Добавить в корзинуПозвонить
Найти в Дзене

После удаления челюсти нет роста!

Что делать? Пациенту с опухолью верхней челюсти была проведена: Первым этапом (самым важным жизнесохраняющим): Частичная резекция верхней челюсти с одномоментой реконструкцией фрагментом васкуляризированного малоберцового костного лоскута. Вторым этапом был изготовлен съёмный протез на место удалённой челюсти для социализации (сохранить эффект целостнлсти верхней челюсти и зубов), нормального функционирования и для предотвращения вторичной деформации (смещения зубов). Третий этап: Нарушение целостности верхней челюсти и отсутсвие потенции к росту у малоберцового лоскута приводит к нарушению роста верхней челюсти В последствии это приведёт к деформации лица. Поэтому наша задача и цель - попытаться стимулировать рост верхней челюсти. Для этого на верхнюю челюсть установили титановые имплантаты. К ним крепится внеротовая тяга (маска). Эту маску ребёнок одевает на ночь и днём пока находится дома. В среднем 14-18 часов. Что бы можно было использовать эту конструкцию одновременно со съёмн

Что делать?

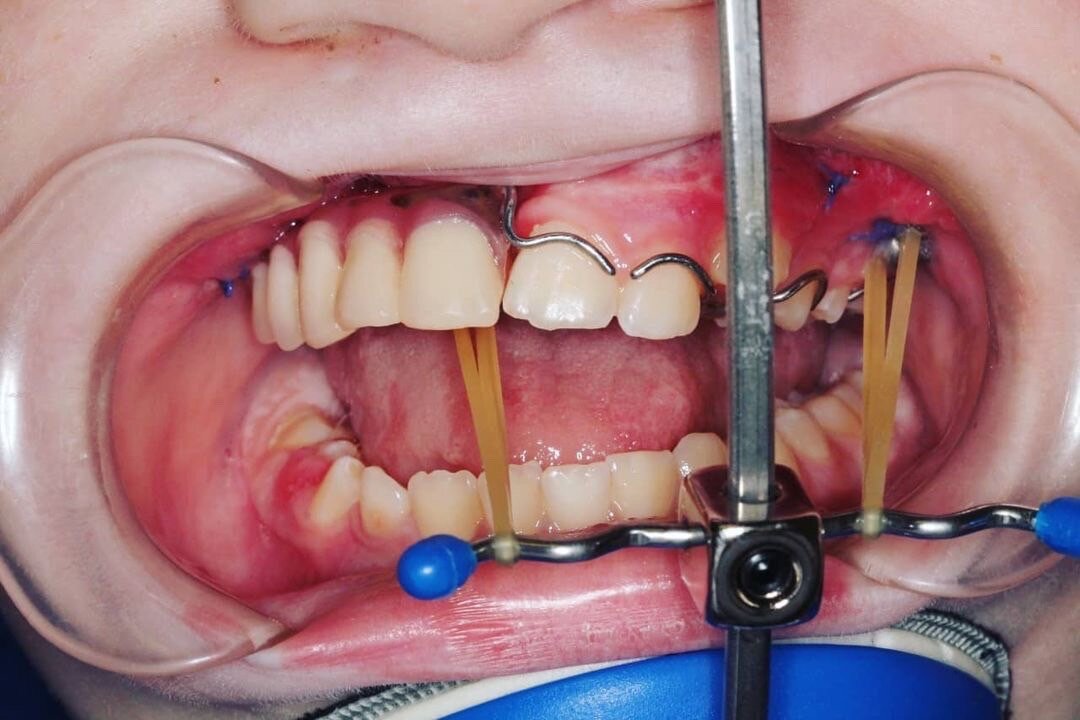
Пациенту с опухолью верхней челюсти была проведена:

Первым этапом (самым важным жизнесохраняющим): Частичная резекция верхней челюсти с одномоментой реконструкцией фрагментом васкуляризированного малоберцового костного лоскута.

Вторым этапом был изготовлен съёмный протез на место удалённой челюсти для социализации (сохранить эффект целостнлсти верхней челюсти и зубов), нормального функционирования и для предотвращения вторичной деформации (смещения зубов).

Третий этап: Нарушение целостности верхней челюсти и отсутсвие потенции к росту у малоберцового лоскута приводит к нарушению роста верхней челюсти

В последствии это приведёт к деформации лица. Поэтому наша задача и цель - попытаться стимулировать рост верхней челюсти. Для этого на верхнюю челюсть установили титановые имплантаты. К ним крепится внеротовая тяга (маска). Эту маску ребёнок одевает на ночь и днём пока находится дома. В среднем 14-18 часов.

Что бы можно было использовать эту конструкцию одновременно со съёмными протезами в съёмных протезах сделали специальные отверстия.

При хорошем прогнозе после завершения формирования верхней челюсти в возрасте 12-14 лет можно попробовать сделать повторную костную пластику с последующим изготовлением новых ортопедических конструкций.

-2
-3
-4