Найти в Дзене

Киста челюсти

Киста челюсти – это патологическая полость в костной ткани челюстей, заполненная жидкостью или кашицеобразным содержимым, которая образуется вследствие хронического воспалительного процесса. Кисты могут развиваться в результате инфицирования корневых каналов зубов, травм, а также при нарушении развития зубных зачатков. В зависимости от причины возникновения различают несколько видов кист: 1. Радикулярная киста – возникает у верхушки корня зуба как результат хронического периодонтита. 2. Фолликулярная киста – связана с нарушением развития зубного фолликула, часто встречается возле непрорезавшихся зубов. 3. Резидуальная киста – остается после удаления зуба, корни которого были поражены хроническим воспалением. 4. Кератокиста– развивается из остатков эпителиальных клеток зубообразовательного эпителия и может рецидивировать. Клинически кисты могут долгое время протекать бессимптомно, но при увеличении размеров приводят к деформации кости, появлению свищевых ходов, болям и другим осложнения

Киста челюсти – это патологическая полость в костной ткани челюстей, заполненная жидкостью или кашицеобразным содержимым, которая образуется вследствие хронического воспалительного процесса. Кисты могут развиваться в результате инфицирования корневых каналов зубов, травм, а также при нарушении развития зубных зачатков.

В зависимости от причины возникновения различают несколько видов кист:

1. Радикулярная киста – возникает у верхушки корня зуба как результат хронического периодонтита.

2. Фолликулярная киста – связана с нарушением развития зубного фолликула, часто встречается возле непрорезавшихся зубов.

3. Резидуальная киста – остается после удаления зуба, корни которого были поражены хроническим воспалением.

4. Кератокиста– развивается из остатков эпителиальных клеток зубообразовательного эпителия и может рецидивировать.

Клинически кисты могут долгое время протекать бессимптомно, но при увеличении размеров приводят к деформации кости, появлению свищевых ходов, болям и другим осложнениям. Лечение обычно включает хирургическое удаление кисты вместе с пораженным участком кости, иногда с последующим замещением дефекта костнопластическими материалами.

Как диагностируют кисту челюсти?

Диагностика кисты челюсти основывается на комплексном подходе, который включает следующие этапы:

1. Сбор анамнеза

Врач собирает информацию о жалобах пациента, истории заболевания, наличии хронических инфекций, травмах и других факторах, которые могли бы способствовать развитию кисты.

2. Визуальный осмотр

При осмотре полости рта врач может заметить деформацию альвеолярного отростка, изменение цвета слизистой оболочки над областью поражения, наличие свища или флюктуацию (если киста крупная).

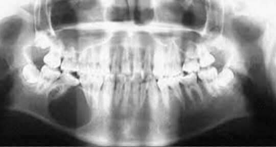
3. Рентгенологическое исследование

Это ключевой метод диагностики кист челюсти. Рентгенография позволяет увидеть очаг разрежения костной ткани, определить размеры и форму кисты, её локализацию относительно корней зубов и анатомических структур. Наиболее информативными являются панорамная рентгенограмма (ортопантомограмма), внутриротовая рентгенограмма и компьютерная томография (КТ).

· Панорамная рентгенограмма: даёт общее представление о состоянии обеих челюстей, помогает оценить расположение кисты относительно соседних зубов и анатомических образований.

· Прицельная внутриротовая рентгенограмма: используется для детального изучения конкретного участка челюсти.

· Компьютерная томография (КТ): предоставляет трёхмерное изображение, что особенно важно для оценки глубины проникновения кисты в костную ткань и определения степени разрушения окружающих тканей.

4. Лабораторные исследования

Иногда проводят биопсию содержимого кисты для гистологического анализа, чтобы исключить злокачественные новообразования и точно установить природу патологии.

5. Дифференциальная диагностика

Важно дифференцировать кисту от других заболеваний, таких как амелобластома, остеобластокластома, фиброзная дисплазия и другие опухолевые процессы.

6. Дополнительные методы

В некоторых случаях могут потребоваться дополнительные обследования, такие как магнитно-резонансная томография (МРТ) или радиоизотопное сканирование костей, чтобы получить более полную картину состояния костной ткани.

Таким образом, точная диагностика кисты челюсти требует комплексного подхода, включающего клинический осмотр, рентгенологические исследования и, при необходимости, лабораторные анализы.

Какие симптомы указывают на кисту челюсти?

Симптомы кисты челюсти могут варьироваться в зависимости от размера, локализации и стадии развития патологического процесса. На ранних стадиях киста может протекать практически бессимптомно, однако по мере роста она начинает проявляться следующими признаками:

1. Боль

Один из наиболее распространённых симптомов. Боль может быть тупой, ноющей, усиливающейся при нагрузке на зубы или при жевании. Если киста вызвана инфекцией, боль может становиться острой и пульсирующей.

