Добавить в корзинуПозвонить
Найти в Дзене
Хайтек

Выхлопные газы машин ухудшают работу человеческого мозга

Исследователи из университетов Британской Колумбии и Виктории впервые изучили влияние воздуха, загрязненного выхлопными газами машин, на работу человеческого мозга. Анализ показал, что всего два часа воздействия дизельных выхлопов вызывают снижение функциональных связей мозга. В своих экспериментах ученые подвергли 25 здоровых взрослых людей воздействию выхлопных газов дизельного двигателя или фильтрованного воздуха в течение разного времени. Активность мозга у участников исследования измеряли до и после каждого воздействия с помощью функциональной магнитно-резонансной томографии (фМРТ). Ученые проанализировали, как воздействие газов влияет на работу сети пассивного режима работы мозга. Это набор нейронных сетей, которые активируются «в фоновом режиме», когда человек не занят решением конкретной задачи, а мечтает, размышляет, «витает в облаках». СПРРМ играет важную роль в работе памяти и внутреннем мышлении. Исследование показало уменьшение функциональной связности — характеристика, ко

Исследователи из университетов Британской Колумбии и Виктории впервые изучили влияние воздуха, загрязненного выхлопными газами машин, на работу человеческого мозга. Анализ показал, что всего два часа воздействия дизельных выхлопов вызывают снижение функциональных связей мозга.

В своих экспериментах ученые подвергли 25 здоровых взрослых людей воздействию выхлопных газов дизельного двигателя или фильтрованного воздуха в течение разного времени. Активность мозга у участников исследования измеряли до и после каждого воздействия с помощью функциональной магнитно-резонансной томографии (фМРТ).

Ученые проанализировали, как воздействие газов влияет на работу сети пассивного режима работы мозга. Это набор нейронных сетей, которые активируются «в фоновом режиме», когда человек не занят решением конкретной задачи, а мечтает, размышляет, «витает в облаках». СПРРМ играет важную роль в работе памяти и внутреннем мышлении.

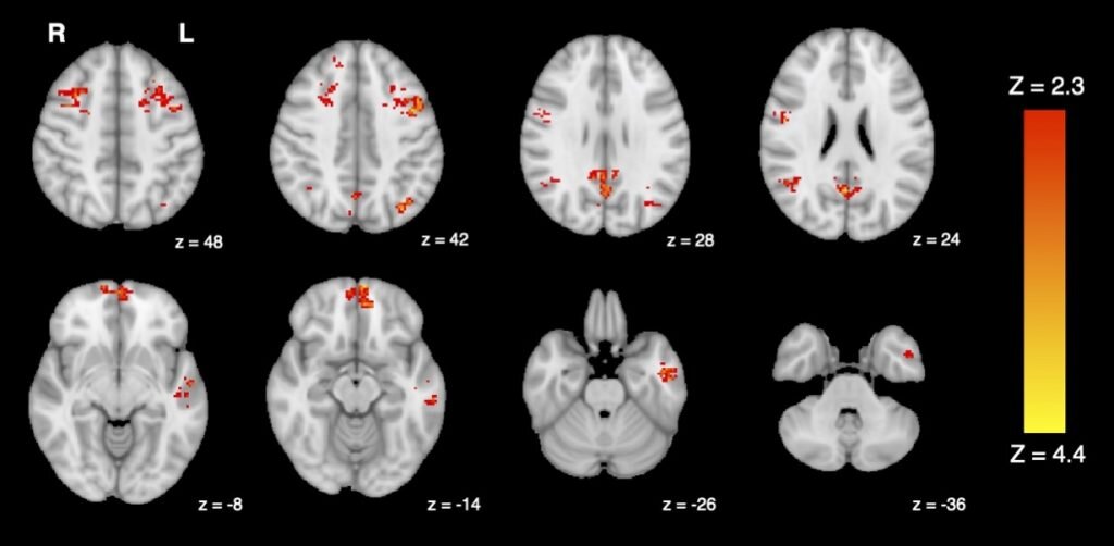
Исследование показало уменьшение функциональной связности — характеристика, которая говорит о том, насколько хорошо различные области мозга коммуницируют друг с другом — в обширных регионах СПРРМ после воздействия выхлопных газов дизельного двигателя.

-2

Снижение функциональной связности СПРРМ на фМРТ. Изображение: Jodie R. Gawryluk et al., Environmental Health, University of British Columbia

Ученые отмечают, что во время экспериментов нарушения были кратковременными, работа мозга восстановилась спустя несколько часов. Тем не менее, они допускают, что при регулярном воздействии, например, во время ежедневного длительного стояния в пробке с открытыми окнами, нарушения могут быть долгосрочными.

Известно, что нарушение функциональной связи в СПРРМ связано со снижением когнитивных функций и симптомами депрессии, поэтому нас беспокоит то, что газовое загрязнение от дорожного движения прерывает работу этих же сетей.

Джоди Гаврилюк, профессор психологии из университета Виктории и соавтор исследования

Ученые планирую продолжить анализ и определить, вызывают ли аналогичные нарушения другие источники выбросов — например, смог от лесных пожаров, а также изучить последствия долгосрочной «интоксикации» автомобильными газами.

Читать далее:

Ядро Земли скоро будет вращаться в другом направлении

Гигантское солнечное пятно поворачивается к Земле. Его видно невооруженным взглядом

На 10 секунд ближе к концу света: что будет, если пробьют Часы Судного дня