Добавить в корзинуПозвонить
Найти в Дзене
StopTubik.ru

Признаки кавернозного туберкулеза легких, его диагностика, лечение и прогноз

Кавернозный туберкулез – это заболевание, которое характеризуется продолжительным хроническим течением с чередованием периодов ремиссий и обострений. Данная форма болезни характеризуется наличием в легочной ткани пациента больших полостей – каверн, образовавшихся вследствие некротического процесса. Вокруг этих патологических очагов формируются области фиброза – перерождения нормальной ткани органа в соединительную. Процесс затрагивает также и плевру, которая покрывает легкие. Клиническая картина заболевания Длительное течение заболевания приводит к тому, что у больного появляются характерные черты внешнего вида. Человек с кавернозным или фиброзно-кавернозным туберкулезом очень худой, истощенный, его грудная клетка становится бочкообразной, западают впадины над и под ключицей. Изменяется характер дыхания: на стороне поражения оно более поверхностное, движения грудной клетки несимметричные. Заболевание имеет прогрессирующее течение. Со временем состояние больного значительно ухудшается,
Оглавление

Кавернозный туберкулез – это заболевание, которое характеризуется продолжительным хроническим течением с чередованием периодов ремиссий и обострений.

Данная форма болезни характеризуется наличием в легочной ткани пациента больших полостей – каверн, образовавшихся вследствие некротического процесса. Вокруг этих патологических очагов формируются области фиброза – перерождения нормальной ткани органа в соединительную. Процесс затрагивает также и плевру, которая покрывает легкие.

Клиническая картина заболевания

Патологические изменения в ткани легких, сопровождающиеся воспалительным процессом, приводят к тому, что состояние пациента резко ухудшается. У него возникает симптоматика туберкулеза:
Патологические изменения в ткани легких, сопровождающиеся воспалительным процессом, приводят к тому, что состояние пациента резко ухудшается. У него возникает симптоматика туберкулеза:
  1. Небольшое повышение температуры;
  2. Общая слабость;
  3. Кашель с выделением мокроты;
  4. Одышка на выдохе;
  5. Повышенная потливость;
  6. Потеря массы тела;
  7. Появление акроцианоза – бледности кожи на кистях и стопах.

Длительное течение заболевания приводит к тому, что у больного появляются характерные черты внешнего вида. Человек с кавернозным или фиброзно-кавернозным туберкулезом очень худой, истощенный, его грудная клетка становится бочкообразной, западают впадины над и под ключицей. Изменяется характер дыхания: на стороне поражения оно более поверхностное, движения грудной клетки несимметричные.

Заболевание имеет прогрессирующее течение. Со временем состояние больного значительно ухудшается, в легких можно обнаружить свежую каверну, вследствие чего симптоматика болезни усиливается. Без должного лечения у пациента могут развиваться тяжелые осложнения:

  1. Хроническое легочное сердце;
  2. Дыхательная недостаточность;

В тяжелых случаях при туберкулезе может возникать легочное кровотечение, которое является показанием для экстренного лечения.

Диагностика заболевания

При обнаружении симптомов туберкулеза пациенту рекомендуется обратиться к специалисту. Прием доктора начинается со сбора анамнеза. Врач уточняет, когда человек впервые заметил клинические проявления заболевания, как они прогрессировали с течением времени, быстро ли ухудшалось общее состояние, изучается история болезни пациента. Важно подробно изложить доктору все особенности, так как это может помочь в диагностике патологии.

После расспроса доктор проводит осмотр. Он отмечает появление внешних признаков туберкулеза – похудение, изменение формы грудной клетки, нарушение дыхания. При перкуторном исследовании определяется притупление легочного звука над пораженными областями и коробочный звук над остальными частями легких.

При аускультации у пациента обнаруживается изменение характера дыхания – оно становится жестким или бронхиальным. По всей поверхности легочных полей выслушиваются влажных хрипы разного калибра.

Большое значение в диагностике заболевания имеют дополнительные методики исследования. Анализ крови при наличии туберкулеза показывает следующие изменения:

  1. Повышение СОЭ;
  2. Несильный лейкоцитоз (увеличение числа лейкоцитов в сыворотке);
  3. Палочкоядерный сдвиг (повышение содержания молодых форм белых клеток крови);
  4. Лимфопения (относительное снижение числа лимфоцитов);
  5. При продолжительном течении – признаки анемии (снижение содержания эритроцитов и показателя гемоглобина).

