Найти в Дзене

О том, как профилактический осмотр закладывает основу для здорового постоянного прикуса

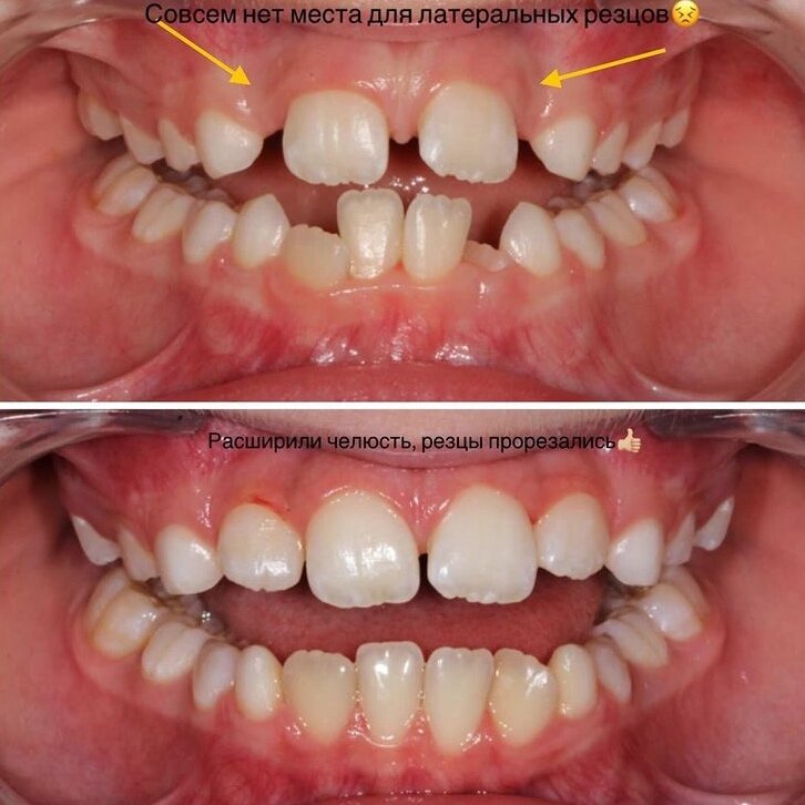
Год назад одна мама привела в "Ортолайк" ребёнка "просто на консультацию". Наш доктор провёл осмотр и обнаружил, что верхний зубной ряд сужен, и боковым резцам не хватает пространства для прорезывания. 8 лет – самое время начинать лечение на аппарате ANDREW J. HAAS. Что мы и сделали. Аппарат устанавливается на верхнюю челюсть, на молочные зубы. В центре винт, который по мере раскручивания расширяет верхнюю челюсть, опосредованно снимая блок с нижней. Это лечение обеспечивает достаточное место для прорезывания всех постоянных зубов и формирует прикус в правильном направлении. Основное преимущество аппарата в том, что он – несъёмный, соответственно будет эффективно работать в полости рта. Родители, знайте. Важно вовремя показать ребёнка ортодонту. Мы советуем начинать наблюдение с 6-7 лет, потому что лечение в детском возрасте помогает избежать серьёзных проблем с прикусом уже во взрослом периоде. Познакомиться с доктором ближе и записаться на консультацию можно, перейдя по этой ссылке.

Год назад одна мама привела в "Ортолайк" ребёнка "просто на консультацию". Наш доктор провёл осмотр и обнаружил, что верхний зубной ряд сужен, и боковым резцам не хватает пространства для прорезывания.

Как хорошо, что родители вовремя обратили внимание на проблему.
Как хорошо, что родители вовремя обратили внимание на проблему.

8 лет – самое время начинать лечение на аппарате ANDREW J. HAAS.

Что мы и сделали. Аппарат устанавливается на верхнюю челюсть, на молочные зубы. В центре винт, который по мере раскручивания расширяет верхнюю челюсть, опосредованно снимая блок с нижней. Это лечение обеспечивает достаточное место для прорезывания всех постоянных зубов и формирует прикус в правильном направлении.

Основное преимущество аппарата в том, что он – несъёмный, соответственно будет эффективно работать в полости рта.

Родители, знайте. Важно вовремя показать ребёнка ортодонту. Мы советуем начинать наблюдение с 6-7 лет, потому что лечение в детском возрасте помогает избежать серьёзных проблем с прикусом уже во взрослом периоде.
На фото лечащий врач юного пациента Тамбиева Лилия Ибрагимовна.
На фото лечащий врач юного пациента Тамбиева Лилия Ибрагимовна.

Познакомиться с доктором ближе и записаться на консультацию можно, перейдя по этой ссылке.