Найти в Дзене
New York Dental Center

К чему приводит плохая гигиена зубов и как это исправить. Разбираем кейс нашей пациентки.

Молодая девушка обратилась в клинику с нестандартным случаем. Для юного возраста (менее 30 лет) ситуация была сильно запущенной. Саму пациентку беспокоила зона улыбки и как следствие дискомфорт при общении. Врач диагностировал большое количество разрушений, декомпенсированные формы кариеса, большие проблемы с гигиеной. Хотим обратить внимание на 2 важных компонента анамнеза: отсутствие верхних боковых двоек и учитывая молодой возраст, корни центральных резцов и верхних клыков были крайне длинными, порядка 2-2,5 см. После проведения томографии был собран консилиум врачей для понимания куда двигаться. Классический протокол ортодонтического лечения подразумевал: раздвинуть двойки, создать место для боковых резцов, затем последовательно имплантацию и протезирование. Плановое лечение могло занимать от 3х лет и более, с учетом того, что корни крайне длинные и идут в параллель, а также возможностями самой девушки. Но стоит отметить важный факт, что изначально гигиена проводилась некачествен

Молодая девушка обратилась в клинику с нестандартным случаем.

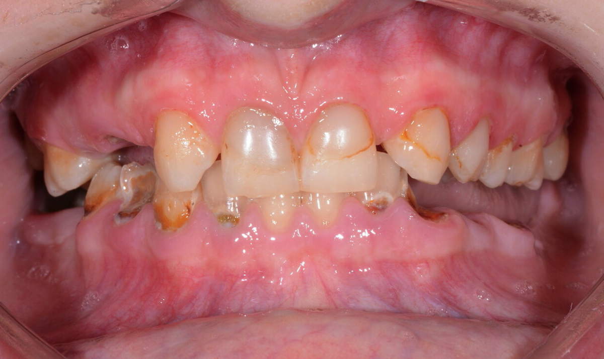
Исходник с которым пришла пациентка.
Исходник с которым пришла пациентка.

Для юного возраста (менее 30 лет) ситуация была сильно запущенной.

Саму пациентку беспокоила зона улыбки и как следствие дискомфорт при общении.

Зона улыбки пациентки "До"
Зона улыбки пациентки "До"

Врач диагностировал большое количество разрушений, декомпенсированные формы кариеса, большие проблемы с гигиеной.

Большое количество зубов разрушены.
Большое количество зубов разрушены.

Хотим обратить внимание на 2 важных компонента анамнеза: отсутствие верхних боковых двоек и учитывая молодой возраст, корни центральных резцов и верхних клыков были крайне длинными, порядка 2-2,5 см.

-4

После проведения томографии был собран консилиум врачей для понимания куда двигаться.

Классический протокол ортодонтического лечения подразумевал: раздвинуть двойки, создать место для боковых резцов, затем последовательно имплантацию и протезирование.

-5

Плановое лечение могло занимать от 3х лет и более, с учетом того, что корни крайне длинные и идут в параллель, а также возможностями самой девушки. Но стоит отметить важный факт, что изначально гигиена проводилась некачественно, что и послужило причиной многих проблем.

А значит нет гарантий, растягивая лечение на продолжительный период, что пациентка станет следовать всем требованиям врача, появляться регулярно и готова будет терпеливо идти к совместному результату.

Примерка улыбки на макете.
Примерка улыбки на макете.

К слову, в работу над сложным случаем мы привлекли американского техника Питера Пизи (Peter Pizzi), который известен в профессиональном сообществе и имеет мировой опыт, проводя лекции в различных странах. Совместно было принято решение модифицировать клыки в двойки, чтобы вернуть гармонию улыбке, а четверки, верхние премоляры-в клыки.

Можно считать, что попадание было 100%, ведь обсудив план работ, пациентка оказалась несказанно довольна тем, что ей не нужно будет носить брекеты, а срок лечения сокращен втрое. Кроме того, восковое диагностическое моделирование во всем удовлетворило девушку с первого раза.

Вскоре проведена была санация, вылечен кариес, заменены старые пломбы, удалены те зубы, которые к сожалению, уже не подлежали восстановлению на момент обращения, установлены имплантаты, которые успешно прижились.

Так выглядит интрузия зуба.
Так выглядит интрузия зуба.

Зубки пациентки буквально «висели» вниз и пока приживались импланты, еще проводилась инклюзия зубов. Врачам пришлось возвращать их на место с помощью различных ортодонтических инструментов - резинок, пружинок, кнопок.

-8

Важно, что удовлетворен главный запрос пациентки.

Финальный результат
Финальный результат

Протезирование проходило уже по классическому протоколу и направлено на максимальное сохранение зубов, фронтальная часть, коронки, накладки-все было перекрыто винирами, что и позволило добиться результата.

Кейс по праву можно считать компромиссным, где врачами найдена золотая середина, а перфекционизм уступил место здоровой рациональности.

-10

При этом достигнута эстетика в полной мере, а пациентка получила красивую улыбку и уверенность в себе!

-11

При соблюдении должной гигиены, ей можно не переживать за качество работы.

Вот такой красивый и естественный финальный результат мы получили.
Вот такой красивый и естественный финальный результат мы получили.

Давайте еще немного полюбуемся на до и после.

Как вам такое преображение?
Как вам такое преображение?

Нам кажется, что здоровые и красивые зубы для молодой девушки это +100% к уверенности.
Нам кажется, что здоровые и красивые зубы для молодой девушки это +100% к уверенности.

Приглашаем почитать еще несколько увлекательных историй превращения обычной улыбки в голливудскую:

Мы желаем вам крепких, здоровых зубов и красивых улыбок!

Если у вас возникли проблемы стоматологического характера переходите на наш сайт, там вы можете ознакомиться с нашим коллективом, почитать отзывы и записаться на консультацию.

Как вам наша работа?

Мы всегда очень радуемся вашим комментариям и обратной связи!

18+ Имеются противопоказания. Необходима консультация специалиста.