Добавить в корзинуПозвонить
Найти в Дзене

Тайный враг Мурки: как обычный кашель оказался пневмонией. История от ветврача

Когда в кабинет вошли взволнованные владельцы с пушистой серой кошкой на руках, я сразу обратила внимание на ее дыхание – прерывистое, с легким хрипом. Мурка, восьмилетняя британка, выглядела уставшей, хотя в остальном казалась вполне здоровой: шерсть блестела, глаза были ясными, аппетит в норме. Но ее хозяева, рассказали, что уже несколько месяцев их питомицу мучает странный кашель. «Сначала мы думали, что она просто подавилась шерстью, – объяснила хозяйка. – Кашель был редким, раз в неделю, потом участился. В последнее время она кашляет почти каждый день, особенно ночью». Муж хозяйки добавил, что ветеринар в их районе осматривал Мурку пару месяцев назад, но ничего серьезного не нашел – посоветовал витамины и мальт-пасту для вывода шерсти. Однако кашель не проходил, и они решили обратиться ко мне. Я прослушала легкие Мурки и сразу заметила нехарактерные хрипы в нижних долях. Это не было похоже на обычный комок шерсти или легкую простуду. Я предложила сделать рентген, чтобы исключить с

Когда в кабинет вошли взволнованные владельцы с пушистой серой кошкой на руках, я сразу обратила внимание на ее дыхание – прерывистое, с легким хрипом. Мурка, восьмилетняя британка, выглядела уставшей, хотя в остальном казалась вполне здоровой: шерсть блестела, глаза были ясными, аппетит в норме. Но ее хозяева, рассказали, что уже несколько месяцев их питомицу мучает странный кашель.

«Сначала мы думали, что она просто подавилась шерстью, – объяснила хозяйка. – Кашель был редким, раз в неделю, потом участился. В последнее время она кашляет почти каждый день, особенно ночью». Муж хозяйки добавил, что ветеринар в их районе осматривал Мурку пару месяцев назад, но ничего серьезного не нашел – посоветовал витамины и мальт-пасту для вывода шерсти. Однако кашель не проходил, и они решили обратиться ко мне.

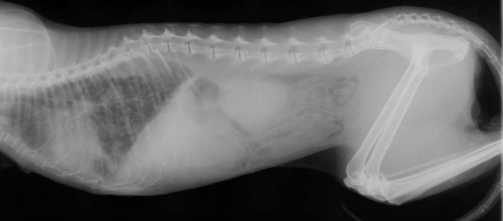
Я прослушала легкие Мурки и сразу заметила нехарактерные хрипы в нижних долях. Это не было похоже на обычный комок шерсти или легкую простуду. Я предложила сделать рентген, чтобы исключить серьезные патологии. Когда я обернулась, чтобы посмотреть на то, получился ли снимок, то картина сразу стала ясной: там были затемнения в легких, характерные для пневмонии. Вот даже на расстоянии в пару метров они были видны.

Это стало неожиданностью для владельцев – они не понимали, как кошка могла заболеть воспалением легких, если не было ни температуры, ни явной слабости. Да и сидела она у них дома, даже не выходила на балкон. Но пневмония у кошек часто протекает скрыто: они могут месяцами кашлять, а владельцы списывают это на «что-то не то съела».

Смотреть на легкие - они находятся слева, чернота - легикие, а серый фон - признаки пневмонии
Смотреть на легкие - они находятся слева, чернота - легикие, а серый фон - признаки пневмонии

Я назначила Мурке курс антибиотиков, противовоспалительные препараты и ингаляции для облегчения дыхания. Объяснила владельцам, что лечение нужно проводить строго по схеме, даже если симптомы начнут уходить раньше.

Через две недели Мурка снова пришла на прием. Кашель стал реже, но полностью не исчез – особенно по утрам кошка все еще покашливала. Владельцы в целом были рады такому исходу, но просили пересмотреть подход. Я добавила муколитики для лучшего отхождения мокроты.

«А если это не поможет?» – спросил владелец с тревогой. Я успокоила его: иногда пневмония требует долгой терапии, особенно если процесс хронический. Главное – не бросать лечение при первых улучшениях.

Еще через две недели я позвонила владельцам, чтобы узнать о состоянии Мурки. Владелица уверила меня, что через 5 дней после повторного визита кошка перестала кашлять совсем. Она играет, ест, спит без хрипов и других признаков болезни.

Я попросила их прийти на контрольный рентген через месяц, чтобы убедиться, что воспаление полностью прошло.

Эта история – хороший пример того, как казалось бы безобидный симптом может оказаться серьезной болезнью. Кашель у кошек – это не всегда «просто шерсть». Он может сигнализировать о пневмонии, астме, сердечных проблемах или даже опухолях. Если ваш питомец кашляет дольше недели – не списывайте это на пустяк. Лучше перестраховаться и сделать рентген, чем пропустить опасное заболевание.

Сейчас Мурка чувствует себя хорошо, но я попросила ее владельцев внимательно следить за любыми изменениями в ее состоянии. Ведь здоровье наших питомцев – в наших руках.