Найти в Дзене
Юлия Селютина

Лечение ребёнка с сопутствующей патологией в условиях наркоза

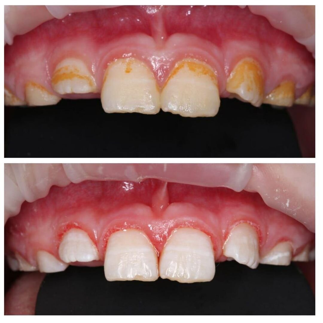
Девочке 9 лет. Просмотрите фото, там мне есть, что показать особо интересующимся. Не спешите осуждать ни девочку, ни ее родителей. Осуждать вообще не следует никого и никогда. Но в комментариях нет-нет да проскакивает: «да как же такое допустили родители» «да неужели так можно было запустить» и т.п. Да, гигиена очень страдает. НО! Все несколько сложнее, чем у среднестатистического ребёнка этой возрастной группы. Все дело в сложном диагнозе. У ребенка криптогенная эпилепсия. Она не говорит и не понимает речь, сопротивляется и сильно зажимает зубы, когда родители стараются их почистить. У нее сильнейший бруксизм — такой, что ушам больно это слышать. Молочные зубы стерты до площадок. На снимке кариозных полостей на постоянных зубах не обнаружено. Но профессиональная гигиена требовалась в режиме СОС. К сожалению, с таким заболеванием это возможно только в наркозе. Работу проводила детский стоматолог Мария Штельмах. ✔️Проведена профессиональная гигиена с элементами кюретажа с помощью экск

Девочке 9 лет.

Просмотрите фото, там мне есть, что показать особо интересующимся.

-2
-3

Не спешите осуждать ни девочку, ни ее родителей.

Осуждать вообще не следует никого и никогда.

Но в комментариях нет-нет да проскакивает:

«да как же такое допустили родители»

«да неужели так можно было запустить» и т.п.

Да, гигиена очень страдает.

НО! Все несколько сложнее, чем у среднестатистического ребёнка этой возрастной группы.

Все дело в сложном диагнозе.

У ребенка криптогенная эпилепсия.

Она не говорит и не понимает речь, сопротивляется и сильно зажимает зубы, когда родители стараются их почистить.

У нее сильнейший бруксизм — такой, что ушам больно это слышать.

Молочные зубы стерты до площадок.

На снимке кариозных полостей на постоянных зубах не обнаружено.

Но профессиональная гигиена требовалась в режиме СОС.

К сожалению, с таким заболеванием это возможно только в наркозе.

Работу проводила детский стоматолог Мария Штельмах.

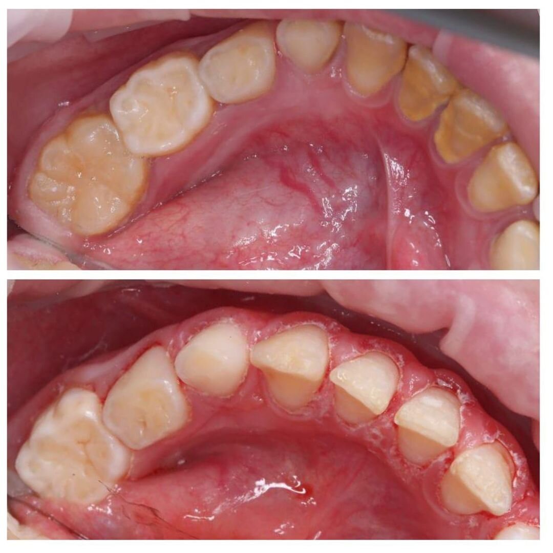
✔️Проведена профессиональная гигиена с элементами кюретажа с помощью экскаватора, ультразвуковой насадки, использовался мелкодисперсный порошок, в основе которого глицин, щеточек и паст, а также всевозможных абразивных полосок;

✔️"Шестерки" загерметизированы;

-4

✔️Молочные "четверки" на верхней челюсти удалены, т.к. их корни уже рассосались (подошел возраст смены).

Вся работа заняла 2,5 часа.

Браво!

-5