Добавить в корзинуПозвонить
Найти в Дзене
записки зубного детектива

Работа некачественная, а пациент доволен и счастлив, так тоже бывает

Отпуск кончился, и пошли статьи сплошь по стоматологии. :) Хочу разобрать один комментарий к прошлой статье. Пациент остался очень доволен посещением врача, но довольный пациент и качественное лечение — вещи суть разные. Даю цитату без купюр и исправлений. Орфография и пунктуация — автора комментария! «Пломбу поставила быстро, минуты 3, может 5. Даже не пыталась делать обезболивающий укол. Вообще не больно. С виду зачот, не докопаться. Как зевнул и ремонт пломбы произведен. Цена 0 рублей. Вот это круто. Что интересно, она пломбу 1 раз только грубо обточила без примерки прикуса и все. Копирку кладет, а отпечатка нет. То есть попала в размер. А с виду пломба больше чем прежняя. Все же госмедицина работает». 1. За три минуты и даже пять качественно изготовить реставрацию НЕВОЗМОЖНО! Времена, когда пломба скатывалась одним шариком и просто пальцем забивалась в полость зуба, давно прошли. Пломба устанавливается в несколько слоев, каждый из которых засвечивается отдельно. Плюс должна моделир

Отпуск кончился, и пошли статьи сплошь по стоматологии. :)

Хочу разобрать один комментарий к прошлой статье. Пациент остался очень доволен посещением врача, но довольный пациент и качественное лечение — вещи суть разные.

Даю цитату без купюр и исправлений. Орфография и пунктуация — автора комментария!

«Пломбу поставила быстро, минуты 3, может 5. Даже не пыталась делать обезболивающий укол. Вообще не больно. С виду зачот, не докопаться. Как зевнул и ремонт пломбы произведен. Цена 0 рублей. Вот это круто.

Что интересно, она пломбу 1 раз только грубо обточила без примерки прикуса и все.

Копирку кладет, а отпечатка нет. То есть попала в размер. А с виду пломба больше чем прежняя.

Все же госмедицина работает».

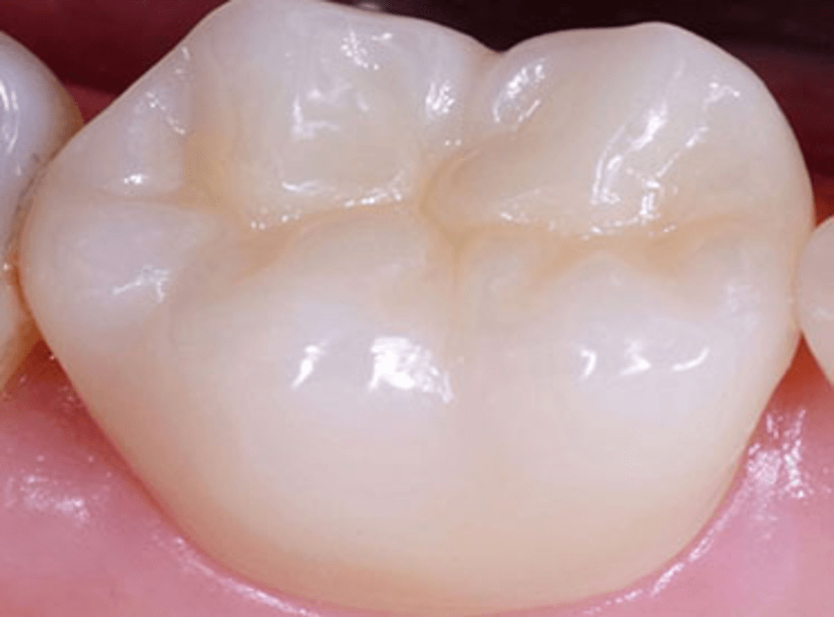
1. За три минуты и даже пять качественно изготовить реставрацию НЕВОЗМОЖНО! Времена, когда пломба скатывалась одним шариком и просто пальцем забивалась в полость зуба, давно прошли. Пломба устанавливается в несколько слоев, каждый из которых засвечивается отдельно. Плюс должна моделироваться полностью анатомическая форма зуба, включающая в себя все бугры и фиссуры.

Плоская пломба во врачебной среде называется «вертолетной площадкой» и означает полное отсутствие всяких знаний анатомии у врача. Фиссурно-бугорковые контакты очень и очень важны. Они позволяют человеку не только качественно пережевывать пищу, но и являются важным компонентом правильного прикуса.

2. Лечение без анестезии. Иногда это оправданно, но крайне редко. Чаще всего современное лечение проводится с применением коффердама. Это резиночка такая, в которой торчит только тот зуб, который лечат, а весь остальной организм находится по другую сторону. Позволяет полностью изолировать рабочее поле от слюны и влаги в дыхании.

Устанавливается коффердам при помощи специального клампа и требует анестезии. Это еще один минус.

3. «Что интересно, она пломбу 1 раз только грубо обточила без примерки прикуса и все» — эта фраза — отдельный шедевр. Пломба должна не только грубо обрабатываться. Она должна ТЩАТЕЛЬНО полироваться до блеска. От этого зависит очень многое. Долго писать, можно отдельную статью про это сделать.

Шлифовка и полировка пломбы — серьезный этап, который тоже проводится разными инструментами и не за три минуты. Огромный минус!

4. И заключительный момент: «Копирку кладет, а отпечатка нет. То есть попала в размер». Тот факт, что на зубе не осталось точек от копирки, означает, что зуб по высоте не достает до прикуса! Точки должны быть обязательно! Не должно быть завышения, но занижение прикуса опасно для здоровья ничуть не меньше, просто не так заметно. Мало того, что пациент не сможет нормально пережевывать пищу, если один зуб не контактирует с другим, так еще и может начаться перемещение зубов. Зубы не терпят пустоты и всегда «ищут» антагониста.

В общем, классический случай, когда пациент в восторге от работы, которой с натяжкой и два балла не поставишь.

Но в медицине сейчас главное — удовлетворенность пациента. Даже если ты его убил!

Лежит, не жалуется, кляузы в Минздрав не пишет, вот и славненько!