Добавить в корзинуПозвонить
Найти в Дзене
«Орловские новости»

Проезжавшему через Орел белгородцу удалили редкую опухоль

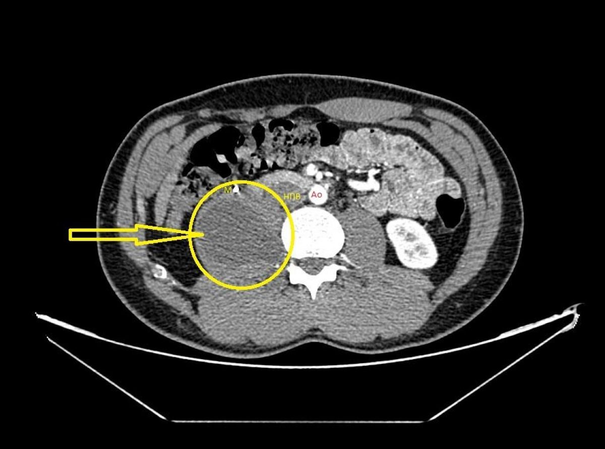
В Орловской клинической больнице провели редкую операцию белгородцу, который был проездом в Орле. Об этом сообщили в медучреждении. Медики провели оперативное лечение редкой опухоли забрюшинного пространства – гангионевромы вегетативной нервной системы. Молодой человек страдал от болей в правой поясничной области. Сначала в Белгороде у него выявили камень мочеточника и опухоль брюшной полости за кишечником, за мочеточником, нижней полой веной. Она лежала на позвоночнике. Молодому человеку в Белгороде провели стентирование мочеточника. Далее он поехал в Москву, однако парню отказали в оперативном лечении в Москве. Пока парень был в Орле, ему провели экстренную операцию. Опухоль полностью удалена. Белгородца выписали в удовлетворительном состоянии.

В Орловской клинической больнице провели редкую операцию белгородцу, который был проездом в Орле. Об этом сообщили в медучреждении.

Медики провели оперативное лечение редкой опухоли забрюшинного пространства – гангионевромы вегетативной нервной системы. Молодой человек страдал от болей в правой поясничной области.

Сначала в Белгороде у него выявили камень мочеточника и опухоль брюшной полости за кишечником, за мочеточником, нижней полой веной. Она лежала на позвоночнике.

Молодому человеку в Белгороде провели стентирование мочеточника. Далее он поехал в Москву, однако парню отказали в оперативном лечении в Москве.

Пока парень был в Орле, ему провели экстренную операцию. Опухоль полностью удалена.

Белгородца выписали в удовлетворительном состоянии.