Добавить в корзинуПозвонить
Найти в Дзене

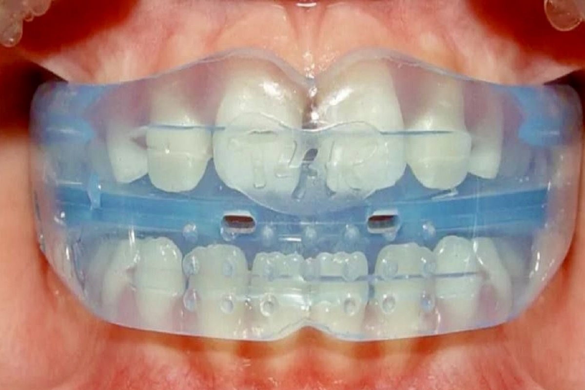
В Великом Новгороде изготовили профилактический стоматологический раствор

В Новгородском государственном университете была создана уникальная разработка – профилактический стоматологический раствор. Этот инновационный продукт имеет огромное значение для предотвращения и лечения стоматологических заболеваний. Например, регулярное использование раствора в качестве ополаскивателя способно остановить развитие кариеса на ранних стадиях, сообщили «Жуковский.Life» сообщили в пресс-службе вуза. Данный раствор будет полезен для всех, кто следит за состоянием своих зубов. Он прост и удобен в применении: его можно использовать как ополаскиватель или как трейнер с антисептическим раствором, что делает его доступным даже для детей. Разработчики отмечают, что ранее медицина уже исследовала отдельные виды микроорганизмов и их влияние на патогенную микрофлору ротовой полости. Однако исследований, посвященных применению этих микроорганизмов в составе раствора, не проводилось. В настоящее время проект находится на стадии экспериментального тестирования, в ходе которого подбир
   Фото: пресс-служба НовГУ
Фото: пресс-служба НовГУ

В Новгородском государственном университете была создана уникальная разработка – профилактический стоматологический раствор. Этот инновационный продукт имеет огромное значение для предотвращения и лечения стоматологических заболеваний. Например, регулярное использование раствора в качестве ополаскивателя способно остановить развитие кариеса на ранних стадиях, сообщили «Жуковский.Life» сообщили в пресс-службе вуза.

Данный раствор будет полезен для всех, кто следит за состоянием своих зубов. Он прост и удобен в применении: его можно использовать как ополаскиватель или как трейнер с антисептическим раствором, что делает его доступным даже для детей. Разработчики отмечают, что ранее медицина уже исследовала отдельные виды микроорганизмов и их влияние на патогенную микрофлору ротовой полости. Однако исследований, посвященных применению этих микроорганизмов в составе раствора, не проводилось.

В настоящее время проект находится на стадии экспериментального тестирования, в ходе которого подбирается оптимальное соотношение компонентов. Конечной целью является вывод готового продукта на рынок. Кроме того, разработчики планируют создать раствор в гелеобразной форме, что сделает его использование ещё более удобным. В этом году авторы проекта намерены подать заявку на грант «Студенческий стартап» шестой волны для получения финансирования.