Добавить в корзинуПозвонить
Найти в Дзене
Белка в позе

Воскресенье дежурное(начало)

Здравствуйте🤝 Утром приемник был почти пустой, только в углу на каталке спал молодой человек с забинтованной головой. Его с женой привезли под утро , с одного клуба, где и произошел конфликт между ними и такими же перепраздновавшими. Жена , чуть более адекватная, прошла рентген, а муж не дал снять череп, два раза завозили , но он закрывал голову капюшоном и лежал упорно на животе. В общем , жена покинула больницу, оставив спать в приёмнике невменяемого муженька. ************************ Потом шли пациенты со сломанными косточками кистей, все , как один поскользнулись. И заходит пациентка, она была ночью в четверг, после падения на катке. Получила компрессионный перелом, выписана по месту жительства. –А сегодня зачем пожаловали? –Да вот болит , сил нет терпеть, а доктор сказал , что ничего нет! –Какой вам доктор сказал, что ничего нет? У вас описан снимок , что компрессионный перелом L2. –Как это перелом?? Мне сказали , что все цело, я думала , что почки отбила. Стоим , молчим , что

Здравствуйте🤝

Утром приемник был почти пустой, только в углу на каталке спал молодой человек с забинтованной головой.

Его с женой привезли под утро , с одного клуба, где и произошел конфликт между ними и такими же перепраздновавшими.

Жена , чуть более адекватная, прошла рентген, а муж не дал снять череп, два раза завозили , но он закрывал голову капюшоном и лежал упорно на животе.

В общем , жена покинула больницу, оставив спать в приёмнике невменяемого муженька.

************************

Потом шли пациенты со сломанными косточками кистей, все , как один поскользнулись.

И заходит пациентка, она была ночью в четверг, после падения на катке. Получила компрессионный перелом, выписана по месту жительства.

–А сегодня зачем пожаловали?

–Да вот болит , сил нет терпеть, а доктор сказал , что ничего нет!

–Какой вам доктор сказал, что ничего нет? У вас описан снимок , что компрессионный перелом L2.

–Как это перелом?? Мне сказали , что все цело, я думала , что почки отбила.

Стоим , молчим , что тут скажешь?

Человек и знать не знает про перелом , гарцует по квартире , как ни в чем не бывало, а должен лежать , как минимум.

Конечно , в три часа ночи заспанный врач-нейрохирург мог и пропустить патологию.

Если пациентка заморочится , то легко докажет, что имела место быть халатность. Но , вроде сама женщина -не вредная, а там , как повезет.

Сняли еще раз ПОП , ГОП и дополнительно ШОП и ребра.Сейчас день , не должны пропустить травму.

*********************

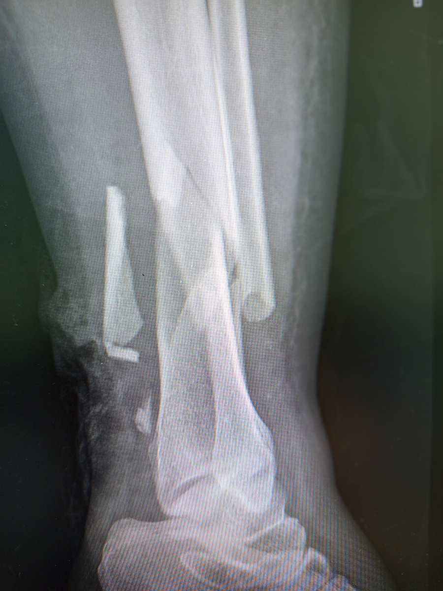
Больше всего не повезло пациентке с красивыми именем Анника.

Плачущая женщина так и сказала , что не помнит, где получила травму, потому что была пьяная.

Открытый перелом голени, с как попало накрученным пропитанным бинтом.

–У нее Инфекция, –шепнула нам санитарка, занесшая направление.

А , понятно, почему заморачиваться не захотели.

Пришлось кассету обматывать пакетом , и снимать подложив кассету под рентгенопрозрачный матрас.

Под непрерывный плач женщины , кое- как сняли две проекции.

–Что там? Я ходить буду?Гипс надо ?– всхлипывая , спрашивает она.

-2
-3

Ну, думаю ,гипс тут мало чем поможет.Как так упала? Останется тайной, ибо пациентка не помнит.

Потом пришлось включать кварц , на пол часа , как полагается. А не на 10 минут, ввиду скопившейся очереди.

Берегите себя !