Добавить в корзинуПозвонить
Найти в Дзене
Бионаука

Что такое хромосомы и хромосомные нарушения?

За последнее десятилетие технологии на основе ДНК получили огромное развитие. Первоначальные исследования в этой области начались с хромосомного кариотипирования, которое затем переросло в анализ хромосомных аномалий. За этими исследованиями начались разработки по изучению генома человека (проект Human Genome Project), HapMap и проект 1000 геномов. Эти и другие исследования имеют большое значение, они расширили наши знания о структуре генов и хромосом. Генетическое картирование значительно продвинуло наше понимание в общей биологии. Относительно недавние данные свидетельствуют о том, что новые исследования могут идентифицировать новые участки хромосом, ассоциированные с теми или иными заболеваниями. Хромосомы это ... Все ядерные клетки содержат хромосомы, состоящие из ДНК и белков. Хромосомы несут все наши гены и, следовательно, всю нашу генетическую информацию. ДНК хранится в нашем ядре, связанная с белками, эта структура называется хроматином. Некоторые участки хромосом плотно упако
Оглавление

За последнее десятилетие технологии на основе ДНК получили огромное развитие. Первоначальные исследования в этой области начались с хромосомного кариотипирования, которое затем переросло в анализ хромосомных аномалий. За этими исследованиями начались разработки по изучению генома человека (проект Human Genome Project), HapMap и проект 1000 геномов. Эти и другие исследования имеют большое значение, они расширили наши знания о структуре генов и хромосом. Генетическое картирование значительно продвинуло наше понимание в общей биологии. Относительно недавние данные свидетельствуют о том, что новые исследования могут идентифицировать новые участки хромосом, ассоциированные с теми или иными заболеваниями.

Хромосомы это ...

Все ядерные клетки содержат хромосомы, состоящие из ДНК и белков. Хромосомы несут все наши гены и, следовательно, всю нашу генетическую информацию. ДНК хранится в нашем ядре, связанная с белками, эта структура называется хроматином. Некоторые участки хромосом плотно упакованы и называются гетерохроматином, а другие
участки упакованы менее плотно, они называются
эухроматином.

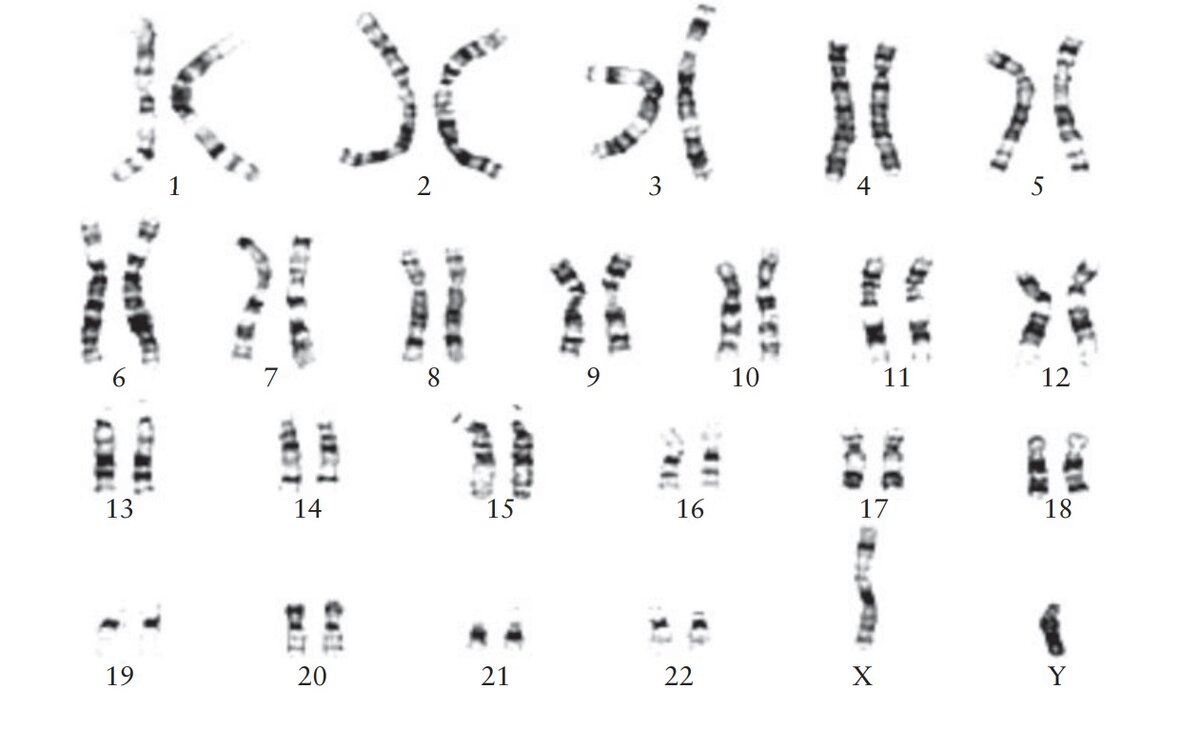
Рисунок 1. Кариограмма мужчины. Источник: doi:10.1128/9781555818890.ch3.f3.1
Рисунок 1. Кариограмма мужчины. Источник: doi:10.1128/9781555818890.ch3.f3.1

