Найти в Дзене
BBTAPE.RU

Кинезиотейпирование при пяточной шпоре

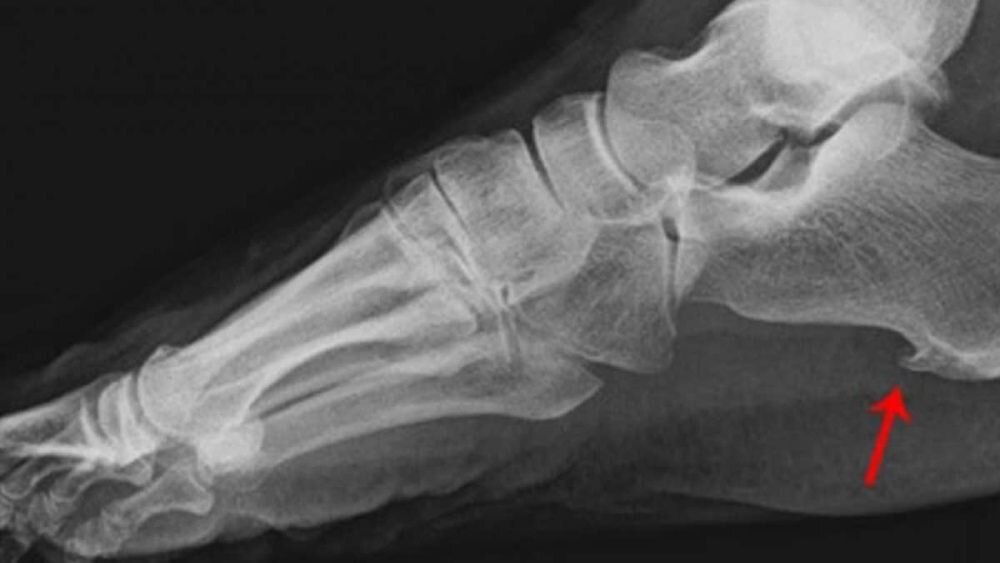
Бандажи, мази, гели — традиционные средства лечения, которые используют при пяточной шпоре. В 2021 году всё более популярными становятся инновационные методики. Одна из самых удобных и эффективных — тейпирование. Применение кинезио тейпов — простой способ избавиться от боли, уменьшить воспаление и добиться положительных результатов лечения без применения специальных препаратов в домашних условиях. В чем заключается кинезиотейпирование при пяточной шпоре, что это такое и почему симптомы заболевания быстро уходят? Разберемся с каждым вопросом подробно, начиная с основы — что такое пяточная шпора, кто в группе риска, симптомы, что делать, какие способы тейпирования наиболее эффективны, отзывы о методике, лучшие пластыри в 2021 году. Что такое пяточная шпора Пяточная шпора — плотный костный нарост на пятке. В большинстве случаев проблема появляется в области, расположенной от точки нижнего переднего края пяточной кости и проходит вдоль подошвы стопы к пальцам. Это заболевание называется по
Оглавление

Бандажи, мази, гели — традиционные средства лечения, которые используют при пяточной шпоре. В 2021 году всё более популярными становятся инновационные методики. Одна из самых удобных и эффективных — тейпирование. Применение кинезио тейпов — простой способ избавиться от боли, уменьшить воспаление и добиться положительных результатов лечения без применения специальных препаратов в домашних условиях. В чем заключается кинезиотейпирование при пяточной шпоре, что это такое и почему симптомы заболевания быстро уходят? Разберемся с каждым вопросом подробно, начиная с основы — что такое пяточная шпора, кто в группе риска, симптомы, что делать, какие способы тейпирования наиболее эффективны, отзывы о методике, лучшие пластыри в 2021 году.

