Добавить в корзинуПозвонить
Найти в Дзене
Старина Кох

Синдром Хаммена-Рича

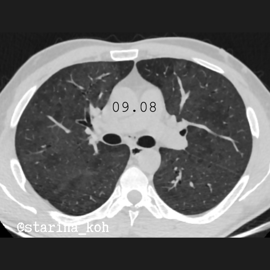
Этот мужчина 43 лет за неделю до болезни вернулся с отдыха в одной из южных стран. Почувствовал слабость, одышку, Т тела повышалась до 39-40 С. Лечился самостоятельно, в/м инъекциями цефалоспоринов с положительным эффектом - снизилась температура тела. Однако, чуть позже вновь появилась лихорадка, сухой кашель и одышка - госпитализирован по скорой помощи в инфекционный стационар, при поступлении Sat02 - 88%, сразу налажена респираторная поддержка (10 л/мин), госпитализация в отделение реанимации и интенсивной терапии. Проведен ПЦР анализ (т.н. респираторная панель) на основные бактериальные и вирусные возбудители респираторных инфекций, в т.ч. nSARS-COV-2 - отрицательные. В легких по данным КТ ОГК - участки уплотнения по типу "матового стекла" невысокой интенсивности (от 09.08). Проводилась терапия метилпреднизолоном, антибактериальная терапия, респираторная поддержка с улучшением, переведен в линейное отделение. Во время нахождения в ОРИТ обнаружены АТ к ВГС (впервые выявлены),

Этот мужчина 43 лет за неделю до болезни вернулся с отдыха в одной из южных стран. Почувствовал слабость, одышку, Т тела повышалась до 39-40 С. Лечился самостоятельно, в/м инъекциями цефалоспоринов с положительным эффектом - снизилась температура тела.

Однако, чуть позже вновь появилась лихорадка, сухой кашель и одышка - госпитализирован по скорой помощи в инфекционный стационар, при поступлении Sat02 - 88%, сразу налажена респираторная поддержка (10 л/мин), госпитализация в отделение реанимации и интенсивной терапии.

Проведен ПЦР анализ (т.н. респираторная панель) на основные бактериальные и вирусные возбудители респираторных инфекций, в т.ч. nSARS-COV-2 - отрицательные.

В легких по данным КТ ОГК - участки уплотнения по типу "матового стекла" невысокой интенсивности (от 09.08).

-2

Проводилась терапия метилпреднизолоном, антибактериальная терапия, респираторная поддержка с улучшением, переведен в линейное отделение. Во время нахождения в ОРИТ обнаружены АТ к ВГС (впервые выявлены), анализ на ВИЧ-инфекцию отрицательный. Через неделю в инфекционном отделении у пациента вновь обнаружилось ухудшение - появились эпизоды десатурации до 82% на низком потоке кислорода, которые потребовали применения ВПОТ (25 л/мин). Вне донации кислорода Sat02 падала до 62% (FIO2 45%). Усилилась одышка, ЧДД 28/мин, что в совокупности с низкими параметрами оксигенации крови потребовала перевод на ИВЛ, после чего была выполнена контрольная КТ ОГК - объем поражения нарос, уплотнения "матового стекла" стали более интенсивные, появились зоны "дикой исчерченности". Изменения занимают фактически весь объём легких, а наличие газа в средостении - характерное следствие ИВЛ в режиме PEEP, которая и проводилась пациенту.

-3
-4
-5

При повторном переводе в ОРИТ: АД 140/80 мм рт ст, ps 153/мин, Т 38,7 С, СРБ 24,1 мг/л, ПКЦ - норма, ЛДГ 747 МЕ/л, по данным ОАК - WBC до 16, Hb 111 г/л, лимфопения до 0,5. В ОАМ без данных за наличие пиелонефрита.

По сути, мы видим по данным КТ картину прогрессирующего острого повреждения лёгких - картина неспецифичная и может наблюдать как при вирусных инфекциях, так и при других повреждающих факторах - сепсисе, токсических повреждениях, больших травмах и т.д. Клинически у пациента картина респираторного дистресс-синдрома.

Несмотря на то, что у пациента исключены основные инфекции, в т.ч. вирусные агенты - это не исключает этиологический фактор любого другого вируса, который не вошел в ПЦР-панель. Вирусу достаточно запустить патологический каскад и удалиться из организма.

В настоящее время именно такой "идиопатический ОРДС" носит название синдрома Хаммана-Рича. В определенный момент этиологический фактор ОРДС уже не столь важен - т.к. от большинства вирусов не существует этиологической терапии, поэтому приходится коррелировать следствия в виде подавления избыточной иммунной реакции и поддерживать адекватную оксигенацию. Т.к. у данного пациента не удалось достигнуть адекватных параметров оксигенации путем ИВЛ, в т.ч. в прон-позиции, пациент был переведен в специальный центр ЭКМО, где и была инициирована VV-ЭКМО - вы можете видеть характерную постановку канюлей на рентгеновском снимке.