Добавить в корзинуПозвонить
Найти в Дзене

Множественные гемангиомы печени

Гемангиома печени — это доброкачественная сосудистая опухоль.  Гемангиомы выявляют у 2–4 % взрослых, чаще в 30–50 лет. Вероятно, это связано с тем, что такие пациенты чаще проходят скрининговые ультразвуковые обследования. Клинически гемангиома не проявляется и в большинстве случаев является случайной находкой при ультразвуковом исследовании. По гистологическому строению различают: капиллярные и кавернозные гемангиомы. Капиллярная гемангиома состоит из мелких полостей, заполненных кровью. Как правило, размер опухоли не превышает 2-3 см. Она растёт медленно и не вызывает явных изменений в структуре печени. Контур гемангиомы чаще ровный, может быть бугристый, но при этом чёткий, хорошо отграничен от окружающей ткани печени. Кавернозная гемангиома наряду с капиллярным компонентом содержит крупные полости, из-за чего ее структура всегда выглядит неоднородной. Пациент 35 лет, обратился для ультразвукового исследования печени. Жалоб не предъявляет — на прием заставила прийти его жена, обнару
Рис. 00. Изображение из свободного доступа.
Рис. 00. Изображение из свободного доступа.

Гемангиома печени — это доброкачественная сосудистая опухоль.  Гемангиомы выявляют у 2–4 % взрослых, чаще в 30–50 лет. Вероятно, это связано с тем, что такие пациенты чаще проходят скрининговые ультразвуковые обследования. Клинически гемангиома не проявляется и в большинстве случаев является случайной находкой при ультразвуковом исследовании.

По гистологическому строению различают: капиллярные и кавернозные гемангиомы. Капиллярная гемангиома состоит из мелких полостей, заполненных кровью. Как правило, размер опухоли не превышает 2-3 см. Она растёт медленно и не вызывает явных изменений в структуре печени. Контур гемангиомы чаще ровный, может быть бугристый, но при этом чёткий, хорошо отграничен от окружающей ткани печени. Кавернозная гемангиома наряду с капиллярным компонентом содержит крупные полости, из-за чего ее структура всегда выглядит неоднородной.

Пациент 35 лет, обратился для ультразвукового исследования печени. Жалоб не предъявляет — на прием заставила прийти его жена, обнаружившая, что ранее «на исследовании у него что-то нашли в печени».

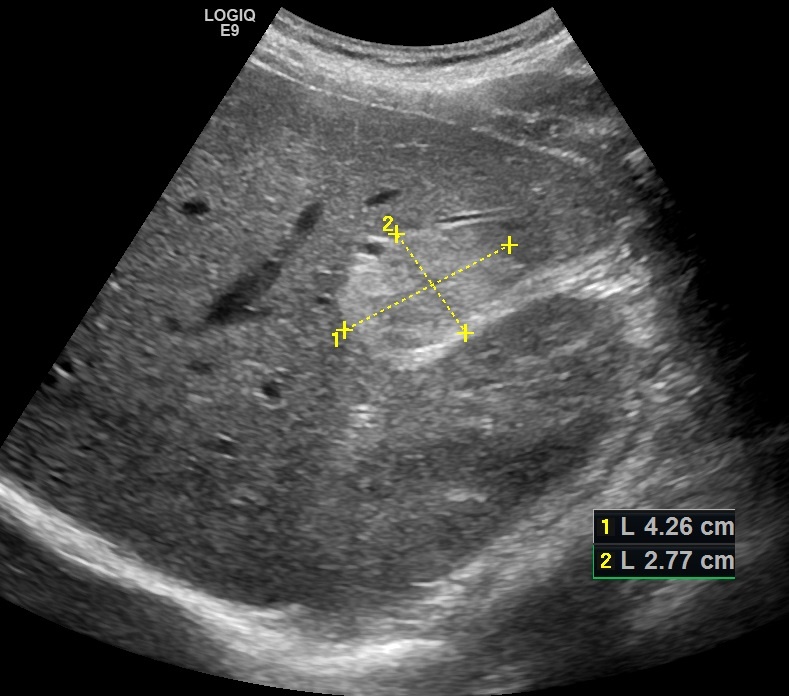
При ультразвуковом исследовании по висцеральной поверхности правой доли, вплотную к контуру правой почки определяется крупное гиперэхогенное образование с четкими неровными бугристыми контурами.

Рис. 01. Кавернозная гемангиома печени.
Рис. 01. Кавернозная гемангиома печени.

Рис. 02. Кавернозная гемангиома печени
Рис. 02. Кавернозная гемангиома печени

Рис. 03. Кавернозная гемангиома печени
Рис. 03. Кавернозная гемангиома печени

Структура образования выражено неоднородная, с множественными участками пониженной эхогенности.

Видео 04. Кавернозная и несколько капиллярных гемангиом печени.

Подобная неоднородность структуры гемангиомы свидетельствует о наличии более крупных полостей в ее структуре, т. е. эту гемангиому следует расценивать как кавернозную. В остальных отделах печени определяются несколько более мелких гиперэхогенных образований однородной структуры — капиллярные гемангиомы.

Рис. 05. Капиллярная гемангиома в печени
Рис. 05. Капиллярная гемангиома в печени

Рис. 06. Капиллярная гемангиома в печени
Рис. 06. Капиллярная гемангиома в печени

Рис. 07. Капиллярная гемангиома в печени
Рис. 07. Капиллярная гемангиома в печени

Весьма типичным является расположение одной из капиллярных гемангиом — вплотную к стенке вены. Гемангиомы — сосудистые опухоли и имеют тропность к сосудистой стенке.

Видео 08. Капиллярная гемангиома и печеночная вена

Наибольший интерес в данном клиническом наблюдении представляет крупная кавернозная гемангиома. Учитывая ее близость к передне-латеральным отделам правой доли, была предпринята попытка лоцировать это образование через межреберье, в положении пациента на левом боку. Гемангиома визуализируется отчетливо. Ясно видны более темные участки в ее структуре.

Рис. 09. Кавернозная гемангиома. Лоцирование через межреберье.
Рис. 09. Кавернозная гемангиома. Лоцирование через межреберье.

Видео 10. Кавернозная гемангиома. Лоцирование через межреберье.

Как правило, гемангиомы аваскулярны при ЦДК, что объясняется очень медленной скоростью течения крови в ее сосудах. Но у крупных гемангиом иногда удаётся лоцировать небольшой кровоток.

Рис. 11. Исследование в режиме ЦДК. Виден единичный сосуд.
Рис. 11. Исследование в режиме ЦДК. Виден единичный сосуд.

Видео 12. Исследование в режиме ЦДК. Виден единичный сосуд.

С учетом множественного характера поражения и крупных размеров образования в правой доле, пациенту рекомендовано дообследование — КТ с внутривенным контрастированием или МРТ.