Добавить в корзинуПозвонить
Найти в Дзене
Татар-информ

Врачи РКБ достали из бронхов мужчины зубную коронку

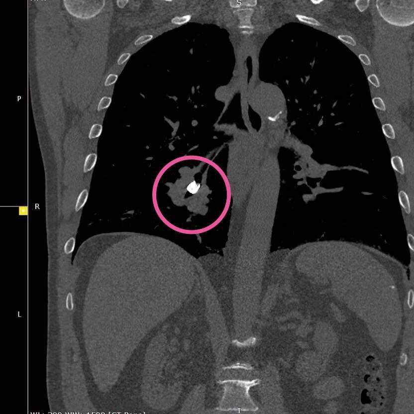
Автор: Роман Баданов Зубную коронку из бронхов 58-летнего мужчины извлекли врачи РКБ Татарстана. Пациент случайно вдохнул протез во сне. Об этом сообщили в пресс-службе больницы. Спустя какое-то время после вдыхания мужчина начал жаловаться на кашель с мокротой. Тогда он обратился в поликлинику по месту жительства. Была проведена компьютерная томография органов грудной клетки. В бронхах обнаружилась зубная коронка. Мужчину госпитализировали в отделение торакальной хирургии №1 РКБ. Команда докторов из торакальных хирургов, бронхолога и анестезиолога-реаниматолога под общей анестезией извлекла инородное тело с помощью эндоскопа. Мужчина вернулся домой уже через пару дней.

Автор: Роман Баданов

Зубную коронку из бронхов 58-летнего мужчины извлекли врачи РКБ Татарстана. Пациент случайно вдохнул протез во сне. Об этом сообщили в пресс-службе больницы.

Спустя какое-то время после вдыхания мужчина начал жаловаться на кашель с мокротой. Тогда он обратился в поликлинику по месту жительства.

Фото: РКБ Татарстана
Фото: РКБ Татарстана

Была проведена компьютерная томография органов грудной клетки. В бронхах обнаружилась зубная коронка. Мужчину госпитализировали в отделение торакальной хирургии №1 РКБ.

Команда докторов из торакальных хирургов, бронхолога и анестезиолога-реаниматолога под общей анестезией извлекла инородное тело с помощью эндоскопа. Мужчина вернулся домой уже через пару дней.

Фото: РКБ Татарстана
Фото: РКБ Татарстана