2. Отёк и припухлость

Увеличение объёма мягких тканей вокруг области кисты. Отёк может быть заметен как снаружи лица, так и внутри ротовой полости.

3. Деформация челюсти

По мере увеличения кисты может происходить деформация костной ткани, что приводит к изменению контуров лица или десны.

4. Свищевой ход

При длительном течении болезни и присоединении инфекции возможно образование свищевого хода, через который выделяется гной или серозная жидкость.

5. Подвижность зубов

Киста может оказывать давление на корни зубов, вызывая их подвижность и расшатывание.

6. Изменение цвета слизистой оболочки

Над областью кисты слизистая оболочка может стать бледнее или приобрести синюшный оттенок.

7. Повышение температуры тела

Может наблюдаться при присоединении вторичной инфекции.

8. Ощущение инородного тела

Пациент может ощущать наличие объёмного образования в челюсти, особенно при больших размерах кисты.

9. Затруднение открывания рта

В случае крупных кист, расположенных вблизи сустава нижней челюсти, может возникать ограничение движений.

10. Патологическая подвижность зубов

Зубы, расположенные рядом с кистой, могут начать шататься из-за разрушения окружающей костной ткани.

Важно отметить, что многие из этих симптомов могут указывать и на другие заболевания, поэтому для точной диагностики необходимо обратиться к врачу-стоматологу.

Какие методы лечения кисты челюсти существуют?

Лечение кисты челюсти зависит от её типа, размера, локализации и общего состояния здоровья пациента. Существует два основных метода лечения: консервативный и хирургический.

Консервативный метод

Этот подход применяется редко и преимущественно при небольших кистах, когда нет выраженного разрушения костной ткани. Он заключается в следующем:

1. Цистотомия — частичное вскрытие кисты с удалением её содержимого и созданием сообщения между полостью кисты и ротовой полостью. После этого полость заполняется специальной пастой, способствующей регенерации костной ткани.

2. Медикаментозная терапия — назначение антибиотиков и противовоспалительных препаратов для борьбы с инфекцией и уменьшения воспаления.

Однако консервативный метод имеет ограниченное применение и чаще всего используется как временная мера перед хирургическим вмешательством.

Хирургический метод

Хирургическое лечение является основным методом при лечении кист челюсти. Оно может включать различные подходы в зависимости от конкретной ситуации:

1. Цистэктомия

Это полное удаление кисты вместе с капсулой. Операция проводится под местной анестезией или общим наркозом. После удаления кисты дефект костной ткани заполняют специальными биоматериалами для стимуляции регенерации кости.

2. Цистэктомия с резекцией верхушки корня зуба

Применяется в тех случаях, когда киста образовалась у верхушки корня зуба. Во время операции удаляют не только саму кисту, но и часть корня зуба, чтобы предотвратить рецидив.

3. Марсупиализация

Метод, аналогичный цистотомии, но с сохранением части капсулы кисты. Полость сообщается с ротовой полостью, и содержимое постепенно выводится наружу. Этот метод подходит для крупных кист, когда полное удаление невозможно без значительного повреждения окружающих тканей.

4. Комбинированные методы

Иногда используются комбинации различных методов, например, цистэктомию сочетают с резекцией верхней части корня зуба и последующим замещением дефекта костной тканью.

Дополнительные процедуры

После хирургического вмешательства пациенту могут назначить:

· Антибиотики для предотвращения инфекционных осложнений.

· Противовоспалительные препараты для снижения боли и отёчности.

· Регулярный контроль за процессом заживления и состоянием костной ткани.

Реабилитация

После операции пациент проходит реабилитационный период, который может включать:

· Ограничение физической активности.

· Соблюдение диеты, исключающей твёрдую пищу.

· Уход за раной и соблюдение рекомендаций врача по гигиене полости рта.

Выбор метода лечения всегда индивидуален и зависит от многих факторов, включая возраст пациента, общее состояние здоровья, размер и локализацию кисты.

Уважаемые пациенты!

Приглашаем вас посетить наш стоматологический центр «Лаки Смайл» на Таганке для лечения кисты челюсти! Мы предлагаем современные методы диагностики и лечения, обеспечивающие эффективное устранение проблемы и сохранение вашего здоровья.

Наши специалисты обладают многолетним опытом работы и используют новейшие технологии, позволяющие провести точную диагностику и выбрать оптимальный метод лечения. В нашем центре доступны все необходимые процедуры, начиная от консервативного лечения до сложных хирургических операций.

Мы гарантируем индивидуальный подход к каждому пациенту, внимательное отношение и высокий уровень сервиса. Для вашего удобства мы работаем в удобное для вас время и предоставляем комфортные условия пребывания в клинике.

Не откладывайте заботу о своем здоровье! Запишитесь на консультацию уже сегодня и получите квалифицированную помощь наших специалистов.

Более подробно о наших ценах https://ls-stom.ru/czenyi