Добавить в корзинуПозвонить
Найти в Дзене

ЗАМЕТКИ КЛИНИЧЕСКОГО ЦИТОЛОГА БЕТЕСДА IV. ФОЛЛИКУЛЯРНАЯ ОПУХОЛЬ

Продолжаем разговор про узлы. Бетесда 4: фолликулярная опухоль. Сюда относятся аденомы из А-клеток, аденомы из В-клеток (клеток Гюртле-Ашкенази), фолликулярные раки, фолликулярные формы папиллярного рака.
Чем принципиально отличаются клетки неопухолевых узлов от опухолей: клетки коллоидных узлов делятся определенное количество раз, потом погибают, на их место приходят другие клетки, а клетки опухоли делятся неограниченное количество раз, обеспечивая рост опухоли. Опухоль бывает доброкачественная и злокачественная: клетки доброкачественной опухоли (аденомы) не выходят за пределы капсулы узла и не несут угрозы для здоровья и жизни хозяина. Злокачественные опухоли обладают инвазивным ростом - они прорастают капсулу узла, попадают в питающие сосуды, опухоль может прорастать капсулу железы и давать метастазы за пределами щитовидной железы.
И главный вопрос, который задает пациент: «… Доктор, если у меня аденома, – зачем ее удалять, она же неопасна?». Дело в том, что по результатам пункцио

Продолжаем разговор про узлы. Бетесда 4: фолликулярная опухоль. Сюда относятся аденомы из А-клеток, аденомы из В-клеток (клеток Гюртле-Ашкенази), фолликулярные раки, фолликулярные формы папиллярного рака.

Чем принципиально отличаются клетки неопухолевых узлов от опухолей: клетки коллоидных узлов делятся определенное количество раз, потом погибают, на их место приходят другие клетки, а клетки опухоли делятся неограниченное количество раз, обеспечивая рост опухоли. Опухоль бывает доброкачественная и злокачественная: клетки доброкачественной опухоли (аденомы) не выходят за пределы капсулы узла и не несут угрозы для здоровья и жизни хозяина. Злокачественные опухоли обладают инвазивным ростом - они прорастают капсулу узла, попадают в питающие сосуды, опухоль может прорастать капсулу железы и давать метастазы за пределами щитовидной железы.

И главный вопрос, который задает пациент: «… Доктор, если у меня аденома, – зачем ее удалять, она же неопасна?». Дело в том, что по результатам пункционной биопсии цитолог редко может определенно сказать – аденома или рак. В данном случае мы имеет ограничение возможностей метода - с помощью пункционой биопсии невозможно исследовать капсулу узла, питающие сосуды и определить - есть инвазия опухолевых клеток или нет. Только изучив удаленную долю, патолог дает ответ - аденома или рак. Задача цитолога определить - опухоль или не опухоль.

На основании каких признаков цитолог ставит диагноз фолликулярная опухоль:

- Клетки образуют фолликулярные структуры - они образуют круг (помните песенку из «Золушки» - «.. Встаньте, дети, встаньте в круг…»).

- Есть вариации фолликулярных структур - полоска, розетка, железистая структура, «шар». но чаще видим замкнутые круги из клеток (см. фото1).
Клетки опухоли растут из одной клетки (это называется моноклональность), поэтому в аденоме клетки похожи, как близнецы, есть такой термин – «штампованные клетки» (см. фото 1).

- Если в фолликулярной структуре, клетки расположены в несколько рядов, наслаиваются друг на друга, это называется атипический фолликул (см. фото 3)

- Если клетки опухоли отличаются по размерам и форме (это называется клеточный полиморфизм) - цитолог предполагает наличие фолликулярного рака. Но опять – только предполагает… Точно – после операции.

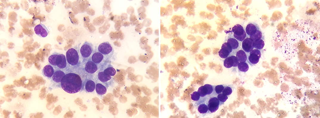
На фото 1 – доброкачественная аденома - одинаковые клетки, образуют фолликулярные структуры.
На фото 1 – доброкачественная аденома - одинаковые клетки, образуют фолликулярные структуры.

На фото 2 - клетки, крупнее нормальных тиреоцитов, образуют фолликулярные структуры, ядра клеток отличаются по размерами (ядерный полиморфизм). Ясно, что это опухоль, но клетки вцелом выглядят относительно доброкачественно. Вместе с тем, это оказался инвазивный фолликулярный рак и метастазами в регионарные лимфатические узлы. Хирурги шли на аденому, первоначально удалили долю с перешейком. А по результатам - проведена повторная операция с удалением всей щитовидной железы, лимфатических узлов и после - лечение радиоактивным йодом.
На фото 2 - клетки, крупнее нормальных тиреоцитов, образуют фолликулярные структуры, ядра клеток отличаются по размерами (ядерный полиморфизм). Ясно, что это опухоль, но клетки вцелом выглядят относительно доброкачественно. Вместе с тем, это оказался инвазивный фолликулярный рак и метастазами в регионарные лимфатические узлы. Хирурги шли на аденому, первоначально удалили долю с перешейком. А по результатам - проведена повторная операция с удалением всей щитовидной железы, лимфатических узлов и после - лечение радиоактивным йодом.

Если в фолликулярной структуре, клетки расположены в несколько рядов, наслаиваются друг на друга, это называется атипический фолликул (см. фото 3)
Если в фолликулярной структуре, клетки расположены в несколько рядов, наслаиваются друг на друга, это называется атипический фолликул (см. фото 3)

К счастью, бывает и обратная ситуация - по пункционной биопсии по всем признакам предполагается фолликулярный рак, а после операции выясняется, что инвазивного роста нет - аденома.

-4

К сожалению цитолог не всегда может определить – опухоль-не опухоль. Дело в том, что активно пролиферирующие коллоидные узлы тоже образуют фолликулярные структуры. И даже существует такой термин - пролиферирующий зоб с аденоматозом. То есть невозможно определенно исключить наличие фолликулярной опухоли (фото 4). Как принято поступать в такой ситуации: если больше половины клеток в препарате находятся в фолликулах - ставится диагноз фолликулярной опухоли, а если фолликулы единичные - то активно пролиферирующий узел. По данным разных авторов - 20-30% прооперированных узлов оказываются пролиферирующими узлами, а не фолликулярной опухолью. И именно поэтому в последней редакции классификации Бесетда (2016 г.) изменена формулировка: пункт IV.– Фолликулярная опухоль/предположительно фолликулярная опухоль.

Это самый трудный раздел цитологической диагностики щитовидной железы. И правильный диагноз определяется не только мастерством и опытом цитолога, но в первую очередь – качеством полученного цитологического материала.

#пункциящитовиднойжелезы #консультацияэндокринолога #эндокринологвмоскве #заболеваниящитовиднойжелезы #срочнаяпункциящитовиднойжелезы #узелщитовиднойжелезы #узловойзоб #аденома #ракщитовиднойжелезы #биопсиящитовиднойжелезы