Добавить в корзинуПозвонить
Найти в Дзене

Дискинезия желчного пузыря

😼Мифы... Много мифов живёт в нашей медицине. Хочу поговорить о диагностике дискинезии желчного пузыря. ❌Миф 1: Можно определить тип дискинезии строя график сокращения пузыря. ✅Реальность: термин гипертоническая и гипотоническая дискинезия исключен из клинической практики (рекомендации 2018 года). ❌Миф 2: Проба проводится с использованием хофитола, бабанов, яиц и прочего. ✅Реальность: по данным рекомендаций общества радиологов 2019 года (Британия), используется холецистокинин или fatty meal - жирный завтрак в виде коровьих сливок 20%, при непереносимости - сорбит. Эти же данные можно найти в отечественных рекомендациях. ❌Миф 3: Количество показателей. Толщина стенок, площадь пузыря и прочие. ✅Реальность: Цель исследования это фракция опорожнения, клиническое значение при снижении менее 40%, то есть пузырь не сокращается. Считается по объему пузыря на ультразвуке либо методом сцинтиграфии. ❌Миф 4: Время оценки. Графики сокращения через 5, 10, 15, 20 и до 60 минут. ✅Реальность: для

😼Мифы... Много мифов живёт в нашей медицине. Хочу поговорить о диагностике дискинезии желчного пузыря.

❌Миф 1: Можно определить тип дискинезии строя график сокращения пузыря.

✅Реальность: термин гипертоническая и гипотоническая дискинезия исключен из клинической практики (рекомендации 2018 года).

❌Миф 2: Проба проводится с использованием хофитола, бабанов, яиц и прочего.

✅Реальность: по данным рекомендаций общества радиологов 2019 года (Британия), используется холецистокинин или fatty meal - жирный завтрак в виде коровьих сливок 20%, при непереносимости - сорбит. Эти же данные можно найти в отечественных рекомендациях.

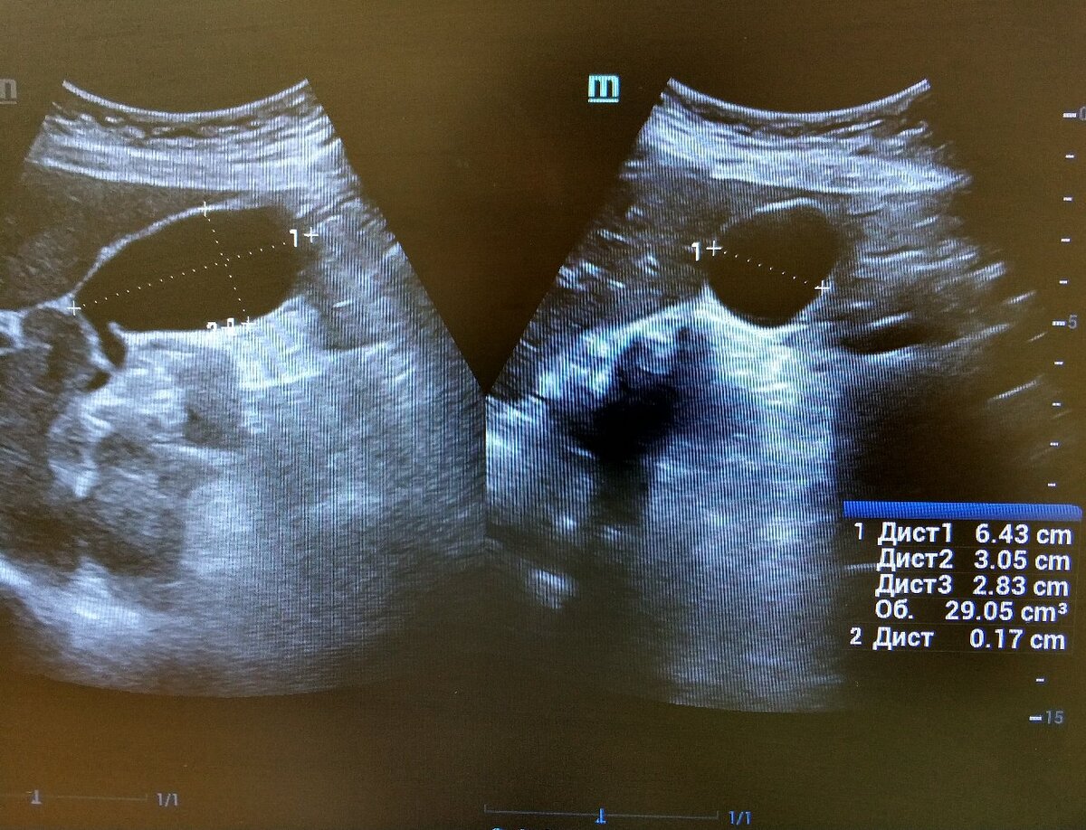
❌Миф 3: Количество показателей. Толщина стенок, площадь пузыря и прочие.

✅Реальность: Цель исследования это фракция опорожнения, клиническое значение при снижении менее 40%, то есть пузырь не сокращается. Считается по объему пузыря на ультразвуке либо методом сцинтиграфии.

❌Миф 4: Время оценки. Графики сокращения через 5, 10, 15, 20 и до 60 минут.

✅Реальность: для получения коэффициента опорожнения достаточно одного измерения через 20 минут, максимальное сокращение через 30 минут в сомнительных случаях.

-2
-3
-4
-5
-6

#миф #мифымедицины #узи #узд #generalimaging #ultrasound #gallbladder #джвп