Найти в Дзене
Biorepair

Как выглядит кариес у детей? На что обратить внимание и как не пропустить?

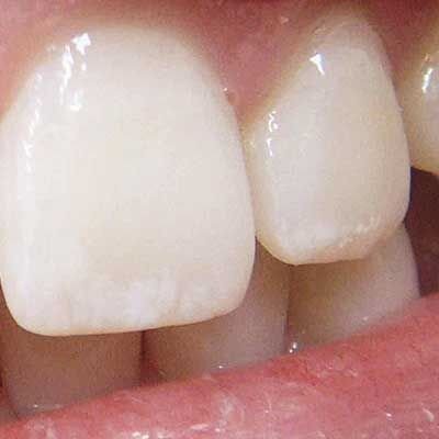
В основном у детей возникают меловидные пятна. В этой статье расскажем и покажем именно эту начальную форму кариеса. Самыми распространенными причинами их появления являются: -неправильная гигиена полости рта, -несбалансированное питание, -невнимательная чистка полости рта. Все это приводит к скоплению избыточного налета на поверхности зубов. В результате образуется деминерализованное место – меловидное пятно. Оно может быть в форме точек или полосок, светлое, практически белое. На начальной стадии это и есть кариес. Но со временем это пятно может потемнеть и перерасти в более глубокое кариозное поражение. Важно не упустить этот момент. Обязательно покажите вашему ребенку как правильно чистить зубы, на своем примере, в книжках и тд. Это очень важно, ведь от этого зависит здоровье зубов вашего малыша. С заботой о здоровье вас и ваших близких, Biorepair.

В основном у детей возникают меловидные пятна. В этой статье расскажем и покажем именно эту начальную форму кариеса.

Самыми распространенными причинами их появления являются:

-неправильная гигиена полости рта,

-несбалансированное питание,

-невнимательная чистка полости рта.

Все это приводит к скоплению избыточного налета на поверхности зубов. В результате образуется деминерализованное место – меловидное пятно.

Оно может быть в форме точек или полосок, светлое, практически белое.

На начальной стадии это и есть кариес. Но со временем это пятно может потемнеть и перерасти в более глубокое кариозное поражение. Важно не упустить этот момент.

Обязательно покажите вашему ребенку как правильно чистить зубы, на своем примере, в книжках и тд. Это очень важно, ведь от этого зависит здоровье зубов вашего малыша.

С заботой о здоровье вас и ваших близких, Biorepair.