Найти в Дзене
Доктор Марусенька

Хроническая крапивница. Почему?

Есть распространенное заблуждение, что крапивница - это всегда аллергия. И если у человека возникают постоянные эпизоды крапивницы, то начинают упорно искать тот самый аллерген, затрачивая на это массу усилий, в том числе и финансовых. Так ли это? Давайте разберемся с тем, что же делать, если крапивница хроническая. Для начала - какую крапивницу мы считаем хронической. Хроническая идиопатическая крапивница (ХК) - это рецидивы крапивницы, с ангионевротическим отеком или без него, в течение шести недель или дольше. До 50 процентов пациентов имеют сопутствующие эпизоды ангионевротического отека. У 80-90 процентов взрослых и детей с ХК не выявлено никакой внешней аллергической причины или сопутствующего патологического процесса. Это очень важно понимать! Соответственно, несмотря на то, что выглядит это довольно страшно, и кажется, что сейчас случится отек дыхательных путей - но это не так и, как правило, это не опасно! Существует несколько теорий относительно патогенеза хронической идиоп

Есть распространенное заблуждение, что крапивница - это всегда аллергия. И если у человека возникают постоянные эпизоды крапивницы, то начинают упорно искать тот самый аллерген, затрачивая на это массу усилий, в том числе и финансовых.

Так ли это? Давайте разберемся с тем, что же делать, если крапивница хроническая.

Для начала - какую крапивницу мы считаем хронической.

Хроническая идиопатическая крапивница (ХК) - это рецидивы крапивницы, с ангионевротическим отеком или без него, в течение шести недель или дольше. До 50 процентов пациентов имеют сопутствующие эпизоды ангионевротического отека.

У 80-90 процентов взрослых и детей с ХК не выявлено никакой внешней аллергической причины или сопутствующего патологического процесса. Это очень важно понимать! Соответственно, несмотря на то, что выглядит это довольно страшно, и кажется, что сейчас случится отек дыхательных путей - но это не так и, как правило, это не опасно!

Существует несколько теорий относительно патогенеза хронической идиопатической крапивницы, ни одна из которых не была окончательно подтверждена. Средняя продолжительность заболевания составляет от двух до пяти лет, а потом оно может спонтанно саморазрешиться - и это тоже важно знать.

Как она проявляется?

Обычно это только кожные проявления, хотя могут быть и другие симптомы.

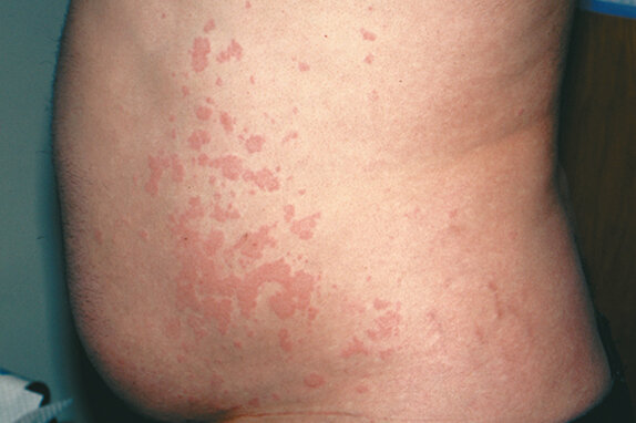
  • Характерные высыпания (очерченные, приподнятые эритематозные бляшки, часто с бледным центром, могут быть круглыми, кольцевидными или змеевидными и варьироваться по размеру, являются преходящими, длятся от нескольких часов до одного дня и проходят без остаточных следов, обычно с сильным зудом

  • Обычно появляются отдельные очаги поражения, которые часто увеличиваются или сливаются, а затем рассасываются в течение 24 часов. Высыпания, сохраняющиеся более 24 часов, а также те, которые носят болезненный или жгучий характер или оставляют остаточные кровоподтеки, требуют исключения васкулита!
  • Ангионевротический отек, если он присутствует, проявляется как подслизистый или подкожный отек, обычно асимметричный, развивается в течение нескольких минут или часов и не является постоянным. Если ангионевротический отек затрагивает горло, язык или губы, и без крапивницы, нужно исключить лекарственно-индуцированный ангионевротический отек или наследственный ангионевротический отек!
  • Системные симптомы — головная боль, усталость, боль или отек суставов, одышка, чувство жара, желудочно-кишечные симптомы и учащенное сердцебиение.

Провоцирующие факторы.

Есть разные факторы, которые могут спровоцировать приступ крапивницы, причем разные приступы у одного и того же человека могут провоцировать разные факторы. К ним относятся:

  • Физические факторы – жара (горячий душ, экстремальная влажность), воздействие солнца, при этом тесная одежда или обычный ремень могут усугубить симптомы.
  • Противовоспалительные препараты – Нестероидные противовоспалительные препараты (НПВС) ухудшают симптомы у 25-50 процентов пациентов с ХК.
  • Стресс
  • Физическая активность
  • Изменения в пищевых привычках и прием алкоголя – Хотя пищевая аллергия является редкой причиной ХК, некоторые пациенты сообщают, что изменения в рационе питания, особенно большие порции или острая пища, усугубляют симптомы. Алкоголь также усугубляет симптомы.
  • Менструация
  • Инфекции (в том числе и обычная ОРВИ)

Какие сопутствующие заболевания усугубляют процесс?

  • гипотиреоз (часто у пациентов с ХК есть еще и гипотиреоз), особенно на фоне аутоиммунного тиреоидита
  • аутоиммунные заболевания

Какие обследования нужны?

Обычно при ХК лабораторные тесты вряд ли выявят отклонения, если нет данных за аллергическую этиологию или наличие системного заболевания. Но стоит сдать следующее:

  • ОАК. Эозинофилия должна побудить к обследованию на наличие атопического расстройства или паразитарной инфекции.
  • С-реактивный белок. Значительное повышение С-реактивного белка (СРБ) должно побудить к дальнейшему обследованию на предмет системных заболеваний, таких как аутоиммунные, ревматологические, инфекционные или опухолевые заболевания - измерение антинуклеарных антител (АНА), криоглобулинов, серологии на гепатит В и С, электрофореза сывороточного белка.
  • Уровень ТТГ и, при необходимости, аутоантитела к щитовидной железе
  • IgE, кожные пробы при необходимости

Биопсия кожи — Биопсия кожи обычно не требуется для диагностики ХК. Однако следует выполнить биопсию, чтобы исключить васкулит у пациентов с одним или несколькими из следующих признаков:

● Отдельные элементы сыпи, которые сохраняются более 24 часов, являются скорее болезненными, чем зудящими, имеются петехии, или остаточная пигментация после разрешения.

● Повышенный уровень СРБ/СОЭ и/или системные симптомы (например, артралгии, лихорадка).

● Симптомы, которые не реагируют на соответствующие дозы антигистаминных препаратов.

В следующих статьях мы поговорим о лечении, других видах хронической крапивницы, и о том, из-за чего бывает острая крапивница и что с этим делать.