Добавить в корзинуПозвонить
Найти в Дзене
Naked Science

Секрет долголетия печени — в балансе между ДНК и взаимодействующими с ней ферментами

Печень — один из самых живучих органов человеческого тела: даже в пожилом возрасте ее клетки сохраняют высокие способности к регенерации, несмотря на серьезные перестройки ДНК. Теперь ученые выяснили, почему это происходит: оказалось, в клетках печени постоянно сохраняется баланс между раскручивающейся ДНК и становящимися менее активными ферментами, которые с ней взаимодействуют. Печень остается удивительно здоровой даже у пожилых людей и отлично регенирует, хотя ДНК в ее клетках претерпевает значительные перестройки из-за эпигенетических изменений. Долгое время ученые не могли понять, почему изменения, которые в других органах приводят к заметному дряхлению, не оказывают на печень значительного влияния. Теперь, похоже, им удалось найти ответ. Изучив изменения, происходящие с клетками печени по мере старения, авторы новой работы обнаружили, что с возрастом ДНК в клеточных ядрах становится все менее скрученной, а это облегчает доступ к ней различным ферментам. Казалось бы, в такой ситу
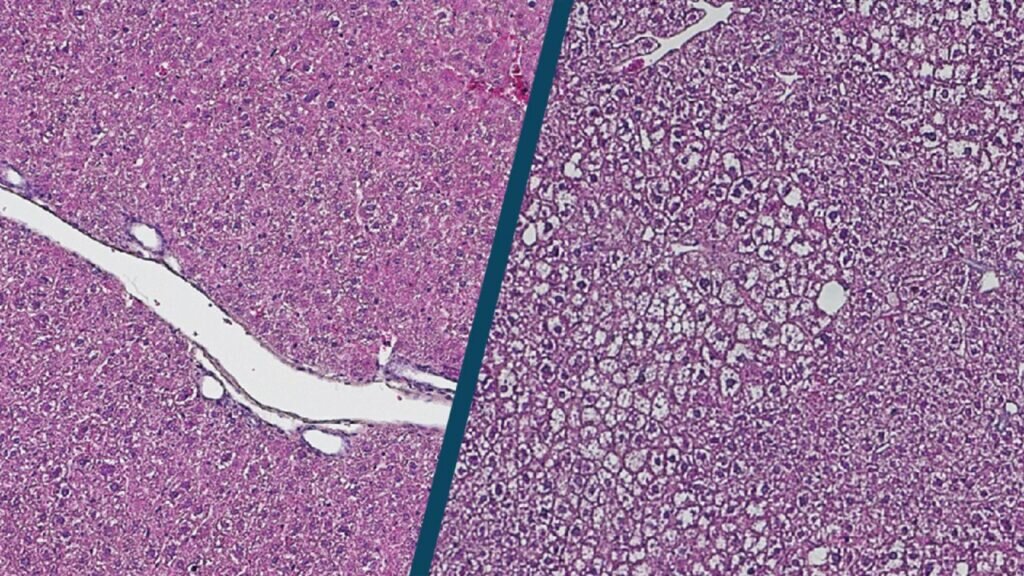
   Клетки печени молодого (слева) и пожилого (справа) человека / © phys.org
Клетки печени молодого (слева) и пожилого (справа) человека / © phys.org

Печень — один из самых живучих органов человеческого тела: даже в пожилом возрасте ее клетки сохраняют высокие способности к регенерации, несмотря на серьезные перестройки ДНК. Теперь ученые выяснили, почему это происходит: оказалось, в клетках печени постоянно сохраняется баланс между раскручивающейся ДНК и становящимися менее активными ферментами, которые с ней взаимодействуют.

Печень остается удивительно здоровой даже у пожилых людей и отлично регенирует, хотя ДНК в ее клетках претерпевает значительные перестройки из-за эпигенетических изменений. Долгое время ученые не могли понять, почему изменения, которые в других органах приводят к заметному дряхлению, не оказывают на печень значительного влияния. Теперь, похоже, им удалось найти ответ.

Изучив изменения, происходящие с клетками печени по мере старения, авторы новой работы обнаружили, что с возрастом ДНК в клеточных ядрах становится все менее скрученной, а это облегчает доступ к ней различным ферментам. Казалось бы, в такой ситуации в клетках пожилых людей должно производиться больше иРНК — молекул, которые «считывают» информацию с молекулы ДНК и служат матрицей для синтеза белков, — что неминуемо приведет к истощению клеточных ресурсов.

Однако этого не происходит благодаря поддерживающемуся балансу между раскручиванием ДНК и снижением активности основного фермента, ответственного за синтез РНК, — РНК-полимеразы. Выяснилось, что в клетках пожилых людей этот фермент образует менее стабильные комплексы и чаще отпадает от молекулы ДНК, не завершая постройку молекулы РНК.

В итоге «недоделка» расщепляется другими ферментами на составляющие, а синтез белка так и не начинается. Это сохраняет ресурсы клетки практически нетронутыми и позволяет печени дольше поддерживать активность.

Таким образом, клетки печени компенсируют эпигенетические изменения ДНК, происходящие с возрастом. Теперь ученым предстоит выяснить, происходят ли аналогичные изменения ДНК в других органах. И если да, то возможно ли и в них запустить такой компенсаторный механизм для поддержания их здоровья и долголетия.

Исследование опубликовано в журнале Molecular Systems Biology.