Что такое пяточная шпора

Пяточная шпора — плотный костный нарост на пятке. В большинстве случаев проблема появляется в области, расположенной от точки нижнего переднего края пяточной кости и проходит вдоль подошвы стопы к пальцам. Это заболевание называется подошвенная пяточная шпора. Нарост, который возникает в месте прикрепления tendon Achillis— Ахиллова сухожилия, более редкая форма — это дорсальный тип пяточной шпоры. Причины появления заболевания связывают с чрезмерными нагрузками. Хронические микротравмы в области прикрепления сухожильных пластинок нижней пяточной кости, вызванные длительным растяжением мышц и связок, приводят к накоплению солей кальция в тканях организма — кальцификации и в дальнейшем к окостенению пораженного участка.

-2

Среди других причин появления пяточной шпоры наиболее распространенными являются укороченные сухожилия, неправильное положение ступней, инфекции и воспаления, избыточный вес. Причины образования наростов также часто связаны с другими заболеваниями. Пяточная шпора возникает при плантарном фасциите (подошвенном) — это болезненное воспаление фиброзной связки соединительной ткани. Подошвенная фасция соединяет пяточную кость с основанием пальцев — подушечкой стопы и проходит вдоль ее нижней части.

Основные факторы риска:

  • Нарушения походки, которые вызывают чрезмерную нагрузку на связки, пяточную кость и нервные ткани, расположенные в области пятки.
  • Бег на твердой поверхности, когда техника движений предполагает жёсткий удар задней частью ступни — пяткой, об опору или наоборот, слишком расслабленное передвижение в медленном темпе.
  • Ношение неподходящей или просто сильно изношенной обуви, которая не обеспечивает надлежащую поддержку свода стопы.
  • Быстрый набор веса и ожирение, которые способствуют увеличению нагрузки на ноги и, как следствие, на стопы.
  • Старение организма, в результате которого снижается гибкость подошвенной фасции и истончается защитный жировой слой пятки.
  • Тяжелый физический труд, когда большую часть дня приходится проводить без отдыха, что приводит к усталости ног из-за чрезмерного напряжения.
  • Высокий свод стопы и плоскостопие, в результате которых нагрузка на стопу распределяется неправильно, также в перспективе являются причиной возникновения наростов.
-3

Симптомы пяточной шпоры

Основной жалобой является резкая боль в области пятки при ходьбе, беге, при выполнении упражнений и действий, которые предполагают нагрузку на стопу. Среди других признаков наличия болезни — появление болезненных ощущений утром после пробуждения. На начальной стадии боль обычно быстро проходит после выполнения каких-либо упражнений. На поздней — болезненные ощущения становятся более продолжительными, дискомфорт может возникать даже в состоянии покоя. Покалывание в области пятки, ощущение сильного жара, появление покраснений также может указывать на наличие пяточной шпоры. Выявить проблему самостоятельно можно, если провести диагностику. Повышенная чувствительность при надавливании стопы при пяточной шпоре в месте прикрепления сухожилия на пятке является одним из признаков заболевания. Для постановки точного диагноза необходимо обратиться к специалисту. Пяточная шпора диагностируется на рентгеновском снимке.

Интересный факт: в большинстве случаев пяточная шпора диагностируется у людей старшего возраста. В группе риска женщины и мужчины старше 40 лет. Если верить статистическим данным, то каждый 5-й человек после 50 лет сталкивается с этим заболеванием и ощущает боли в области пятки.

