Добавить в корзинуПозвонить
Найти в Дзене
Белка в позе

Дежурство 30.03.25

Здравствуйте🤝 Все-таки к одиннадцати идти , это не в 7 утра , хотя сейчас в 7 уже рассветает. Нога почти не болит, но я на ночь принимала НПВС внутрь , на всякий случай, поэтому уже не хромаю, но и быстро идти опасаюсь Видно , что народ толком не проснулся , активность не развернул , в приемнике относительно спокойно. Скинула куртку , переобулась и сразу пошла в кабинет работать. Граждане шли , типа меня , получившие травму в пятницу и субботу, но , перед рабочим днем решили- таки убедиться ,больны они настолько , чтобы уйти на больничный или можно смело идти на работу. У всех , к счастью , только ушибы, а с двенадцати уже пошли плотненько. И детей приводили, конечно же на снимки костей черепа. И уже травмированные шли. Вот , женщина, 35 лет, об диван ударилась, пальцы прям в разные стороны "смотрят". Просто загипсовали , сделав репозицию , прислали на "контрольные" снимки. Мужчина пришел , тоже на снимок стопы , сломал пятую плюсневую кость. –Тоже об диван ударились? –Почти, об стен

Здравствуйте🤝

Все-таки к одиннадцати идти , это не в 7 утра , хотя сейчас в 7 уже рассветает.

Нога почти не болит, но я на ночь принимала НПВС внутрь , на всякий случай, поэтому уже не хромаю, но и быстро идти опасаюсь

Видно , что народ толком не проснулся , активность не развернул , в приемнике относительно спокойно.

Скинула куртку , переобулась и сразу пошла в кабинет работать.

Граждане шли , типа меня , получившие травму в пятницу и субботу, но , перед рабочим днем решили- таки убедиться ,больны они настолько , чтобы уйти на больничный или можно смело идти на работу.

У всех , к счастью , только ушибы, а с двенадцати уже пошли плотненько. И детей приводили, конечно же на снимки костей черепа.

И уже травмированные шли. Вот , женщина, 35 лет, об диван ударилась, пальцы прям в разные стороны "смотрят".

-2

Просто загипсовали , сделав репозицию , прислали на "контрольные" снимки.

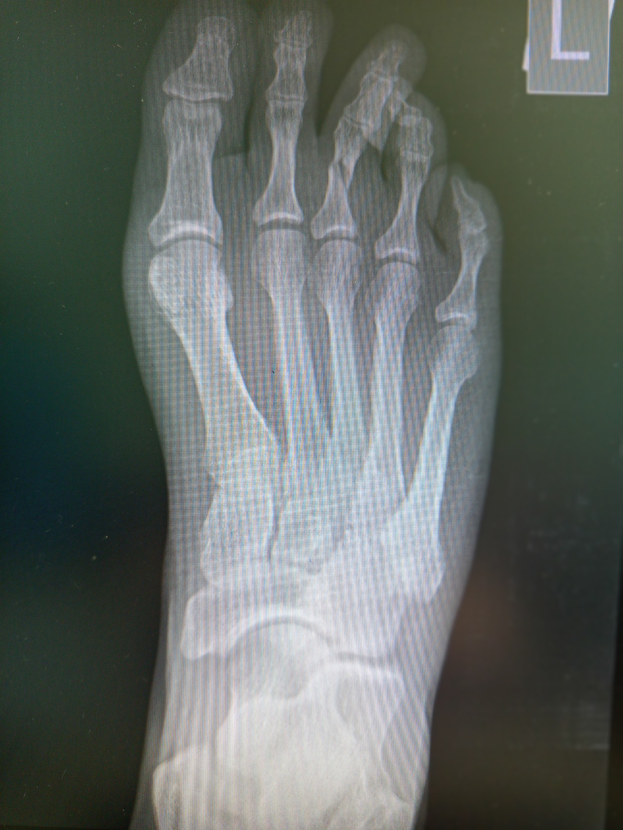
Мужчина пришел , тоже на снимок стопы , сломал пятую плюсневую кость.

–Тоже об диван ударились?

–Почти, об стену.

***********************

Еще мужчина пришел на снимок голеностопа.

–Где повредились?

–Со стула спрыгнул неловко.

–На стуле что делали , стих деду морозу читали?

–Нет, –смеется , – откос ремонтировал.

Но , не сломал , а просто потянул.

Не истребима у народа любовь к использованию стульев не по назначению.

**********************

Завезли каталку , пациентка, 74 года , сопровождают дочь и муж.

Проходит по сочетанной травме, назначили снимать череп, органы грудной клетки, грудной отдел позвоночника, поясничный , и кисть.

На стол ее переложили, делаю укладку на прямой снимок, пациентка начинает жаловаться на самочувствие.

–А что с вам случилось?

–Не помню.

Снимаю прямую проекцию. Отправляю снимок в проявку, а тем временем выполняю укладку на боковую проекцию, беру за голову пациентку и понимаю , что что-то не так с черепом. Ощущение , как будто кожа двигается. Пошла нажать кнопку на экспонометре, смотрю на проявившийся снимок прямой проекции.

-3

Выбегаю в процедурную, пациентка "грузится" лежит.

Быстро отсылаю снимки, и посылаю санитарку в приемник , уточнить , нужно ли ее снимать дальше.

–Не надо ,–скомандовал врач, –снимайте со стола , на КТ повезем.

Пока перекладывали пациентку со стола обратно на каталку , поинтересовались , что же случилось.

Падение со второго этажа в частном доме. Было не доделано ограждение , и мама пошла посмотреть , и упала прям вниз головой.

Серьезная травма.

–Скажите, –волнуется дочь , что с ней?

–Все вопросы к лечащему врачу , сейчас он сказал , что на КТ повезут вашу маму.

КТшники тем временем , катают и катают пациентов. Плановых нет , всех на завтра , а криминальных и экстренных травм –навалом.

********************

Пришла пациентка , 30 лет , лицо все в гематомах, челюсть тоже.

–Муж избил, –хмуро пояснила она.

Делаю снимки черепа с захватом челюсти , на всякий случай.

Так и есть , с двух сторон перелом.

-4

Вот , еще одна пациентка после нас пойдёт на КТ.

И еще одна пациентка, 40 лет , тоже с жалобой , что муж избил. Но у нее гематомы только в области спины.

Драчливые мужики какие-то, а все потому что выпивши были.

Да еще же и весна , "обостряются" многие.

**********************

Парень , 16 лет , сбит на пешеходном переходе.

Назначили только череп и коленный сустав, по рентгену:без особенностей , но и эта каталка встала в очередь в кабинет КТ.

КТшники еще обедать не приходили, не выходят из кабинета.

**********************

Приходит мужчина 46 лет на снимок стопы, пальцы отсутствуют.

–Что со стопой?

–Пальцы отморозил, давно , по пьяни .

-5

Только плюсневые кости оставили.

************************

Кстати , себе снимок сделала , конечно же , ничего у меня не сломано, да оно и так было понятно , так что работать мне не переработать)

Еще даже обратный отсчет от 24 часов не начался.

Как у вас выходной проходит или рабочий , кому не повезло?