – это эффективное средство для профилактики и лечения респираторных заболеваний.

Заживление ран- Wound healing (WH)

Заживление ран (ЗР) является динамичным и строго регулируемым процессом клеточных, гуморальных и молекулярных механизмов.

Процесс изображается в четыре фазы: гемостаз, воспаление, пролиферация и ремоделирование тканей .

В фазе гемостаза каскад свертывания мгновенно активируется после травмы, создавая временную матрицу раны .

Фаза воспаления состоит из врожденного иммунного ответа, имеющего решающее значение для разрушения и очистки тканей и остатков патогенов в месте травмы.

Полиморфноядерные нейтрофилы (ПМН) выделяют активные формы кислорода (АФК) и оксид азота, способствуют деградации чужеродных организмов и инициируют фагоцитоз патогенов.

Кроме того, ПМН секретируют высокие уровни ПМН-коллагеназы, эластазы и матриксных металлопротеиназ (ММП), которые разрушают поврежденные клетки и внеклеточный матрикс .

Макрофаги работают посредством фагоцитоза патогенов и клеточного детрита.

Повышенное количество макрофагов наряду с постоянным воспалением наблюдается в хронических ранах .

Wound healing (WH)

В отличие от острых ран, где воспаление имеет решающее значение на начальных этапах заживления ран, хронические незаживающие раны могут быть результатом аберрантной воспалительной реакции пропорционально ее интенсивности и продолжительности .

Таким образом, воспаление может положительно или отрицательно влиять на процесс Wound healing (WH). Чрезмерное воспаление и/или его продолжительность коррелируют с повышенным количеством макрофагов, что приводит к ухудшению результатов Wound healing (WH).

Кроме того, чрезмерные уровни матриксные металлопротеиназы, которые высвобождаются из полиморфноядерные лейкоциты и макрофагов, приводят к обширному повреждению внеклеточного матрикса.

-7

Это мешает нормальному формированию каркаса для миграции и пролиферации новых клеток в раневых областях .

Исследования моделей нарушенного WH у мышей с ожирением (ob/ob) и диабетом (db/db) показали, что количество макрофагов в этих моделях повышено .

Закрытие ран у мышей с ожирением (ob/ob) можно улучшить с помощью системного лечения противоопухолевым фактором некроза альфа (ФНО-α) путем инактивации макрофагов .

Аналогичным образом, ROS и продукты их окислительной реакции, присутствующие в ране, также могут играть важную роль в повреждении тканей

-8

Хотя ROS являются частью нормальных регуляторных цепей барьерной функции кожи, воспаления и WH в физиологических условиях, избыток ROS пагубно влияет на процесс WH .

-9

Хотя ROS являются частью нормальных регуляторных цепей барьерной функции кожи, воспаления и WH в физиологических условиях, избыток ROS пагубно влияет на процесс WH

Воспаление и пролиферация кожи

Skin Inflammation and Proliferation

Кожа ежедневно подвергается воздействию экзогенных стимулов. Вредные стимулы иногда приводят к травмам и/или инфекциям, что приводит к ранам, воспалительным дерматозам, старению кожи или канцерогенезу кожи. Воспаление возникает в ответ на эти повреждения нормального кожного барьера. На молекулярном уровне воспалительный ответ участвует в серии сложных путей восстановления, связанных с

  1. врожденным иммунным ответом
  2. кожной дифференцировкой
  3. восстановлением кожного барьера

-10

Первоначально при воспалительном ответе активируются кератиноциты и врожденные иммунные клетки, такие как лейкоциты (ПМН, макрофаги и лимфоциты), тучные клетки и дендритные клетки .

-11

Секретируемые цитокины, такие как ИЛ-1α, ФНО-α и ИЛ-6, индуцируют хемокины хемотаксиса, которые привлекают иммунные клетки к месту повреждения и инфекции.

-12

Активные формы кислорода (ROS) вырабатываются активированными кератиноцитами и иммунными клетками.

Иммунные клетки также секретируют эластазы и протеиназы .

Воспалительная микросреда способствует восстановлению тканей и профилактике/контролю инфекций.

Однако хемокины, вырабатываемые активированными кератиноцитами и иммунными клетками, также способны повреждать кожную ткань вблизи цели воспалительной реакции.

Лимфатическая система одна из основных , кто принимает участие в иммунногенезе кожи
Лимфатическая система одна из основных , кто принимает участие в иммунногенезе кожи

Поэтому интенсивность воспаления и время разрешения имеют решающее значение для предотвращения или, по крайней мере, ограничения повреждения нормальной кожной ткани.

Таким образом, модуляция воспаления важна для поддержания гомеостаза кожи.

Если первоначальный острый ответ не устраняет причинный фактор, то воспалительная реакция будет продолжаться, а последующее воспалительное микроокружение нарушит гомеостаз кожи.

Если дисрегуляция воспалительной реакции кожи сохраняется, возникают хронические воспалительные дерматозы, такие как АД или псориаз .

В эпидермисе метаболизм полиненасыщенных жирных кислот (ПНЖК) очень активен.

Линолевая кислота, основная 18-углеродная n-6 ПНЖК в нормальном эпидермисе, в эпидермисе метаболизируется через 15-липоксигеназный путь в основном в 13-гидроксиоктадекадиеновую кислоту, которая обладает антипролиферативными свойствами.

-14

Дефицит линолевой кислоты в рационе приводит к шелушению и зуду кожи, похожему на болезнь Альцгеймера у безволосых мышей [22].

Dietary deficiencies of unsaturated fatty acids and starch cause atopic dermatitis-like pruritus in hairless mice - PubMed

22.Fujii M., Shimazaki Y., Muto Y., Kohno S., Ohya S., Nabe T. Dietary deficiencies of unsaturated fatty acids and starch cause atopic dermatitis-like pruritus in hairless mice. Exp. Dermatol. 2015;24:108–113. doi: 10.1111/exd.12592. [DOI] [PubMed] [Google Scholar]

-15

Арахидоновая кислота, вторая основная ПНЖК в коже, является еще одним субстратом 15-липоксигеназы, с помощью которой она трансформируется в 15-гидроксиэйкозатетраеновую кислоту

Однако арахидоновая кислота в основном метаболизируется через циклооксигеназный (COX) путь в простагландины E(2), F(2α) и D(2) .

При низких концентрациях простагландины функционируют, модулируя гомеостаз кожи, тогда как при высоких концентрациях они вызывают воспаление кожи и гиперпролиферацию кератиноцитов.

Более того, плоскоклеточный рак кожи является новообразованием, которое постоянно сверхэкспрессирует COX-2 в паренхиме и мезенхиме предраковых и злокачественных поражений.

-16

Повышенные уровни простагландинов E(2) и F(2α) при предраковых и/или злокачественных эпителиальных раковых заболеваниях кожи обусловлены конститутивной регуляцией ферментов, таких как ЦОГ-2, что приводит к увеличению биосинтеза простагландинов и снижению регуляции 15-гидрокси-простагландиндегидрогеназы (15-PGDH), которая участвует в инактивации простагландинов . (про нее будет отдельная статья)

Таким образом, местное применение растительных масел, которые обеспечивают местные кожные противовоспалительные и антипролиферативные метаболиты, может служить в качестве монотерапии или в качестве дополнения к стандартным терапевтическим схемам для лечения и профилактики как воспалительных заболеваний кожи, так и актинических кератозов.

На этом часть первую заканчиваю....