Найти в Дзене
4pda.to

Учёные составили «клеточный атлас» человека [ВИДЕО]

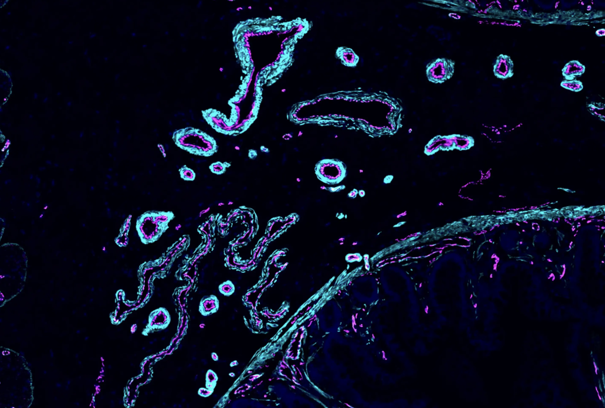
Восемь лет назад консорциум Human Cell Atlas (HCA) поставил цель — создать карту всего человеческого тела, состоящего из 37,2 триллиона клеток. Теперь учёные сообщили, что первый черновик проекта уже близок к завершению. Авторы инициативы показали впечатляющие изображения, отражающие годы кропотливой работы и огромные усилия, вложенные в создание в прямом смысле революционного «клеточного атласа». В дополнение к исследованиям костей черепа, команды сосредоточились на изучении суставов, пищеварительной системы, лёгких и мозга. Группа из более чем 30 учёных создала карту развития костей у плода, подробно демонстрируя уникальное формирование черепа — без предварительного каркаса. Главной целью является углублённое понимание механизмов развития заболеваний и эффективности терапии, что открывает новые перспективы в медицине. Благодаря технологиям, включая ИИ и машинное обучение, проект значительно развился с момента его старта в 2016 году. Инициатива представляет собой значительный прогресс
   Учёные составили «клеточный атлас» человека [ВИДЕО]
Учёные составили «клеточный атлас» человека [ВИДЕО]

Восемь лет назад консорциум Human Cell Atlas (HCA) поставил цель — создать карту всего человеческого тела, состоящего из 37,2 триллиона клеток. Теперь учёные сообщили, что первый черновик проекта уже близок к завершению.

-2

Авторы инициативы показали впечатляющие изображения, отражающие годы кропотливой работы и огромные усилия, вложенные в создание в прямом смысле революционного «клеточного атласа». В дополнение к исследованиям костей черепа, команды сосредоточились на изучении суставов, пищеварительной системы, лёгких и мозга.

Группа из более чем 30 учёных создала карту развития костей у плода, подробно демонстрируя уникальное формирование черепа — без предварительного каркаса.

Главной целью является углублённое понимание механизмов развития заболеваний и эффективности терапии, что открывает новые перспективы в медицине. Благодаря технологиям, включая ИИ и машинное обучение, проект значительно развился с момента его старта в 2016 году.

Инициатива представляет собой значительный прогресс в понимании клеточного поведения, объясняя, почему одни методы лечения эффективны, а другие — нет. Теперь проект помогает разрабатывать персонализированные подходы, учитывающие клеточное разнообразие. Ожидается, что эти достижения станут основой для более эффективных исследований и разработки лекарств в будущем.