Найти в Дзене
ProЗубы

Сегодня покажем вам очень непростой случай!

Работа была непростая, и не быстрая, но зато какой получился результат!

Пациент жаловался на отсутствие зубов, вторичная деформация зубных рядов ( на фото наглядно видно как поднялся уровень нижних резцов до десны верхней челюсти). Прием пищи при такой клинической ситуации был очень сложен для пациента.
Пациент жаловался на отсутствие зубов, вторичная деформация зубных рядов ( на фото наглядно видно как поднялся уровень нижних резцов до десны верхней челюсти). Прием пищи при такой клинической ситуации был очень сложен для пациента.
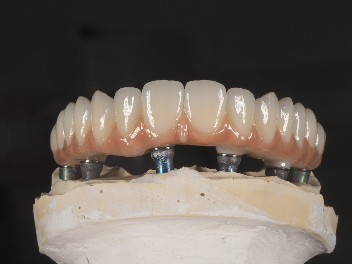
Что было сделано: удалены все зубы на верхней челюсти, с одномоментной установкой 8 имплантатов, через 1 день фиксация временного протеза (чтобы пациент мог нормально жевать. На нижней челюсти была проведена имплантация в боковых отделах. Также мы провели тенс-терапию (для расслабления мышц, чтобы вернуть их в исходное положение). После приживления имплантатов было сделано постоянное протезирование; на верхней челюсти установлен несъёмный протез. На нижней челюсти установлены коронки на имплантатах в боковых отделах, и коронки на фронтальных зубах.
Что было сделано: удалены все зубы на верхней челюсти, с одномоментной установкой 8 имплантатов, через 1 день фиксация временного протеза (чтобы пациент мог нормально жевать. На нижней челюсти была проведена имплантация в боковых отделах. Также мы провели тенс-терапию (для расслабления мышц, чтобы вернуть их в исходное положение). После приживления имплантатов было сделано постоянное протезирование; на верхней челюсти установлен несъёмный протез. На нижней челюсти установлены коронки на имплантатах в боковых отделах, и коронки на фронтальных зубах.
-3

Работа была непростая, и не быстрая, но зато какой получился результат!