Добавить в корзинуПозвонить
Найти в Дзене
ServerNews

NVIDIA и Королевский колледж Лондона ускорили исследования мозга с помощью суперкомпьютера Cambrdige-1

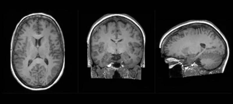
Компания NVIDIA и Королевский колледж Лондона обнародовали новые подробности об одном из первых проектов, запущенном на суперкомпьютере Cambridge-1, самой мощной системой такого класса в Великобритании. Система состоит из 80 модулей DGX A100 (80 Гбайт), объединённых интерконнектом InfiniBand HDR на базе DPU Bluefield-2. Постройка суперкомпьютера обошлась NVIDIA в $100 млн. В рейтинге TOP500 он занимает сейчас 41 место. Сейчас суперкомпьютер используется для создания ИИ-моделей, способных генерировать синтетические изображения мозга на основе изображений, полученных с помощью МРТ. Это даёт возможность научить ИИ отличать здоровый мозг от больного, поскольку его тренируют на снимках пациентов разного возраста и с различными недугами. Как ожидается, в перспективе это позволит диагностировать возможные неврологические отклонения или заболевания мозга на ранней стадии. Также новая методика с использованием ИИ может стать новаторским решением в понимании того, как формируется мозг, как травм

Компания NVIDIA и Королевский колледж Лондона обнародовали новые подробности об одном из первых проектов, запущенном на суперкомпьютере Cambridge-1, самой мощной системой такого класса в Великобритании. Система состоит из 80 модулей DGX A100 (80 Гбайт), объединённых интерконнектом InfiniBand HDR на базе DPU Bluefield-2. Постройка суперкомпьютера обошлась NVIDIA в $100 млн. В рейтинге TOP500 он занимает сейчас 41 место.

Сейчас суперкомпьютер используется для создания ИИ-моделей, способных генерировать синтетические изображения мозга на основе изображений, полученных с помощью МРТ. Это даёт возможность научить ИИ отличать здоровый мозг от больного, поскольку его тренируют на снимках пациентов разного возраста и с различными недугами. Как ожидается, в перспективе это позволит диагностировать возможные неврологические отклонения или заболевания мозга на ранней стадии.

Также новая методика с использованием ИИ может стать новаторским решением в понимании того, как формируется мозг, как травмы и болезни влияют на него, и как помочь ему восстановиться. Как отмечается, суперкомпьютер ускорил работы, сократив время обучение ИИ-моделей с месяцев до недель, а также дал возможность создавать более чёткие изображения.

В качестве программной составляющей используется свободный фреймворк MONAI на основе PyTorch, библиотека NVIDIA CUDA Deep Neural Network (cuDNN) для ускорения глубокого обучения нейросетей, а также NVIDIA Omniverse — открытая платформа для виртуального моделирования и визуализации в реальном времени.

Наука
7 млн интересуются