Добавить в корзинуПозвонить
Найти в Дзене
Хайтек

ИИ «провалил» экзамен по радиологии: люди все еще лучше анализируют снимки

Исследователи сравнили эффективность работы нейронных сетей и профессиональных врачей при распознавании нарушений на рентгеновских снимках. Результаты показали, что люди пока справляют лучше, но ИИ может находить болезни, которые упускают рентгенологи. Исследование показало, что ИИ при прохождении типового экзамена достиг средней общей точности 79,5% и прошел два из десяти пробных исследований, а средний рентгенолог достиг средней точности 84,8% и прошел четыре из десяти пробных исследований. При этом при анализе 148 из 300 рентгенограмм, которые были правильно интерпретированы более чем 90% рентгенологов, нейросеть корректно определяла нарушения в 134 случаях (91%), а в остальных 14 — ошибалась. В то же время изучая 20 рентгенограмм, которые более половины врачей интерпретировали неверно, ИИ в половине случаев находил нарушение, упущенное врачами. Ученые разработали десять «пробных» экспресс-экзаменов, основанных на одном из трех модулей, составляющих квалификационный экзамен на членс

Исследователи сравнили эффективность работы нейронных сетей и профессиональных врачей при распознавании нарушений на рентгеновских снимках. Результаты показали, что люди пока справляют лучше, но ИИ может находить болезни, которые упускают рентгенологи.

Исследование показало, что ИИ при прохождении типового экзамена достиг средней общей точности 79,5% и прошел два из десяти пробных исследований, а средний рентгенолог достиг средней точности 84,8% и прошел четыре из десяти пробных исследований.

При этом при анализе 148 из 300 рентгенограмм, которые были правильно интерпретированы более чем 90% рентгенологов, нейросеть корректно определяла нарушения в 134 случаях (91%), а в остальных 14 — ошибалась. В то же время изучая 20 рентгенограмм, которые более половины врачей интерпретировали неверно, ИИ в половине случаев находил нарушение, упущенное врачами.

Ученые разработали десять «пробных» экспресс-экзаменов, основанных на одном из трех модулей, составляющих квалификационный экзамен на членство в Королевском колледже радиологов. Это один из обязательных экзаменов, которые сдают все британские врачи, чтобы получить квалификацию «консультант по радиологии».

Каждый пробный тест состоял из 30 рентгенограмм, соответствующих требованиям реального испытания Королевского колледжа радиологов или более сложным. Чтобы сдать экзамен, кандидаты должны были правильно интерпретировать не менее 27 (90%) из 30 изображений в течение 35 минут.

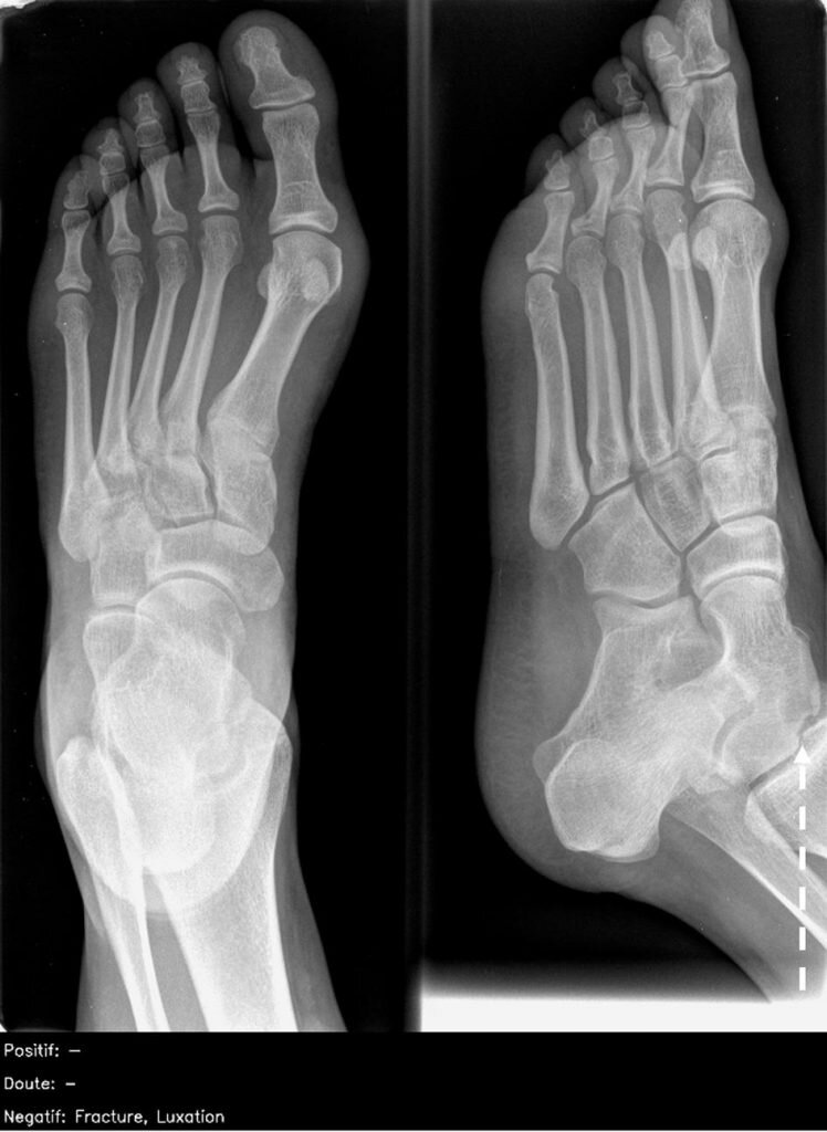
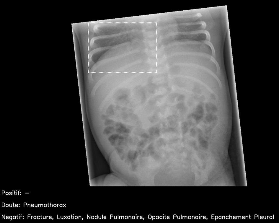
Примеры изображений из теста. Слева: нормальная рентгенограмма брюшной полости, на которой ИИ нашел правосторонний базальный пневмоторакс (ложно положительный результат). Справа: рентген стопы в двух проекциях, на котором виден костно-хрящевой дефект купола таранной кости (пунктирная линия), это нарушение пропустили все врачи и ИИ. Изображения: Susan Cheng Shelmerdine et al., BMJ

Готовый тест ученые дали 26 врачам-радиологам, которые прошли экзамен в прошлом году, и одной из коммерческих систем ИИ, популярной на рынке, обученной оценивать рентгенограммы грудной клетки и костей (скелетно-мышечной системы) при нескольких состояниях, включая переломы, опухшие и вывихнутые суставы и коллапс легких.

Исследователи отмечают, что, по данным опросов, рентгенологи переоценивают эффективность ИИ, но его пока нужно воспринимать как помощника, а не альтернативу врачу.

Читать далее:

Ударная волна от Солнца открыла трещину в магнитном поле Земли

17-летний инженер придумал безмагнитный двигатель: его смогут применять в электромобилях

Первый в своем роде материал выдерживает «снаряды», которые летят со скоростью звука