Добавить в корзинуПозвонить
Найти в Дзене
Аргус ЦС

Киста желтого тела на УЗИ

Доброкачественное новообразование ткани любого из яичников называется кистой жёлтого тела. Она сформирована непосредственно из самого жёлтого тела, которое не было подвержено регрессии. В результате дисбаланса кровотока в женской репродуктивной системе скапливается большое количество крови или серозной жидкости. Параметры такого новообразования варьируются от 6 см до 8 и более. В практике случаи этого заболевания встречаются редко, примерно у 3% женщин репродуктивного возраста, с аномальным менструальным циклом. Это явление не несёт никакой угрозы, но может влиять на состояние здоровья. Классифицируется это образование на две группы в зависимости от времени появления: В зависимости от того, где локализуется, есть киста: Могут возникать многополостные кисты и монополостные. Заболевание способно пройти само по себе при вынашивании ребёнка или от двух циклов менструации. Особенности протекания в период беременности Как правило, новообразование не несёт в себе опасности, но в редких случая
Оглавление

Доброкачественное новообразование ткани любого из яичников называется кистой жёлтого тела. Она сформирована непосредственно из самого жёлтого тела, которое не было подвержено регрессии. В результате дисбаланса кровотока в женской репродуктивной системе скапливается большое количество крови или серозной жидкости.

Параметры такого новообразования варьируются от 6 см до 8 и более. В практике случаи этого заболевания встречаются редко, примерно у 3% женщин репродуктивного возраста, с аномальным менструальным циклом. Это явление не несёт никакой угрозы, но может влиять на состояние здоровья.

Классифицируется это образование на две группы в зависимости от времени появления:

  • образовавшиеся в процессе вынашивания ребёнка;
  • возникшие в результате атрезии фолликула у женщины, которая не беременна.

В зависимости от того, где локализуется, есть киста:

  • левосторонняя;
  • правосторонняя.

Могут возникать многополостные кисты и монополостные.

Заболевание способно пройти само по себе при вынашивании ребёнка или от двух циклов менструации.

-2

Особенности протекания в период беременности

Как правило, новообразование не несёт в себе опасности, но в редких случаях способно спровоцировать выкидыш. Киста не препятствует развитию и вынашиванию плода, а также не приводит к нарушениям в процессе развития. Для того, чтобы обезопасить себя и будущего малыша, беременным женщинам рекомендовано регулярно посещать врача и проводить профилактику заболеваний.

Если новообразование в желтом теле было обнаружено до беременности, врачи рекомендуют его удалить до зачатия ребёнка, чтобы снизить риск выкидыша.

-3

Причины образования

Причина образования патологии до сих пор не выяснена. Врачи считают, что это происходит в связи с нарушением баланса в репродуктивной системе и гормонального обмена. Одной из причин выступает стимулирование репродуктивной системы к ускоренному зачатию плода, а также ряд других факторов:

  • средства экстренной контрацепции;
  • тяжёлый физический труд;
  • аборт и связанные с ним манипуляции;
  • заболевания воспалительного характера;
  • ускоренные методы снижения веса;
  • негативные эмоции;
  • различного рода инфекции, включая эндометриоз;
  • нарушение правил личной гигиены.
-4

Симптомы

К симптомам образования кисты жёлтого тела можно отнести:

  • вздутый живот;
  • нарушение менструального цикла;
  • повышенное кровотечение при менструации;
  • признаки интоксикации тела, общее недомогание;
  • жидкий стул (расстройство пищеварения);
  • дискомфорт при выполнении функций жизнедеятельности;
  • частое посещение туалета (ложные позывы).
-5

Диагностика новообразования

При диагностике кисты желтого тела яичника стоит обратить внимание на:

  • нюансы, связанные с образом жизни пациента;
  • конкретные жалобы;
  • исследования по гинекологической части;
  • УЗИ;
  • применение онкологических маркёров.

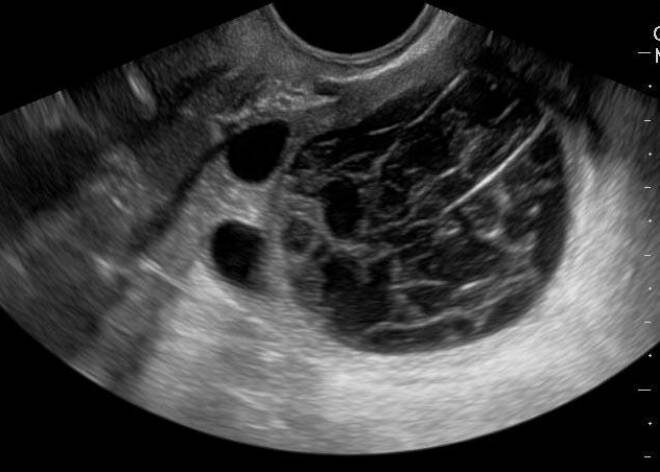
Жёлтое тело становится видимым на УЗИ при проведении его трансабдоминальным или трансвагинальным методом, особенно в период после овуляции. В это время на УЗИ видны все процессы, можно увидеть данную патологию.

При обнаружении новообразования врач кабинета ультразвукового исследования подробно рассмотрит его. Киста выглядит как полость или полости, которые заполнены жидкостью.

-6

Лечение патологии жёлтого тела яичника

Если заболевание не достигло выраженных признаков, женщине необходимо наблюдаться у своего врача-гинеколога и периодически проходить ультразвуковое исследование.

При более серьёзных стадиях развития кисты жёлтого тела яичника применяют метод консервативной терапии, а именно гормональные и противовоспалительные медикаменты.

Киста желтого тела на УЗИ: что это значит?