-4

Как помогает тейпирование при пяточной шпоре

Методики терапевтического лечения при пяточной шпоре направлены на облегчение состояния — обезболивание, а также устранение признаков заболевания за счет снятия воспаления и «размягчения» нароста. Тейпирование пятки — процедура эффективная и простая. Кинезио тейпы уменьшают симптомы и помогают остановить прогрессирование пяточной шпоры. Специальные пластыри рекомендуется использовать с целью профилактики различных нарушений стопы при занятиях спортом, в условиях тяжелой физической работы. Эластичный пластырь, наклеенный по определенной схеме на пяточный бугор и окружающие ткани, слегка приподнимает кожу в области аппликации, что способствует снижению давления на поврежденном участке. В результате уменьшаются или полностью уходят болевые ощущения, восстанавливаются естественные обменные процессы, способствующие уменьшению воспаления. Активация кровотока также способствует заживлению. Продолжительность лечения пяточной шпоры кинезио тейпами — вопрос индивидуальный. Сроки зависят от локации и размера нароста, а также других исходных данных. Тейпирование проводят до полного устранения симптомов и общего улучшения состояния. В среднем процесс занимает не менее 4-х недель. Вылечить пяточную шпору крупного размера неинвазивными методами не удается. В сложных случаях проводят хирургическую операцию, в ходе которой нарост удаляется.

-5

Тейпирование пяточной шпоры в домашних условиях

Проводить тейпирование пяточной шпоры в домашних условиях можно после консультации специалиста, который подберет схему с учетом характера заболевания и поможет исключить риски возникновения осложнений в результате неправильного применения кинезио тейпов. Тейпирование пятки рекомендуется сочетать с другими способами реабилитации. Дополнительные рекомендации обычно включают ограничение физических нагрузок, применение специальных ортопедических приспособлений, которые помогают облегчить состояние. На поздних стадиях заболевания методики тейпирования дополнительно рекомендуется сочетать с физиотерапией — ультрафонофорез, массаж и ЛФК. Эффективность применения эластичных пластырей при шпоре подтверждается многочисленными отзывами, в которых можно найти видео со схемами и фото.

Преимущества тейпирования при пяточной шпоре:

  • Доступность методики — клеить кинезио тейпы на пятку можно в домашних условиях;
  • Безопасность процедуры — специальные пластыри не содержат вредных веществ;
  • Комфорт ношения — эластичные полоски ленты не стягивают кожу, не вызывают дискомфорта;
  • Эффективность применения — боли в пятке уменьшаются уже после первого сеанса;
  • Удобство проведения — тейпирование при пяточной шпоре проводят в любое удобное время.
-6

Как правильно клеить кинезио тейп при пяточной шпоре

Методику тейпирования при шпоре на пятке подбирают индивидуально. Стандартная схема предполагает использование прямого кинезио тейпа. Длина определяется измерением расстояния по стопе от точки основания пальцев до линии захода на пяточную кость. Как затейпировать стопу при боли в пятке, смотрите на схеме.

Порядок действий:

  • Полоски кинезио тейпа накладывают, когда пальцы стопы находятся в разогнутом положении — необходимо максимально отвести пальцы в сторону в направлении «на себя».
-7
  • Первый якорь — начало кинезио ленты — наклеивают у основания пальцев.
-8
  • Далее без натяжения необходимо наклеить кинезио тейп по ходу напряженной подошвенной фасции через точку боли.
-9
  • Второй якорь фиксируют на пяточной кости.
-10

Важно: Первое тейпирование при пяточной шпоре рекомендуется проводить под контролем специалиста.

Какие кинезио тейпы использовать при пяточной шпоре

Применение пластырей BBTape при шпоре дает лучшие результаты. Производитель из Ю. Кореи предлагает сертифицированную продукцию премиум-качества. В составе кинезио тейпов нет лекарственных компонентов, клеевая подложка гипоаллергенная — на основе акрилового клея. Тейпирование при пяточной шпоре проводят с помощью широкой ленты длиной около 20 см — зависит от схемы. Подобрать кинезио тейп нужного размера можно в этом разделе, где представлен полный ассортимент пластырей корейского бренда. При желании можно записаться на обучающие курсы в Москве или другом городе РФ или пройти обучение онлайн. Курсы помогут разобраться, как проводить тейпирование стопы при фасциите, бурсите, вальгусной деформации, плоскостопии и других нарушениях.

Предлагаем вам к прочтению другую  статью на подобную тему.

Подписывайтесь на наш канал и ставьте лайки, пишите комментарии, давайте обратную связь. Нам очень важно ваше мнение