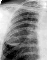
Золотым стандартом в диагностике фиброзно-кавернозного туберкулеза является рентген. На снимке можно обнаружить следующие признаки:

  1. Появление каверн – полостей неправильной формы с размытыми контурами;
  2. Обнаружение фиброзного перерождения ткани легких вокруг кавернозных очагов;
  3. Уменьшение расстояния между ребрами, которое заметно на рентгеновском снимке;
  4. Смещение органов средостения (пищевода, трахеи и других) в сторону поврежденных тканей;
  5. Деформация и смещение корней легких.

При наличии острого процесса рентген поможет обнаружить новые полости некротического распада, которые по контуру окружены воспалительным процессом, также заметным на снимке.

Важным методом диагностики является бактериологический анализ. При открытой форме заболевания пациент выделяет микобактерий с мокротой, поэтому их можно обнаружить, исследуя микропрепарат с помощью специфических красителей.

Подтвердить диагноз можно с помощью бронхоскопического исследования. При туберкулезе в бронхах выявляются характерные патологические изменения.

Результаты комплексной диагностики, в первую очередь рентген и бактериологическое исследование, позволяют лечащему врачу с точностью диагностировать фиброзно-кавернозную форму туберкулеза и в срочном порядке начать лечение.

Лечение

Многие пациенты не знают, заразен или нет его туберкулез. При фиброзно-кавернозной форме с мокротой выделяются микобактерии, поэтому лечение пациента проводится в специализированном противотуберкулезном стационаре, чтобы здоровые люди не могли заразиться. Все мероприятия по борьбе с туберкулезом можно разделить на немедикаментозные и медикаментозные.

Немедикаментозные мероприятия

К немедикаментозным мерам относится соблюдение гигиено-диетических норм. В соответствии с состоянием пациента ему назначается либо постельный, либо палатный режим. Большое значение в нормализации состояния пациента имеет правильная диета. Больному назначается диетический стол № 11, который имеет следующие особенности:

  1. Повышенная суточная калорийность;
  2. Употребление большого количества белка;
  3. Незначительное повышение содержания углеводов в пище (по сравнению с нормой);
  4. Дополнительное назначение витаминов и минеральных веществ;
  5. Повышенное употребление кальция.

Пациент должен строго придерживаться рекомендаций врача, так как это позволит нормализовать его общее состояние. Важное значение имеет правильно организованный сестринский процесс.

Медикаментозное лечение

При кавернозном и фиброзно-кавернозном туберкулезе легких пациенту проводится химиотерапевтическое лечение. Оно подбирается в индивидуальном порядке для каждого пациента. Это связано с тем, что разные штаммы микобактерий чувствительны к разным препаратам, поэтому выбирать лекарственные средства нужно после обследования пациента.

Химиотерапия при туберкулезе проводится по нескольким схемам. Каждая из них включает комбинацию нескольких препаратов. Так как фиброзно-кавернозная форма заболевания относится к тяжелым, то при ее лечении применяются средства высокой эффективности. Чаще всего применяются:

  1. Фторхинолоны;
  2. Канамицин;
  3. Циклосерин;
  4. Протионамид;
  5. ПАСК.

Продолжительность лечения довольно большая. Обычно она составляет примерно 14-16 месяцев, при необходимости терапия продлевается.

Помимо химиотерапии, больным проводится симптоматическое лечение. В него входят:

  1. Гормональные препараты (глюкокортикостероиды);
  2. Иммуномодуляторы;
  3. Метаболитная терапия.

Эти средства назначаются для того, чтобы улучшить общее состояние пациента.

Прогноз

Прогноз для жизни пациентов с фиброзно-кавернозной формой заболевания в большинстве случаев неблагоприятный. При отсутствии лечения срок жизни больного ограничивается 3-4 годами. Химиотерапия тормозит развитие процесса и снижает риск развития осложнения, однако заживление каверн протекает очень медленно. Правильно организованный сестринский процесс обеспечивает улучшение качества жизни в ходе лечения.

При неэффективности химиотерапии при туберкулезе пациенту может потребоваться тяжелая операция – резекция легкого или его части. В большинстве случаев операция проходит успешно, и состояние пациента улучшается. Несмотря на это, возможно развитие тяжелых осложнений, которые могут привести к летальному исходу.

Таким образом, фиброзно-кавернозный туберкулез легких – это патология, имеющая тяжелое течение и представляющая большой риск для жизни пациента. При обнаружении заболевания человек должен быть готов к тому, что ему придется пройти продолжительное и тяжелое лечение. Важной частью терапии является сестринский процесс, который направлен на улучшение состояния пациента.