Найти в Дзене

Биография рака. «Белая кровь»

Читаю множество источников, все интересно, хочется поделиться, но надо как-то это систематизировать. Для вашего понимания я хотела писать про канцерогенез, но не понимаю, трудно вам это читать или нет.А пока напишу более облегчённый вариант, основанный на чудесной книге «Царь всех болезней. Биография рака». Интересующимся обязательно к прочтению! Итак, начали. 19 марта 1845 года шотландский ученый Джон Беннетт описал один удивительный случай 28ми летнего кровельщика, у которого наблюдалось загадочное увеличение селезенки. Пациент жаловался на постоянную усталость и рассказал, что примерно год назад у него начала расти какая-то опухоль в паху, которая все время увеличивалась. Со временем у кровельщика добавились такие симптомы как повышенная температура, спонтанные кровотечения, выросли подобные опухоли подмышками и на шее, пациента мучали приступы боли в паху и вот он уже лежал при смерти. Через несколько недель после смерти этого кровельщика, Беннетт провел вскрытие и думал, что нашел

Читаю множество источников, все интересно, хочется поделиться, но надо как-то это систематизировать. Для вашего понимания я хотела писать про канцерогенез, но не понимаю, трудно вам это читать или нет.А пока напишу более облегчённый вариант, основанный на чудесной книге «Царь всех болезней. Биография рака». Интересующимся обязательно к прочтению! Итак, начали.

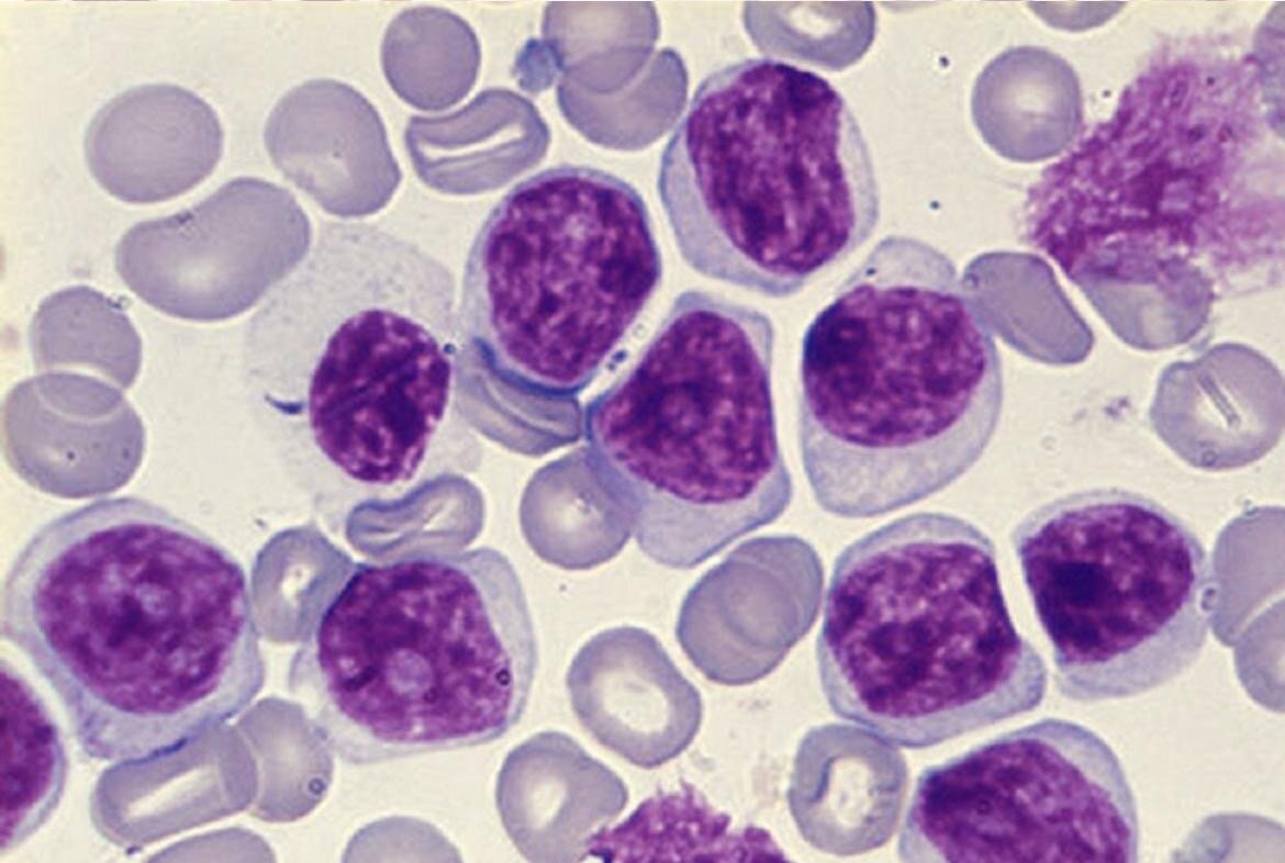
19 марта 1845 года шотландский ученый Джон Беннетт описал один удивительный случай 28ми летнего кровельщика, у которого наблюдалось загадочное увеличение селезенки. Пациент жаловался на постоянную усталость и рассказал, что примерно год назад у него начала расти какая-то опухоль в паху, которая все время увеличивалась. Со временем у кровельщика добавились такие симптомы как повышенная температура, спонтанные кровотечения, выросли подобные опухоли подмышками и на шее, пациента мучали приступы боли в паху и вот он уже лежал при смерти. Через несколько недель после смерти этого кровельщика, Беннетт провел вскрытие и думал, что нашел причину данных симптомов. Беннетт заметил, что кровь умершего просто кишила лейкоцитами. В то время уже было известно, что лейкоциты - это основная составляющая гноя и что они производятся как реакция на воспаление. Поэтому Беннетт предположил, что причиной данным симптомам был именно гной. Однако Беннетт не нашел очага данного воспаления. Таким образом он предположил, что кровь испортилась сама по себе. 

