Добавить в корзинуПозвонить
Найти в Дзене
Дарящие надежду

Тридцать три несчастья дикой уличной кошки

Кошка Маша. Кое-как выживала на улице: там покормят, тут согреется. Дикая до невозможности - к корму подходила только тогда, когда человек отходил метров на 10. Но плодилась Маша регулярно, поэтому отловили, стерилизовали, выдержали в стационаре необходимый срок и выпустили. А спустя время увидели, что Маша едва передвигается, волоча за собой заднюю лапку. Рентген показал, что это перелом. Нужна пластина в месте перелома. С пластиной, понятное дело, выпуск на улицу невозможен. Пристроить дикую фурию в добрые руки нереально - она на дух не переносит людей. Думали, в приют... Сразу сдали ей весь комплект анализов и обломались… Коронавирус - положительно, да ещё и лейкемия. Есть вариант - но это пожизненное содержание за счёт фонда на частной передержке. А что делать? Так что наши ряды престарелых\инвалидов собак "разбавятся" кошкой Машей... Просьба такая - помогите нам оплатить операцию и послеоперационную передержку. Помочь с пометкой "Кошка Маша" Заранее благодарим всех, кто поможе
Оглавление

Кошка Маша. Кое-как выживала на улице: там покормят, тут согреется. Дикая до невозможности - к корму подходила только тогда, когда человек отходил метров на 10.

Но плодилась Маша регулярно, поэтому отловили, стерилизовали, выдержали в стационаре необходимый срок и выпустили.

А спустя время увидели, что Маша едва передвигается, волоча за собой заднюю лапку.

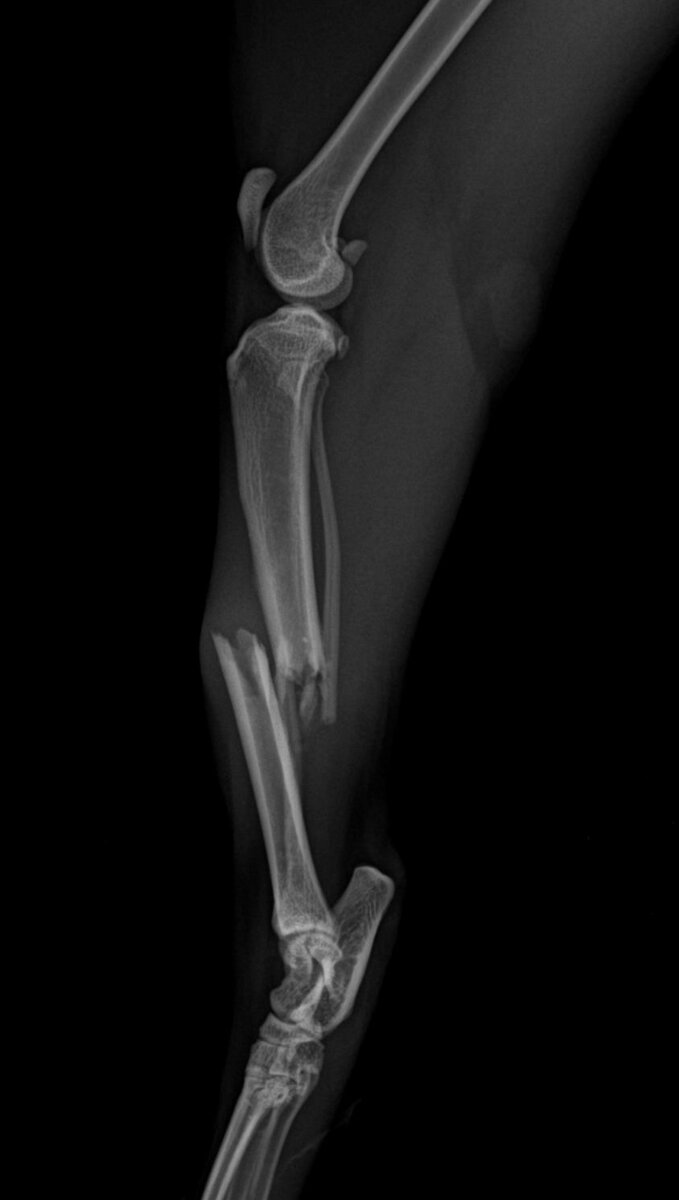
-2

Рентген показал, что это перелом. Нужна пластина в месте перелома. С пластиной, понятное дело, выпуск на улицу невозможен.

Пристроить дикую фурию в добрые руки нереально - она на дух не переносит людей.

Думали, в приют... Сразу сдали ей весь комплект анализов и обломались… Коронавирус - положительно, да ещё и лейкемия.

Есть вариант - но это пожизненное содержание за счёт фонда на частной передержке.

А что делать? Так что наши ряды престарелых\инвалидов собак "разбавятся" кошкой Машей...

Просьба такая - помогите нам оплатить операцию и послеоперационную передержку.

Помочь с пометкой "Кошка Маша"

Заранее благодарим всех, кто поможет.

Фонд помощи животным Дарящие надежду

#ДарящиеНадежду #Лечение_ДН #Маша_ДН