Добавить в корзинуПозвонить
Найти в Дзене

Гистология в медицинском университете

В моем университете гистология началась со второго семестра первого курса. По началу я думал, что будет очень тяжело, т.к много ребят рассказывали, что занимали очереди на сдачу модуля в 4 утра и стояли возле кафедры целый день в надежде на хорошую оценку. Но на самом деле все немного не так. Очереди образовывались из-за должников( а их в меде очень много). Если все сразу сдавать, то проблем не будет. На парах мы изучаем различные препараты ( признаюсь честно, это очень интересно) Но объем информации очень большой. По этому поступая в медицинский университет, вы должны быть готовы, что придётся много учить ( это всего лишь предупреждение) Вернёмся к гистологии.... Так же нас заставляют зарисовывать все препараты, которые мы проходим в течение пары.( я, если честно, забиваю на рисунки и нормально, в тишине и спокойствии рисую дома). Кто-то рисует абы как: Ребята просто не хотят тратить на это время и я их прекрасно понимаю, т.к время очень дорого, особенно в медицинском. А кто-то стара

В моем университете гистология началась со второго семестра первого курса. По началу я думал, что будет очень тяжело, т.к много ребят рассказывали, что занимали очереди на сдачу модуля в 4 утра и стояли возле кафедры целый день в надежде на хорошую оценку. Но на самом деле все немного не так. Очереди образовывались из-за должников( а их в меде очень много). Если все сразу сдавать, то проблем не будет. На парах мы изучаем различные препараты ( признаюсь честно, это очень интересно)

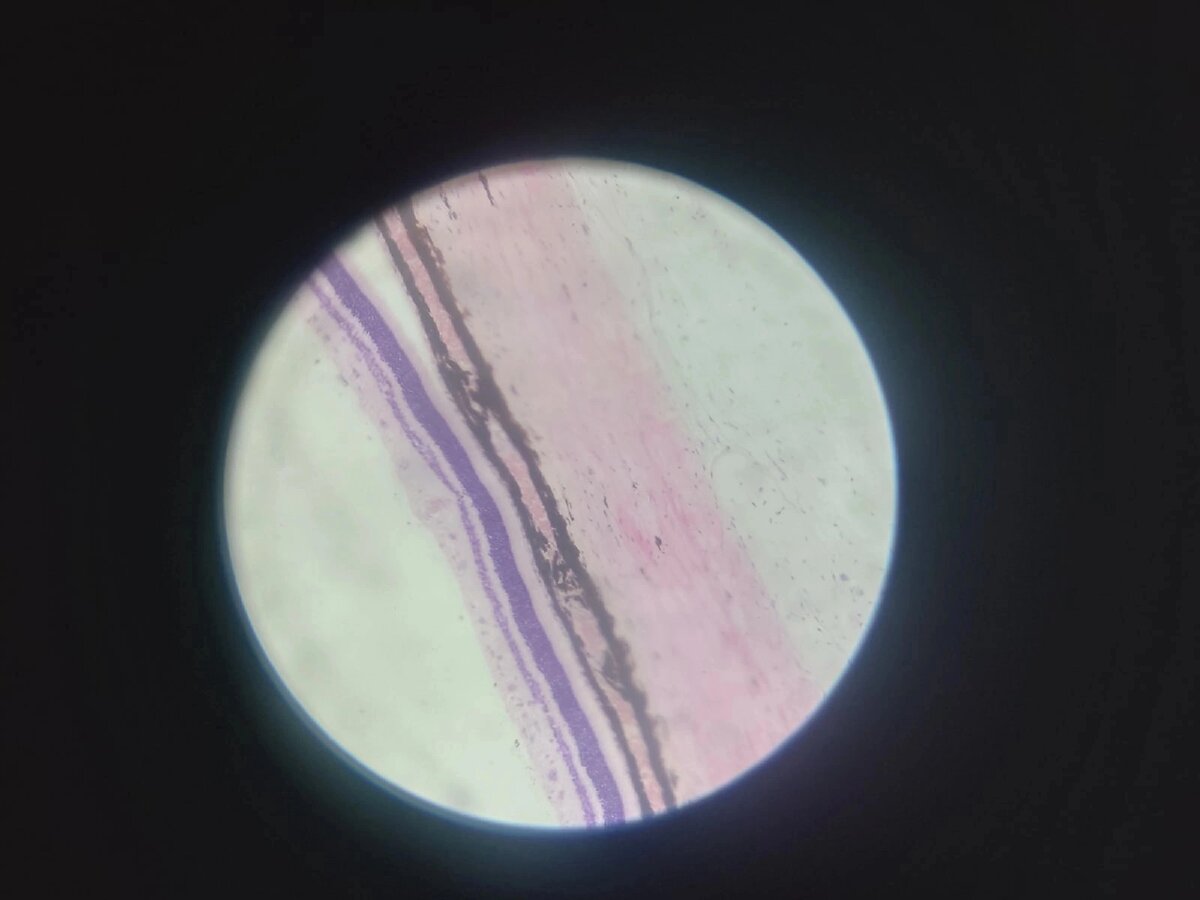
Задняя стенка глаза( прикиньте, там 10 слоев)
Задняя стенка глаза( прикиньте, там 10 слоев)
Мозжечек
Мозжечек
Сосочки языка(вкусовые)
Сосочки языка(вкусовые)
Секреторные гранулы в коже оксолотля
Секреторные гранулы в коже оксолотля

Но объем информации очень большой. По этому поступая в медицинский университет, вы должны быть готовы, что придётся много учить ( это всего лишь предупреждение)

Вернёмся к гистологии....

Так же нас заставляют зарисовывать все препараты, которые мы проходим в течение пары.( я, если честно, забиваю на рисунки и нормально, в тишине и спокойствии рисую дома).

Кто-то рисует абы как:

Рисунок одногрупника,,Кортиев орган"
Рисунок одногрупника,,Кортиев орган"

Ребята просто не хотят тратить на это время и я их прекрасно понимаю, т.к время очень дорого, особенно в медицинском.

А кто-то старается, рисует несколько часов(я отношусь к этому числу). Но тут возникает вопрос: нафига? Я вот и сам не знаю. Просто мне нравится рисовать, хоть я и не художник. Меня это занятие как то расслабляет.

Мой рисунок Кортиева органа
Мой рисунок Кортиева органа

Но в на кафедре гистологии есть преподы ,которые так красиво рисуют,что глаза не оторвать:

-7

Если захотите, я могу в дальнейшем выложить пост со всеми рисунками которые у меня есть.

В заключение хочется сказать, что гистология -это очень интересный и многогранный предмет, который надо учить и не запускать.

Ну и история на последок. Я попал в очень сильную группу, где много умных ребят. И у нас возникают споры и разногласия из-за очереди на сдачу модулей по гистологии. Ребята все хотят сдать первыми и не иметь долгов. И однажды у нас дело чуть не дошло до драки...еле разняли ребят. Представьте себе...драка из-за первого места на сдачу по гистологии....да уж)

Будьте добры друг к другу и всего вам хорошего!:)