Добавить в корзинуПозвонить
Найти в Дзене

МРТ-киста верхнечелюстной пазухи

Киста верхнечелюстной (гайморовой) пазухи – это доброкачественное образование, представляющее собой полость с жидкостью, выстланную эпителием. Она образуется из-за закупорки выводного протока железы слизистой оболочки пазухи. Часто киста протекает бессимптомно и обнаруживается случайно на рентгене или КТ. При увеличении могут появиться: После удаления рецидивы редки, но важно устранить причину (лечить хронический синусит, исправлять анатомические дефекты). В нижней стенке левой в/ч пазухи визуализируется киста размером 24х16мм,гомогенного гиперинтенсивного МР-сигнала на Т2, с четким полуокруглым контуром. Утолщение слизистой правой в/ч пазухи. Категория годности по ст.10(Доброкачественные новообразования (кроме доброкачественных новообразований нервной системы и мозговых оболочек), новообразования in situ:),в-А2(годен к в/сл.),также при данном заболевании может использоваться статья 49в-Б3(годен к в/сл. с незначительными ограничениями),при наличии вышеописанных жалоб, без наличия зна
Оглавление

Киста верхнечелюстной (гайморовой) пазухи – это доброкачественное образование, представляющее собой полость с жидкостью, выстланную эпителием. Она образуется из-за закупорки выводного протока железы слизистой оболочки пазухи.

Причины возникновения:

  • Хронические воспаления (гайморит, синусит).
  • Аллергические реакции.
  • Анатомические особенности (искривление носовой перегородки, узкие соустья пазух).
  • Травмы или стоматологические вмешательства (одонтогенные кисты).

Симптомы:

Часто киста протекает бессимптомно и обнаруживается случайно на рентгене или КТ. При увеличении могут появиться:

  • Заложенность носа, дискомфорт в области пазухи.
  • Головная боль, чувство тяжести в верхней челюсти.
  • Периодические выделения из носа.
  • Осложнения: нагноение кисты, хронический синусит.

Диагностика:

  1. Рентген пазух – может показать округлое затемнение.
  2. КТ или МРТ – более точные методы, определяют размер и расположение.
  3. Эндоскопия пазухи – позволяет визуализировать кисту.

Лечение:

  • Бессимптомная киста – наблюдение, контроль раз в год.
  • При симптомах или росте – хирургическое удаление:
    Эндоскопическая операция (минимально травматичная, через нос).
    Классическая гайморотомия (через разрез под губой) – реже, при больших или осложнённых кистах.
  • Если киста одонтогенная (связана с зубом), требуется лечение у стоматолога.

Прогноз:

После удаления рецидивы редки, но важно устранить причину (лечить хронический синусит, исправлять анатомические дефекты).

-2
-3
-4

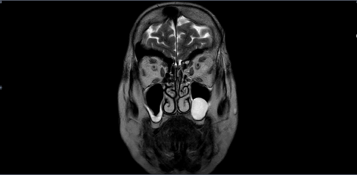
В нижней стенке левой в/ч пазухи визуализируется киста размером 24х16мм,гомогенного гиперинтенсивного МР-сигнала на Т2, с четким полуокруглым контуром. Утолщение слизистой правой в/ч пазухи.

Категория годности по ст.10(Доброкачественные новообразования (кроме доброкачественных новообразований нервной системы и мозговых оболочек), новообразования in situ:),в-А2(годен к в/сл.),также при данном заболевании может использоваться статья 49в-Б3(годен к в/сл. с незначительными ограничениями),при наличии вышеописанных жалоб, без наличия значительных осложнений(нагноение кисты) .

https://t.me/MME_SurgeryRadiolodgy

https://vk.com/club223629464

https://boosty.to/mme_surgery_radiology