Добавить в корзинуПозвонить
Найти в Дзене
Два Дантиста

Как наши пациенты идут к своей улыбке мечты?

Наш пациент ранее проходил ортодонтическое лечение, которое позволило нормализовать прикус и выровнять положение зубных единиц.  Так как зубы имели дефекты по форме и цвету, пациент решил продолжить восстановление и с помощью специалистов клиники «Два Дантиста» прийти к своей идеальной улыбке. Над клинической ситуацией работали стоматолог-гигиенист, стоматолог-терапевт и стоматолог-ортопед. Проведение санации полости рта является обязательной процедурой перед протезированием. Поэтому нашему пациенту устранили все воспалительные процессы, тем самым полностью стерилизовали полость рта. Такая подготовка обеспечивает эффективность любой процедуры: установки виниров, коронок, имплантатов и других. Обновленная улыбка будет служить долгие годы. Залог такого результата это: Записаться в клинику «Два Дантиста» можно через сайт или по тел. 8 (812) 223-43-29

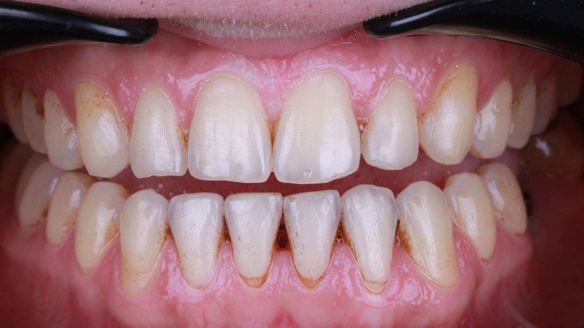
Наш пациент ранее проходил ортодонтическое лечение, которое позволило нормализовать прикус и выровнять положение зубных единиц. 

Так как зубы имели дефекты по форме и цвету, пациент решил продолжить восстановление и с помощью специалистов клиники «Два Дантиста» прийти к своей идеальной улыбке.

Над клинической ситуацией работали стоматолог-гигиенист, стоматолог-терапевт и стоматолог-ортопед.

  • Процедура профессиональной гигиены позволила подготовить полость рта к дальнейшим манипуляциям. Были удалены мягкие и твердые зубные отложения. Чистка зубов является и косметической операцией, так как позволяет осветлить эмаль на 1-2 тона, и профилактической, так как избавляет поверхность зубов от потенциально опасного налета для развития кариеса и болезней пародонта, а также реминерализует эмаль, укрепляя ее наполняя необходимыми компонентами.
-2

Проведение санации полости рта является обязательной процедурой перед протезированием. Поэтому нашему пациенту устранили все воспалительные процессы, тем самым полностью стерилизовали полость рта. Такая подготовка обеспечивает эффективность любой процедуры: установки виниров, коронок, имплантатов и других.

  • Протезирование винирами и коронками выполняет стоматолог-ортопед. Его задача — подготовить зубные единицы для установки конструкций и зафиксировать протезы. Наша клиника использует самый современный материал для создания виниров и коронок — это керамика. С помощью нее улыбка нашего пациента приобрела свежий и естественный цвет. Рельефность поверхности и прозрачность режущего края имеют максимально схожую текстуру с натуральным зубом. Расположение единиц стало симметричным с правильными пропорциями каждого зуба.
-3

Обновленная улыбка будет служить долгие годы. Залог такого результата это:

  • четко спланированный план лечение;
  • выполнение поэтапных манипуляций;
  • соблюдение мировых протоколов;
  • современное оборудование и материалы;
  • команда профессионалов.

Записаться в клинику «Два Дантиста» можно через сайт или по тел. 8 (812) 223-43-29