Найти в Дзене
Я в теме !

Брекеты. Лечение

Если вы хотите поставить брекеты, то первое, что вы должны сделать. Это записаться на приём к ортодонту. После осмотра ваших зубов, врач составит план лечения и скажет примерное время ношения брекетов. Во-вторых, вам надо вылечить все зубы. Чтобы не возникло проблем при лечении и брекет система надёжно держалась на ваших зубах, зубы должны быть здоровые. Если есть проблемы с зубами, то вначале, надо посетить стоматолога. В течении периода ношения брекетов , вам придётся каждый месяц ходить к врачу ортодонту и производить замену дуги на брекетах. С каждым разом врач будет заменять дугу на большего диаметра. Так же лечащий вас врач может использовать резиночки . Которые надеваются на специальный крючок верхнего и нижнего брекета и выполняют выравнивающую функцию зубов. Больно ли носить брекеты? Не бойтесь от боли вы мучиться не станете. Будет лишь по началу не большое чувство давления на пытающийся встать на место зуб. Так же ощущение появляется каждый раз после замены дуги на брекет
Оглавление
Парень из 90-х
Парень из 90-х

Если вы хотите поставить брекеты:

Первое, что надо сделать. Это записаться на консультацию к стоматологу-ортодонту.

Стоматолог-ортодонт — это врач-стоматолог, специализирующийся на диагностике, лечении и профилактике аномалий зубочелюстной системы.

После осмотра ваших зубов, врач сделает снимок, озвучит примерный период ношения брекетов и напишет план лечения.

Во-вторых, вам надо будет вылечить все зубы.

Чтобы не возникло проблем при лечении и брекет система надёжно держалась на ваших зубах, зубы должны быть целые. Отсутствие на зубах: пломб ,сколов и кариеса не допустимо.

В течении периода ношения брекетов вам придётся, каждый месяц ходить к своему лечащему врачу и производить замену дуг на брекетах.

С каждым разом врач будет менять дугу на дугу большего диаметра.

Также врач стоматолог-ортодонт может использовать резиночки, которые надеваются на специальный крючок верхнего и нижнего брекета и помогают смещать челюсть в нужную сторону.

Больно ли носить брекеты?

Поначалу присутствует не большое чувство давления, когда зуб начинает смещаться в нужном направлении. То же самое происходит при замене дуги на брекетах. Зубы начинают вставать на свои места и появляется тянущее чувство во рту.

Иногда бывает, что брекет может натереть десну . Спасти ситуацию поможет воск. Врач заранее выдаст баночку со специальным воском . Воск наносится на тот брекет который натирает десну.

Как долго носить брекеты?

Брекеты в среднем носят от 1 года до 2-х лет. Все зависит насколько запущенный случай.

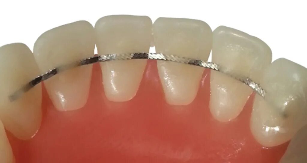
После снятия брекетов, вам обязательно, придётся носить ретейнеры.

Ретейнеры для зубов — это ортодонтические конструкции, которые фиксируют зубы в правильном положении после снятия брекетов или элайнеров. Их задача — сохранять и поддерживать зубы в достигнутом положении, пока костная ткань, дёсны и связки окончательно не перестроятся и не адаптируются к изменениям.

Ретейнер на зубах
Ретейнер на зубах

Дискомфорта они не доставляют, но вполне верояино, вам придётся носить их всю жизнь. Альтернатива им - это капы, которые надевают на ночь. Тут врач решает сам, что в вашем случае больше подходит.

Подведём итоги

Плюсы

  • здоровые и красивые зубы
  • больше вам не придётся стесняться своей улыбки
  • вы станете увереннее в себе и в общении с окружающими людьми.

Минусы

  • цена
  • придётся чистить зубы после каждого приёма пищи
  • терпение и время

Ну вот теперь вы знаете, что такое брекеты и с чем вам придётся столкнуться, если вы решитесь их поставить.

Будьте всегда здоровы!