Добавить в корзинуПозвонить
Найти в Дзене
Орто-Артель

ИСПРАВЛЕНИЕ ПРИКУСА. С УДАЛЕНИЕМ ЗУБОВ ИЛИ БЕЗ? (часть 2)

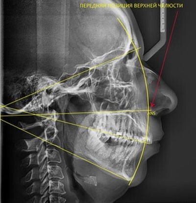
2. Если у Вас сильно выступают вперед верхние зубы. И причина этому – переднее положение верхней челюсти.
Встречается такое не так часто. Но встречается. И большинство ортодонтов, для достижения смыкания зубных рядов в переднее-заднем направлении ( в сагиттальной плоскости), пытаясь сократить длину верхнего зубного ряда, "приговаривают" два верхних зуба. Чаще «четверки».
Чем (какими "ловушками" и осложнениями) чреват такой подход расскажу в отдельной статье. А пока предложу возможную альтернативу... Здесь надо разобраться в причине почему верхняя челюсть стоит кпереди. Если это проблема ее размера (она кпереди, потому что просто большая, длинная), то это одно. И тогда удаление верхних зубов может быть и оправдано. Может быть... но не факт. И не факт, что именно "четверки" надо удалять. А если верхняя челюсть нормального размера, но смещена кпереди? Здесь я бы показал бы пациента остеопату. И посмотрел бы на его череп и позвоночник. Позиция челюстей "железобетонно" завязана с позицией ш

2. Если у Вас сильно выступают вперед верхние зубы. И причина этому – переднее положение верхней челюсти.
Встречается такое не так часто. Но встречается. И большинство ортодонтов, для достижения смыкания зубных рядов в переднее-заднем направлении ( в сагиттальной плоскости), пытаясь сократить длину верхнего зубного ряда, "приговаривают" два верхних зуба. Чаще «четверки».
Чем (какими "ловушками" и осложнениями) чреват такой подход расскажу в отдельной статье. А пока предложу возможную альтернативу...

Здесь надо разобраться в причине почему верхняя челюсть стоит кпереди. Если это проблема ее размера (она кпереди, потому что просто большая, длинная), то это одно. И тогда удаление верхних зубов может быть и оправдано. Может быть... но не факт. И не факт, что именно "четверки" надо удалять.

Передняя позиция (антепозиция) верхней челюсти.
Передняя позиция (антепозиция) верхней челюсти.

А если верхняя челюсть нормального размера, но смещена кпереди? Здесь я бы показал бы пациента остеопату. И посмотрел бы на его череп и позвоночник. Позиция челюстей "железобетонно" завязана с позицией шейных позвонков. И коррекция проблем позвоночника (в частности его шейного отдела) может помочь "вернуть" верхнюю челюсть на место. А стало быть поможет избавит пациента от удаления зубов.

3. Если «виновата» нижняя челюсть, но выдвинуть ее не представляется возможным. Или же, это не целесообразно
Выдвигаем – а профиль лица проигрывает в эстетике. Тогда уж лучше зубы удалить… Или пациент уже взрослый, "нерастущий". Куда там чего выдвигать? Что выросло, то выросло...
Так думает абсолютное большинство ортодонтов. И опять же заблуждаются.
Просто здесь нужно смотреть не только на зубы. А на нижнюю челюсть. Она же виновата по условиям, она же кзади расположена, она же создает "разрыв" между верхними и нижними зубами.

Так вот, если нижняя челюсть, расположенная более кзади от нормы, имеет нормальный размер, ее однозначно можно выставить вперед. До нормы (или почти до нормы). В любом возрасте. И опять же, без всякого удаления верхних зубов (зубы то здесь при чем?).

Тоже самое, если нижняя челюсть находится кзади, но большая по размеру. Именно в этом случае ортодонты считают ее выдвижение вперед нецелесообразным (профиль страдает из за увеличения высоты нижней трети лица). Но здесь, во первых, не стоит путать проблемы позиции и проблемы размера. Это разные проблемы по сути. И решаются они по разному. А, во вторых, придется выбирать, что для пациента важнее (какое зло меньше)... Нижняя челюсть любого размера, находящаяся кзади от нормы - это проблема очень разноплановая. И может дать клинику (проявления) далеко не стоматологического уровня. И на уровне ВНЧС (височно-нижнечелюстного сустава). И на уровне позвоночника (особенно шейного отдела). И на неврологическом уровне. Да и еще много всякого-разного... Поэтому нижнюю челюсть всегда (если она кзади) лучше перепозиционировать кпереди, избавляя пациента от таких проблем. Вернее их (проблемы эти) предупреждая. Ну а если наслаивается проблема размера (большая нижняя челюсть), то как любая проблема размера - она может быть решена хирургически. Вопрос только: а надо ли? Может с профилем и не так все плохо, что нужно оперировать? Ну да это дело вкуса...

Хуже если нижняя челюсть и кзади, и маленькая. Тогда возможно хирургия. Но и то не всегда. Но, опять же, хирургия не в виде удаления зубов (ведь это челюсть маленькая, челюсть виновата, при чем здесь зубы?). А в виде конструктивной операции по увеличению размера челюсти.

ПРЕДЫДУЩАЯ СТАТЬЯ (ч.1) ЗДЕСЬ:

ПРОДОЛЖЕНИЕ СТАТЬИ (ч.3) ЗДЕСЬ:

-2

Проект холистической стоматологии "Орто-Артель"

🏥 г. Москва, проспект Мира, д. 75, стр. 1

☎️ +7 (495) 128-11-74

➜ Наш сайт: https://www.ort-art.ru/

НАША ЦЕЛЬ НЕ ЛЕЧИТЬ, А ВЫЛЕЧИТЬ!

Рады видеть Вас в наших соцсетях:

➜ VK: https://vk.com/ortoartel

➜ Телеграмм: https://t.me/ortoart

➜ Дзен: https://dzen.ru/ortart

➜Facebook: https://www.facebook.com/ORTOARTEL/

➜Instagram: https://www.instagram.com/ortoartel/

➜YouTube: https://www.youtube.com/@ort-art

Статья взята с личного ресурса ортодонта Филатова:

Удалять или не удалять? (продолжение)