Каждый вид на нашей планете имеет характерное число и форму хромосом. Набор хромосом - это кариотип. Кариограмма – это фотография окрашенных хромосом, расположенных в порядке их размера, т. е. по убыванию длины. Каждая хромосома спарена с соответствующей
или
гомологичной хромосомой. У человека 46 хромосом или 23 пары.
46 хромосом несут 25 000 наших генов. Клетки нашего тела, содержащие
46 хромосом
диплоидны (n = 2), то есть 23 хромосомы происходят из яйцеклетки матери, а остальные 23 — из спермы отца. Яйцеклетка и сперматозоиды содержат только по 23 хромосомы и поэтому гаплоидны (n = 1). В диплоидных клетках 46 хромосом в виде 22 гомологичных пар аутосом (неполовых хромосом) и одной пары половых хромосом, XX у женщин и XY у мужчин.

Рисунок 2. Генерация диплоидной (2n) зиготы. Диплоидная (2n) оплодотворенная яйцеклетка (зигота) образуется в результате слияния гаплоидных (n) сперматозоида и яйцеклетки. Последовательные митотические деления порождают множество диплоидных клеток в организме (соматические клетки). Источник: doi:10.1128/9781555818890.ch3.f3.2
Рисунок 2. Генерация диплоидной (2n) зиготы. Диплоидная (2n) оплодотворенная яйцеклетка (зигота) образуется в результате слияния гаплоидных (n) сперматозоида и яйцеклетки. Последовательные митотические деления порождают множество диплоидных клеток в организме (соматические клетки). Источник: doi:10.1128/9781555818890.ch3.f3.2

Хромосомы человека обычно изучают в быстро делящихся клетках, например, в лимфоцитах крови. Митоз клеток может быть остановлен в
метафазе, и хромосомы могут быть окрашены, чтобы их можно было увидеть под микроскопом. Этот микроскопический анализ хромосом известен как
цитогенетика.
При кариотипировании предпочтительнее
окрашивание по Гимзе, так как эта процедура дает чередующиеся светлые и темные полосы (G-полосы), которые отражают дифференциальные хромосомные структуры, характерные для каждой хромосомной пары. Эти светлые и темные полосы хромосом являются результатом специфического
связывания красителя Гимзы с фосфатными группами ДНК. Таким образом, окраска по Гимзе позволяет выявить
различные типы изменений в хромосомной структуры в виде генных перестроек. Исследование кариотипа позволяет определить, есть ли изменения в данной хромосоме, а также в их количестве.

Центромера каждой хромосомы разделяет короткое плечо (p) и длинное плечо (q). Большинство плеч разделено на два или большее количество регионов отдельными полосами, и каждый регион далее подразделяется на подрегионы.

Рисунок 3. Принципиальная схема структуры хромосомы.
Рисунок 3. Принципиальная схема структуры хромосомы.

Что такое хромосомные нарушения?

Хромосомные нарушения - это аномалии числа генов в хромосоме (их больше, чем нужно или меньше, чем нужно, что сказывается на длине хромосомы) или аномалии строения самой хромосомы. Физические характеристики называются фенотипом, который представляет собой комбинацию всех признаков этого человека, включая морфологию,
развитие, поведение, биохимические и физиологические свойства.
Фенотипы возникают в результате экспрессии генов и факторов окружающей среды, которые взаимодействуют с этими генами. Таким образом, фенотип человека с хромосомными расстройствами может варьироваться в зависимости от типа дефекта.