Добавить в корзинуПозвонить
Найти в Дзене

Болит зуб?

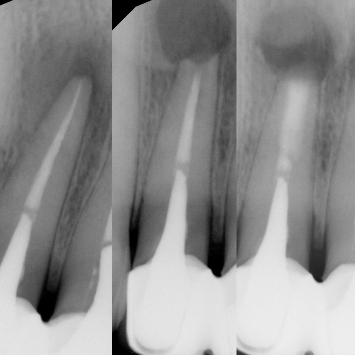
ОПЯТЬ??ПОЧЕМУ если в нем удален нерв⁉️ Анатомия корневых каналов сложна и разнообразна – имеются ответвления, расхождения и повторные смыкания каналов, специфические изгибы. Также верхушка зуба представляет собой практически «дерево» из мелких ветвей корневого канала. Все это способствует сохранению минимальной инфекции в каналах и ее возможности продолжить развиваться. В части случаев эта инфекция минимальна и организм приходит на помощь врачу, блокируя ее. Но иногда, микробы более активны и, переходя в хроническую форму, воспаление растет🤔 Спустя несколько лет после лечения можно случайно обнаружить очаг воспаления на контрольных снимках и встанет вопрос о повторном лечении под МИКРОСКОПОМ или УДАЛЕНИИ. Но так как задача врача – сохранение зуба, не всегда стоит сразу удалять зуб. Последний шанс для зуба – апикальная микрохирургия. Апикальная хирургия представляет собой микрооперацию - резекцию верхней четверти/трети корня. Вместе с корнем удаляется воспалительный очаг, а его ме

ОПЯТЬ??ПОЧЕМУ если в нем удален нерв⁉️

Анатомия корневых каналов сложна и разнообразна – имеются ответвления, расхождения и повторные смыкания каналов, специфические изгибы. Также верхушка зуба представляет собой практически «дерево» из мелких ветвей корневого канала.

Все это способствует сохранению минимальной инфекции в каналах и ее возможности продолжить развиваться. В части случаев эта инфекция минимальна и организм приходит на помощь врачу, блокируя ее. Но иногда, микробы более активны и, переходя в хроническую форму, воспаление растет🤔

Спустя несколько лет после лечения можно случайно обнаружить очаг воспаления на контрольных снимках и встанет вопрос о повторном лечении под МИКРОСКОПОМ или УДАЛЕНИИ. Но так как задача врача – сохранение зуба, не всегда стоит сразу удалять зуб. Последний шанс для зуба – апикальная микрохирургия.

Апикальная хирургия представляет собой микрооперацию - резекцию верхней четверти/трети корня.

Вместе с корнем удаляется воспалительный очаг, а его место заполняется костной тканью.

Для проведения данных манипуляций используют операционный микроскоп, ультразвуковое и микрохирургическое оборудование, позволяющие провести ретроградное пломбирование минеральным цементом МТП и устранить последствия периодонтита.

#лечениезубовмуром#сохранениезубов#спасен езубов#апикальнаяхирургия#