Добавить в корзинуПозвонить
Найти в Дзене
ProЗубы

Для чего необходима обточка зубов перед винирами?

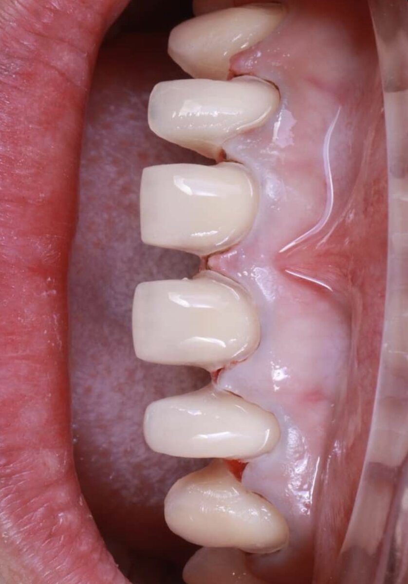
О ровной «голливудской» улыбке мечтают многие, но чаще всего пациентов отпугивает именно подготовка зубов к установке виниров, а именно препарирование зубов, иначе говоря — обточка. Обтачивание зуба производится для получения необходимого объема зуба для установки виниров. Для стандартного винира необходимо препарировать примерно около 0,5–0,7 мм ткани зуба. При этом нужно оставаться в пределах эмали, так как к ней будет самая надежная и прочная фиксация. Что важно, пациент должен осознавать: в независимости от того, была ли обточка или нет, к изначальному виду зубы уже будет невозможно вернуть. При установке виниров идет процесс взаимного проникновения материалов друг в друга (адгезия). Накладка (винир) фиксируется на специальном материале, благодаря чему возникает очень прочное сцепление винира с зубом. Благодаря этому установка становится очень надежной. Толщина обточки зависит от: ▪️Цветокоррекции. Большая обработка потребуется, в случае, если зуб очень темный. В такой ситуации

О ровной «голливудской» улыбке мечтают многие, но чаще всего пациентов отпугивает именно подготовка зубов к установке виниров, а именно препарирование зубов, иначе говоря — обточка.

Обтачивание зуба производится для получения необходимого объема зуба для установки виниров. Для стандартного винира необходимо препарировать примерно около 0,5–0,7 мм ткани зуба. При этом нужно оставаться в пределах эмали, так как к ней будет самая надежная и прочная фиксация.

-2

Что важно, пациент должен осознавать: в независимости от того, была ли обточка или нет, к изначальному виду зубы уже будет невозможно вернуть. При установке виниров идет процесс взаимного проникновения материалов друг в друга (адгезия). Накладка (винир) фиксируется на специальном материале, благодаря чему возникает очень прочное сцепление винира с зубом. Благодаря этому установка становится очень надежной.

-3

Толщина обточки зависит от:

▪️Цветокоррекции. Большая обработка потребуется, в случае, если зуб очень темный. В такой ситуации чтобы перекрыть цвет зуба, важна толщина самого винира.

▪️Изменения положения. В случае если зубы сильно выступают, чтобы сровнять их со всем зубным рядом их необходимо дополнительно препарировать.

▪️Коррекции формы. Когда зубу необходим дополнительный объем и отсутствуют реставрации на контактной поверхности, то он совсем не обтачивается или обрабатывается минимально.

▪️Если у пациента сильная стираемость зубов, в этом случае требуется минимальная обточка зуба.

-4

Как итог, необходимость и глубина препарирования зависит от состояния зубов пациента и той цели, которую мы планируем достичь с помощью виниров. Перед установкой стоматолог-ортопед тщательно изучит вашу ситуацию и предложит самый оптимальный метод обработки ваших зубов.

С любовью, ProЗубы!