Добавить в корзинуПозвонить
Найти в Дзене
Expert Med

Вирус бешенства. Что делать если укусило животное?

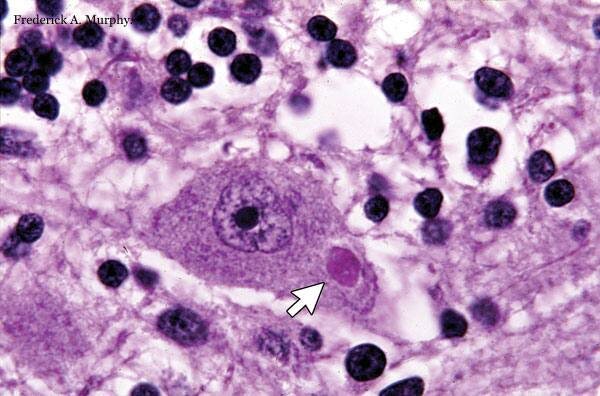
⏫На фото выше внутрицитоплазматические включения при вирусе бешенства. При постмортальной диагностике тканей головного мозга больного были обнаружены эозинофильные «включения» в цитоплазме нейронов.Несколько месяцев назад в составе небольшой туристической группы посещал пещеры, где обитают летучие мыши. Укусы мышей ранее отрицал. По своей морфологии вирус напоминает пулю, что отражено в названии семейства Rhabdoviridae (rhabdos - палочка). Род: Lyssavirus (от греч. lyssa «бешенства, ярость, гнев»). 🧬Имеет одну минус-нить РНК, выполняющую лишь наследственную функцию (только после воздействия РНК- зависимой РНК полимеразы образуется инфекционная +РНК). 🦊Человек заражается от больного животного (а животное может стать по-странному ласковым и «добрым» или, наоборот, разъярённым. Ключевое слово «странным») не только через ослюнение места укуса (именно в слюнных железах животного накапливается вирус), но и при вдыхании(!) пыли,например, в пещере где накопились выделения инфицированных л

⏫На фото выше внутрицитоплазматические включения при вирусе бешенства. При постмортальной диагностике тканей головного мозга больного были обнаружены эозинофильные «включения» в цитоплазме нейронов.Несколько месяцев назад в составе небольшой туристической группы посещал пещеры, где обитают летучие мыши. Укусы мышей ранее отрицал.

По своей морфологии вирус напоминает пулю, что отражено в названии семейства Rhabdoviridae (rhabdos - палочка). Род: Lyssavirus (от греч. lyssa «бешенства, ярость, гнев»).

🧬Имеет одну минус-нить РНК, выполняющую лишь наследственную функцию (только после воздействия РНК- зависимой РНК полимеразы образуется инфекционная +РНК).

🦊Человек заражается от больного животного (а животное может стать по-странному ласковым и «добрым» или, наоборот, разъярённым. Ключевое слово «странным») не только через ослюнение места укуса (именно в слюнных железах животного накапливается вирус), но и при вдыхании(!) пыли,например, в пещере где накопились выделения инфицированных летучих мышей - так называемое «пещерное бешенство».

🧠 Когда вирус попадает в ЦНС бешенство становится неизлечимым⛔️

Да, есть так называемый Милуокский протокол, где показано, что при введении человека в медикаментозную кому и применении противовирусных препаратов, есть возможность самоизлечения. Но % смертности от самого лечения очень высок, что делает невозможным широкое применение данной методики.

Успешный пример применения данного прокола описан у пациентки Джины Гис, которую в 15 лет укусила летучая мышь(2004 год). Родители не обращались к врачу… Спустя 1,5 месяца развились симптомы бешенства и было решено ввести пациентку в медимекаментозную кому с применением противовирусных препаратов - рибаверина(вы могли слышать о нём в лечении гепатита С😉) и амантадина. Через неделю пациентка была выведена из комы и к 30 дню анализы показали достаточное количество антител к вирусу бешенства. По оценкам, стоимость лечения превысила 800 000$…

‼️Что делать если укусило животное?

🔴Первое- обработать рану большим количеством воды с мылом, стараться не тереть место укуса. Хирургическое лечение (сшивание краев раны, иссечение тканей) в первые дни заболевания не проводится ввиду опасности занесения вируса глубже в ткани- цель вируса добраться по аксонам периферической нервной системы в ЦНС.

🔴Второе- как можно быстрее начать активно-пассивную профилактику путём введения антирабической сыворотки и инактивированной вакцины КОКАВ. Наблюдать, если это возможно, за животным 7 дней - если оно не погибло, профилактику прекращают.

А ещё лучше минимизировать изначальный риск- не кормить животных с рук (даже в парках!), вакцинироваться инактивированной вакциной если есть частый контакт с дикими животными, и, конечно, вовремя вакцинировать своих домашних любимцев🐱🐶

Бесплатные материалы для студентов медицинских ВУЗов смотрите по ссылке.