Буквально 4 мес позднее немецкий ученый Рудольф Вирхов описал очень похожий случай своей пациентки, по профессии повара в возрасте чуть за 50.

В ее крови было так много лейкоцитов, что Вирхову даже не понадобился микроскоп, чтобы увидеть, что на отстоявшейся крови образуется толстый белый слой лейкоцитов. Вирхов знал про описанный Беннеттом случай, но был не согласен с его предположением о загноении крови. Откуда тогда увеличение селезёнки? Почему нет очага, какой-нибудь раны, абсцесса, царапины? Вирхов предположил, что причина в самой крови. Причину он так и не нашел, но придумал название - «белая кровь». В 1848 году он переименовал его в более научное - лейкемия.

-2

Еще в 1838ом году два других ученых (ботаник Маттиас Шлейден и физиолог Теодор Шванн) постулировали, что все живые организмы состоят их неких основных строительных элементов - клеток. Вирхову понравилась данная теория и он начал ее развивать.

Сначала он выдвинул два основных правила, две, можно сказать, аксиомы:

✔Человек, как и животные и растения состоит из клеток.

✔Эти клетки происходят (засчет деления) из других клеток.

Таким образом пришло осознание, что если клетки происходят из других клеток, то рост и развитие организма в целом может происходить только за счет двух способов: ✔увеличения в количестве или в ✔размере клетки (Вирхов назвал данные явления гиперплазией и гипертрофией). Данное объяснение помогло пониманию не только нормальных процессов роста и развития организма, но и патологических процессов. Жир и мышцы растут как правило засчет гипертрофии, то есть увеличения в размере. Печень, кровь, кожа и многое другое - за счет гиперплазии, то есть увеличения количества клеток.

ℹПримером патологической гипертрофии, например, является гипертрофия сердца при повышенном артериальном давлении. Чтобы протолкнуть кровь через бОльшее сопротивление, сердцу нужно больше силы. Таким образом клетки сердца увеличиваются (гипертрофия), а с ними и все сердце. Большому органу нужно ещё больше кислорода. Соответственно надо ещё больше качать, ещё больше силы. Сердце становится ещё больше. Замкнутый круг.

ℹПримером же патологической гиперплазии является РАК. Вирхов заметил, наблюдая за раковыми клетками в микроскоп, что их рост/размножение имеет прогрессирующий неконтролируемый характер. Как будто они не подчиняются нормальным импульсам организма о росте и покое. Эти взбесившиеся клетки как бы сами себе на уме и их размножение (гипералазия) не является нормой. Отсюда пошло название неоплазия (нео - новое).

Такой вид неконтролируемого клеточного деления ведёт к образованию разрастающейся, нормально не функционирующей ткани, которая прорастает в органы и разрушает нормальные ткани, а с ними и их функцию.

Однако вернёмся назад к Вирхову и проблеме лейкемии. Идея Беннетта (хоть и абсурдная) о том, что причиной смерти того кровельщика стало загноение крови, мотивировало других врачей на поиски возбудителя. Конечно же, они ничего не нашли. Со временем патологи заметили схожесть данной болезни с описанием рака, ведь тут тоже наблюдалось неконтролируемое размножение не функционирующих клеток крови - лейкоцитов. Лейкемия стала рассматриваться как рак в жидкой форме.

Продолжение следует, если увижу ваш интерес 😉